Suppr超能文献

PGF 通过调节内皮细胞 FOS 驱动的 ELR CXC 趋化因子表达促进病理性视网膜血管生成。

PGF facilitates pathological retinal angiogenesis by modulating endothelial FOS-driven ELR CXC chemokine expression.

机构信息

Department of Pharmacology, Tianjin Key Laboratory of Inflammatory Biology, Center for Cardiovascular Diseases, Key Laboratory of Immune Microenvironment and Disease (Ministry of Education), The Province and Ministry Co-sponsored Collaborative Innovation Center for Medical Epigenetics, Tianjin Medical University, Tianjin, China.

CAS Key Laboratory of Nutrition, Metabolism and Food Safety, Shanghai Institute of Nutrition and Health, University of Chinese Academy of Sciences, Chinese Academy of Sciences, Shanghai, China.

出版信息

EMBO Mol Med. 2023 Jan 11;15(1):e16373. doi: 10.15252/emmm.202216373. Epub 2022 Dec 13.

Abstract

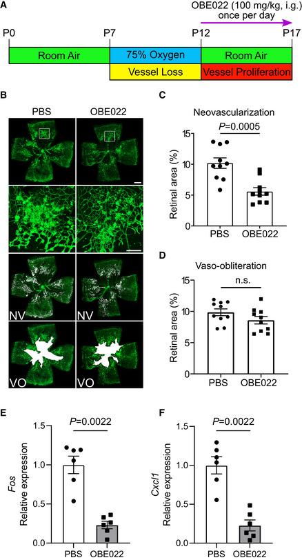
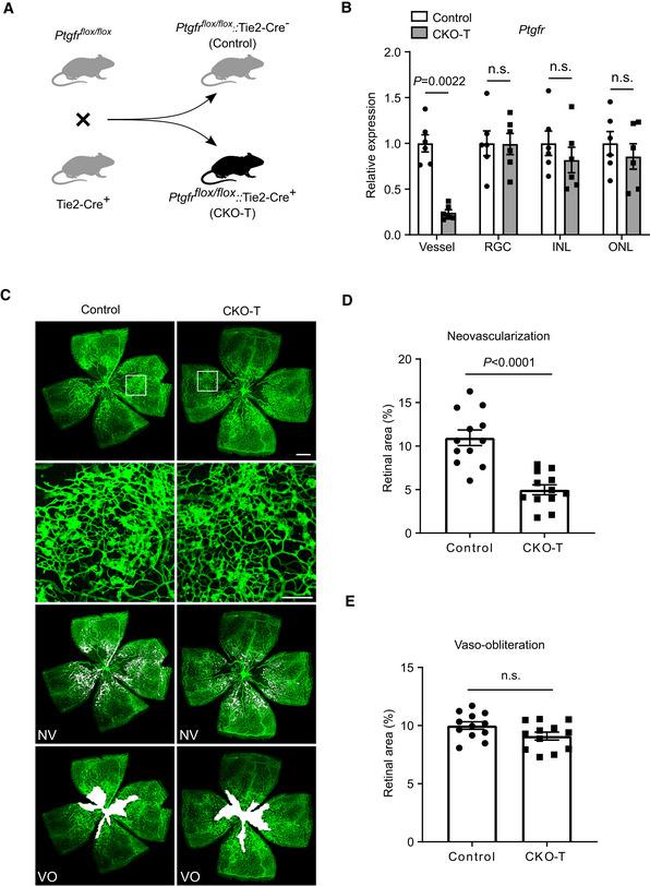
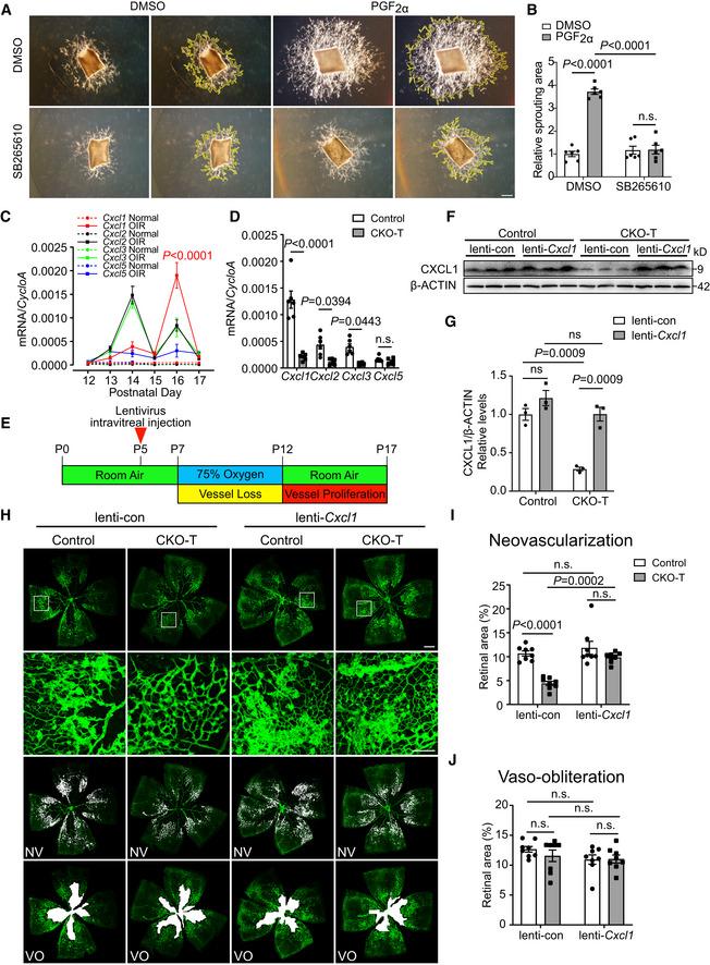
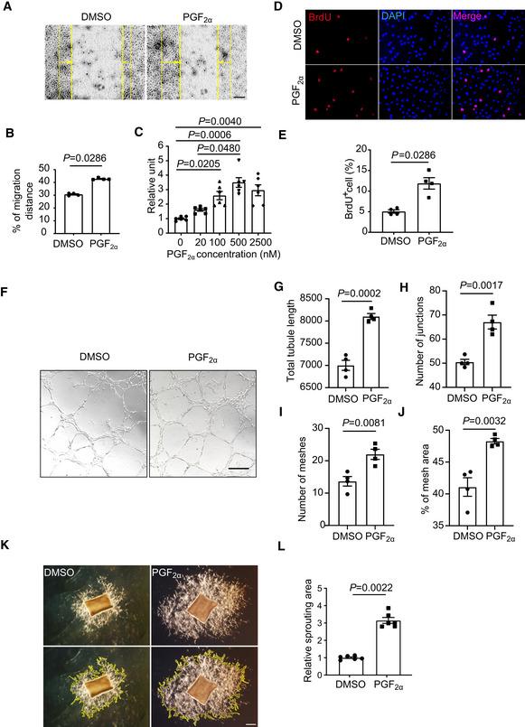
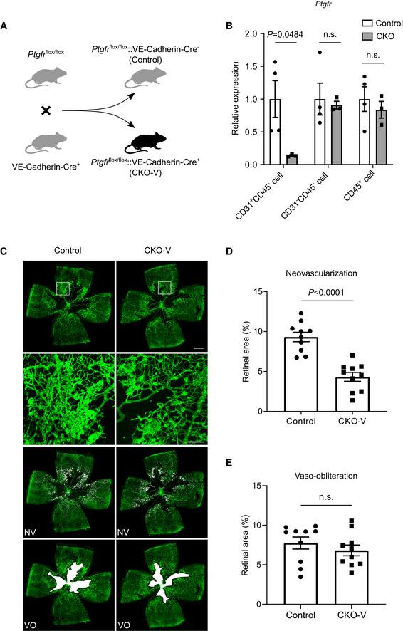
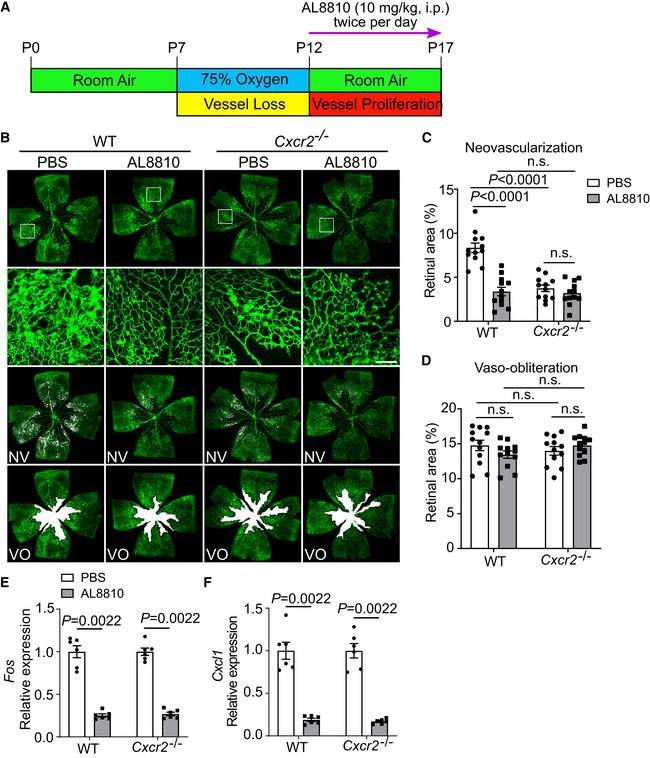
The pathological retinal angiogenesis often causes blindness. Current anti-angiogenic therapy for proliferative retinopathy targets the vascular endothelial growth factor (VEGF), but many patients do not radically benefit from this therapy. Herein, we report that circulating prostaglandin (PG) F metabolites were increased in type 2 diabetic patients with proliferative retinopathy, and the PGF receptor (Ptgfr) was upregulated in retinal endothelial cells (ECs) from a mouse model of oxygen-induced retinopathy (OIR). Further, disruption of the PTGFR receptor in ECs attenuated OIR in mice. PGF promoted the proliferation and tube formation of human retinal microvascular endothelial cells (HRMECs) via the release of ELR CXC chemokines, such as CXCL8 and CXCL2. Mechanistically, the PGF /PTGFR axis potentiated ELR CXC chemokine expression in HRMECs through the G /CAMK2G/p38/ELK-1/FOS pathway. Upregulated FOS-mediated ELR CXC chemokine expression was observed in retinal ECs from PDR patients. Moreover, treatment with PTGFR inhibitor lessened the development of OIR in mice in a CXCR2-dependent manner. Therefore, inhibition of PTGFR may represent a new avenue for the treatment of retinal neovascularization, particularly in PDR.

摘要

病理性视网膜血管生成常常导致失明。目前用于增生性视网膜病变的抗血管生成疗法以血管内皮生长因子 (VEGF) 为靶点,但许多患者并未从该疗法中获得根本受益。在此,我们报告称,2 型糖尿病伴增生性视网膜病变患者的循环前列腺素 (PG) F 代谢物增加,并且氧诱导的视网膜病变 (OIR) 小鼠模型中视网膜内皮细胞 (EC) 中的 PGF 受体 (Ptgfr) 上调。此外,EC 中 PTGFR 受体的破坏可减轻小鼠的 OIR。PGF 通过释放 ELR CXC 趋化因子(如 CXCL8 和 CXCL2)促进人视网膜微血管内皮细胞 (HRMEC) 的增殖和管形成。在机制上,PGF / PTGFR 轴通过 G / CAMK2G / p38 / ELK-1 / FOS 通路增强 HRMEC 中 ELR CXC 趋化因子的表达。在 PDR 患者的视网膜 EC 中观察到上调的 FOS 介导的 ELR CXC 趋化因子表达。此外,PTGFR 抑制剂的治疗以 CXCR2 依赖的方式减轻了小鼠 OIR 的发展。因此,抑制 PTGFR 可能代表治疗视网膜新生血管形成的新途径,特别是在 PDR 中。

https://cdn.ncbi.nlm.nih.gov/pmc/blobs/0f83/9832840/1b106780949b/EMMM-15-e16373-g005.jpg

文献AI研究员

20分钟写一篇综述,助力文献阅读效率提升50倍。

立即体验

用中文搜PubMed

大模型驱动的PubMed中文搜索引擎

马上搜索

文档翻译

学术文献翻译模型,支持多种主流文档格式。

立即体验