Suppr超能文献

DGCR8 微处理器亚基突变与甲状腺病变中表达失调。

DGCR8 Microprocessor Subunit Mutation and Expression Deregulation in Thyroid Lesions.

机构信息

Escola Superior de Saúde do Instituto Politécnico do Porto, Rua Dr. António Bernardino de Almeida, 4200-072 Porto, Portugal.

Instituto de Investigação e Inovação em Saúde da Universidade do Porto (I3S), Rua Alfredo Allen, 4200-135 Porto, Portugal.

出版信息

Int J Mol Sci. 2022 Nov 26;23(23):14812. doi: 10.3390/ijms232314812.

Abstract

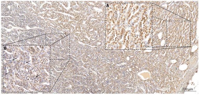
DGCR8 emerged recently as miRNAs biogenesis pathway protein with a highlighted role in thyroid disease. This study aimed to characterize this miRNA biogenesis component, in particular the p.(E518K) mutation and DGCR8 expression in a series of thyroid lesions. The series of thyroid lesions was genotyped for the c.1552G>A p.(E518K) mutation. When frozen tissue was available, DGCR8 mRNA expression was analysed by qPCR. Formalin-fixed paraffin-embedded tissues were studied for DGCR8 immunoexpression. We present for the first time the p.(E518K) mutation in a case of poorly differentiated thyroid carcinoma and present the deregulation of DGCR8 expression at mRNA level in follicular-patterned tumours. The obtained data solidify DGCR8 as another important player of miRNA-related gene mutations in thyroid tumorigenesis, particularly in follicular-patterned thyroid tumours.

摘要

DGCR8 最近作为 miRNA 生物发生途径的蛋白出现,在甲状腺疾病中具有突出作用。本研究旨在对该 miRNA 生物发生成分,特别是 p.(E518K) 突变和 DGCR8 在一系列甲状腺病变中的表达进行特征分析。对一系列甲状腺病变进行了 c.1552G>A p.(E518K) 突变的基因分型。当有冷冻组织时,通过 qPCR 分析 DGCR8 mRNA 表达。对福尔马林固定石蜡包埋组织进行 DGCR8 免疫表达研究。我们首次在一例低分化甲状腺癌中发现 p.(E518K) 突变,并在滤泡模式肿瘤中发现 DGCR8 表达在 mRNA 水平上失调。获得的数据证实了 DGCR8 是甲状腺肿瘤发生中 miRNA 相关基因突变的另一个重要参与者,特别是在滤泡模式的甲状腺肿瘤中。

https://cdn.ncbi.nlm.nih.gov/pmc/blobs/43af/9740158/d14a34126eb3/ijms-23-14812-g001.jpg

文献AI研究员

20分钟写一篇综述,助力文献阅读效率提升50倍。

立即体验

用中文搜PubMed

大模型驱动的PubMed中文搜索引擎

马上搜索

文档翻译

学术文献翻译模型,支持多种主流文档格式。

立即体验