Suppr超能文献

CGRP 依赖性敏化中央杏仁核中 PKC-δ 阳性神经元介导慢性偏头痛。

CGRP-dependent sensitization of PKC-δ positive neurons in central amygdala mediates chronic migraine.

机构信息

Institute of Neuroscience, National Yang Ming Chiao Tung University, Taipei, 112, Taiwan.

Interdisciplinary Neuroscience Program, Taiwan International Graduate Program, Academia Sinica, Taipei, 115, Taiwan.

出版信息

J Headache Pain. 2022 Dec 12;23(1):157. doi: 10.1186/s10194-022-01531-8.

Abstract

BACKGROUND

To investigate specific brain regions and neural circuits that are responsible for migraine chronification.

METHODS

We established a mouse model of chronic migraine with intermittent injections of clinically-relevant dose of nitroglycerin (0.1 mg/kg for 9 days) and validated the model with cephalic and extracephalic mechanical sensitivity, calcitonin gene-related peptide (CGRP) expression in trigeminal ganglion, and responsiveness to sumatriptan or central CGRP blockade. We explored the neurons that were sensitized along with migraine chronification and investigated their roles on migraine phenotypes with chemogenetics.

RESULTS

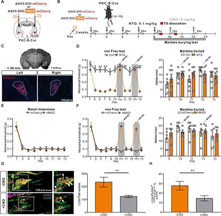
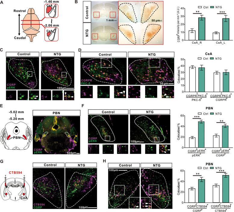
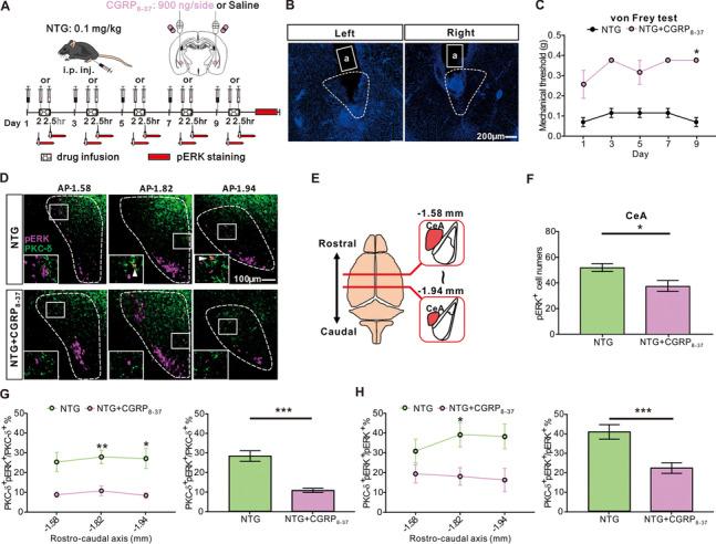
After repetitive nitroglycerin injections, mice displayed sustained supraorbital and hind paw mechanical hyperalgesia, which lasted beyond discontinuation of nitroglycerin infusion and could be transiently reversed by sumatriptan. The CGRP expression in trigeminal ganglion was also upregulated. We found the pERK positive cells were significantly increased in the central nucleus of the amygdala (CeA), and these sensitized cells in the CeA were predominantly protein kinase C-delta (PKC-δ) positive neurons co-expressing CGRP receptors. Remarkably, blockade of the parabrachial nucleus (PBN)-CeA CGRP neurotransmission by CGRP microinjection to the CeA attenuated the sustained cephalic and extracephalic mechanical hyperalgesia. Furthermore, chemogenetic silencing of the sensitized CeA PKC-δ positive neurons reversed the mechanical hyperalgesia and CGRP expression in the trigeminal ganglion. In contrast, repetitive chemogenetic activation of the CeA PKC-δ positive neurons recapitulated chronic migraine-like phenotypes in naïve mice.

CONCLUSIONS

Our data suggest that CeA PKC-δ positive neurons innervated by PBN CGRP positive neurons might contribute to the chronification of migraine, which may serve as future therapeutic targets for chronic migraine.

摘要

背景

研究导致偏头痛慢性化的特定脑区和神经回路。

方法

我们通过间歇性给予临床相关剂量的硝化甘油(0.1mg/kg,共 9 天)建立了慢性偏头痛小鼠模型,并通过头部和头部以外的机械敏感性、三叉神经节中降钙素基因相关肽(CGRP)的表达以及对舒马曲坦或中枢 CGRP 阻断的反应来验证该模型。我们探讨了随着偏头痛慢性化而敏化的神经元,并通过化学遗传学研究了它们在偏头痛表型中的作用。

结果

在重复给予硝化甘油后,小鼠表现出持续性眶上和后爪机械性痛觉过敏,这种过敏持续时间超过硝化甘油输注的停止时间,并且可以通过舒马曲坦短暂逆转。三叉神经节中的 CGRP 表达也上调。我们发现,在杏仁中央核(CeA)中,pERK 阳性细胞明显增加,而 CeA 中的这些敏化细胞主要是共表达 CGRP 受体的蛋白激酶 C-δ(PKC-δ)阳性神经元。值得注意的是,通过 CeA 中的 CGRP 微注射阻断臂旁核(PBN)-CeA CGRP 神经传递可减轻持续性头部和头部以外的机械性痛觉过敏。此外,化学遗传沉默敏化的 CeA PKC-δ阳性神经元可逆转三叉神经节中的机械性痛觉过敏和 CGRP 表达。相比之下,重复化学遗传激活 CeA PKC-δ阳性神经元可在未致敏小鼠中再现慢性偏头痛样表型。

结论

我们的数据表明,由 PBN CGRP 阳性神经元支配的 CeA PKC-δ阳性神经元可能有助于偏头痛的慢性化,这可能成为慢性偏头痛的未来治疗靶点。

https://cdn.ncbi.nlm.nih.gov/pmc/blobs/2eb7/9746101/6e3acf1b0229/10194_2022_1531_Fig1_HTML.jpg

文献AI研究员

20分钟写一篇综述,助力文献阅读效率提升50倍。

立即体验

用中文搜PubMed

大模型驱动的PubMed中文搜索引擎

马上搜索

文档翻译

学术文献翻译模型,支持多种主流文档格式。

立即体验