Suppr超能文献

靶向 CRL4 诱导自噬抑制耐药性卵巢癌细胞生长。

Targeting CRL4 suppresses chemoresistant ovarian cancer growth by inducing mitophagy.

机构信息

Research Laboratory of Tumor Epigenetics and Genomics, Department of General Surgery, Frontiers Science Center for Disease-related Molecular Network and National Clinical Research Center for Geriatrics, State Key Laboratory of Biotherapy and Cancer Center, West China Hospital, Sichuan University, Chengdu, 610041, China.

Division of Cancer Cell Biology, The Graduate School of Frontier Sciences, The University of Tokyo, 4-6-1 Shirokanedai, Minato-ku, Tokyo, 108-8639, Japan.

出版信息

Signal Transduct Target Ther. 2022 Dec 9;7(1):388. doi: 10.1038/s41392-022-01253-y.

Abstract

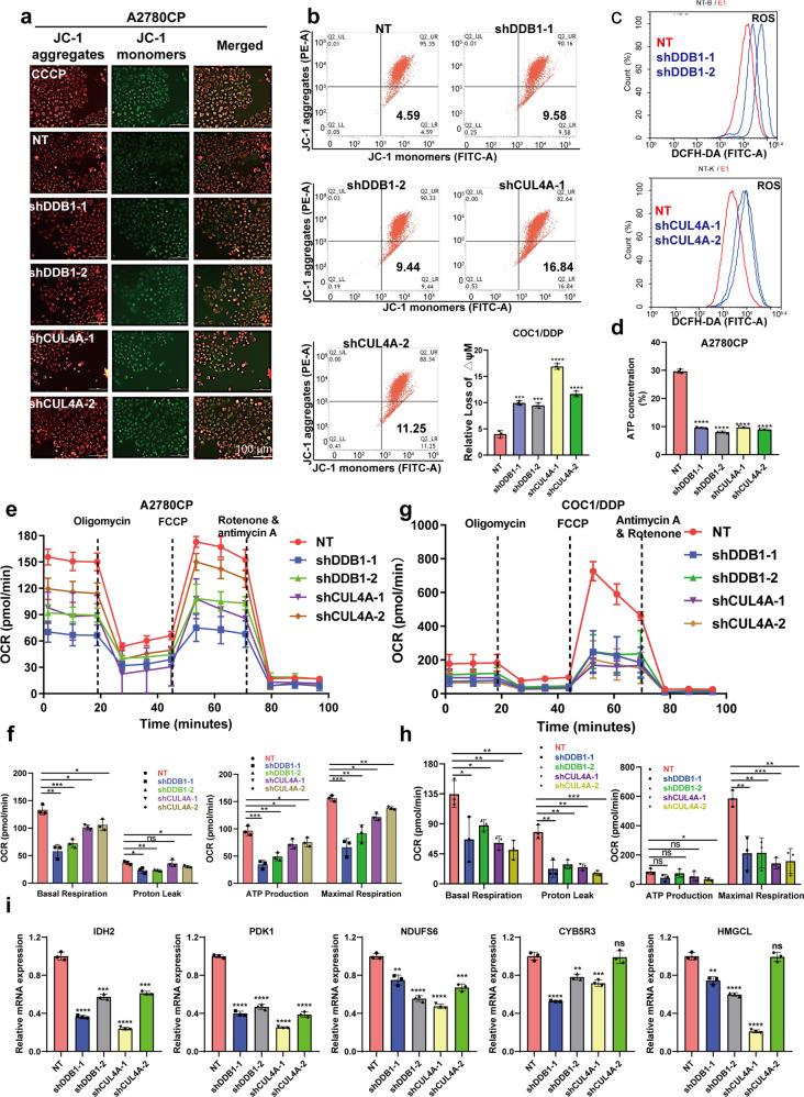
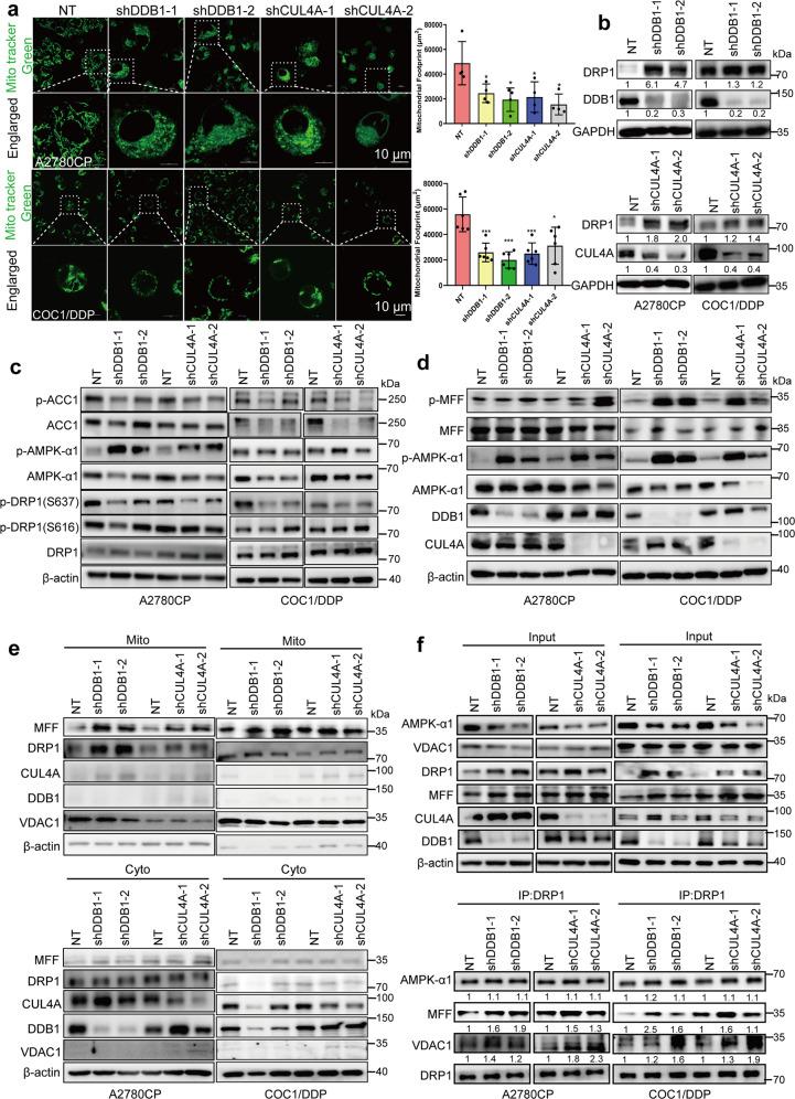
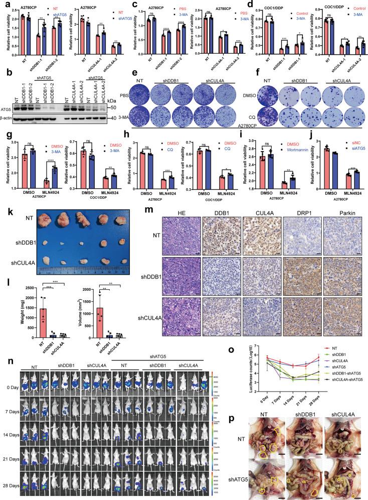
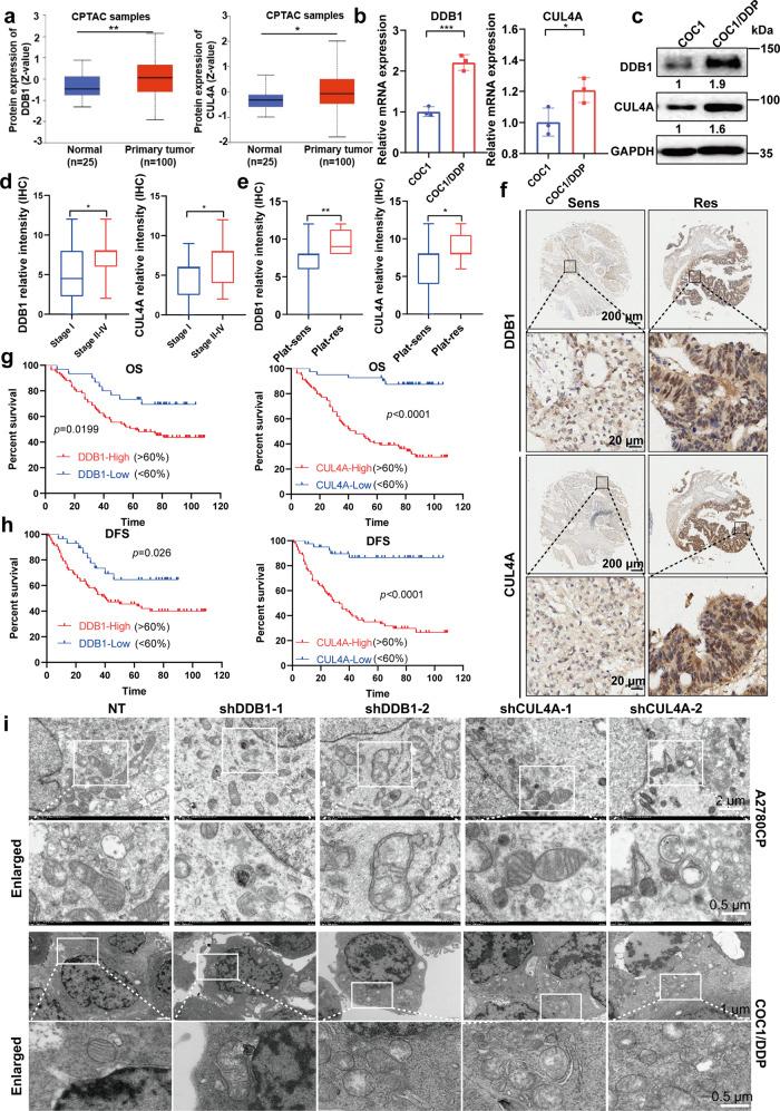
Chemoresistance has long been the bottleneck of ovarian cancer (OC) prognosis. It has been shown that mitochondria play a crucial role in cell response to chemotherapy and that dysregulated mitochondrial dynamics is intricately linked with diseases like OC, but the underlying mechanisms remain equivocal. Here, we demonstrate a new mechanism where CRL4 manipulates OC cell chemoresistance by regulating mitochondrial dynamics and mitophagy. CRL4 depletion enhanced mitochondrial fission by upregulating AMPKα and MFF phosphorylation, which in turn recruited DRP1 to mitochondria. CRL4 loss stimulated mitophagy through the Parkin-PINK1 pathway to degrade the dysfunctional and fragmented mitochondria. Importantly, CRL4 loss inhibited OC cell proliferation, whereas inhibiting autophagy partially reversed this disruption. Our findings provide novel insight into the multifaceted function of the CRL4 E3 ubiquitin ligase complex in regulating mitochondrial fission, mitophagy, and OC chemoresistance. Disruption of CRL4 and mitophagy may be a promising therapeutic strategy to overcome chemoresistance in OC.

摘要

化疗耐药性一直是卵巢癌 (OC) 预后的瓶颈。已经表明,线粒体在细胞对化疗的反应中起着至关重要的作用,并且线粒体动力学的失调与 OC 等疾病有着错综复杂的联系,但潜在的机制仍存在争议。在这里,我们展示了一个新的机制,即 CRL4 通过调节线粒体动力学和线粒体自噬来操纵 OC 细胞的化疗耐药性。CRL4 的耗竭通过上调 AMPKα 和 MFF 的磷酸化来增强线粒体分裂,从而将 DRP1 招募到线粒体上。CRL4 的缺失通过 Parkin-PINK1 途径刺激线粒体自噬,以降解功能失调和碎片化的线粒体。重要的是,CRL4 的缺失抑制了 OC 细胞的增殖,而抑制自噬则部分逆转了这种破坏。我们的研究结果为 CRL4 E3 泛素连接酶复合物在调节线粒体分裂、线粒体自噬和 OC 化疗耐药性方面的多方面功能提供了新的见解。破坏 CRL4 和线粒体自噬可能是克服 OC 化疗耐药性的一种很有前途的治疗策略。

https://cdn.ncbi.nlm.nih.gov/pmc/blobs/a667/9731993/69a2fd940fa8/41392_2022_1253_Fig1_HTML.jpg

文献AI研究员

20分钟写一篇综述,助力文献阅读效率提升50倍。

立即体验

用中文搜PubMed

大模型驱动的PubMed中文搜索引擎

马上搜索

文档翻译

学术文献翻译模型,支持多种主流文档格式。

立即体验