Suppr超能文献

银纳米颗粒对神经元样 PC12 细胞的细胞学和电生理学效应。

The cytological and electrophysiological effects of silver nanoparticles on neuron-like PC12 cells.

机构信息

State Key Laboratory of Bioelectronics, School of Biological Science and Medical Engineering, Southeast University, Nanjing, Jiangsu Province, China.

Institute of RF- & OE-ICs, Southeast University, Nanjing, Jiangsu Province, China.

出版信息

PLoS One. 2022 Dec 13;17(12):e0277942. doi: 10.1371/journal.pone.0277942. eCollection 2022.

Abstract

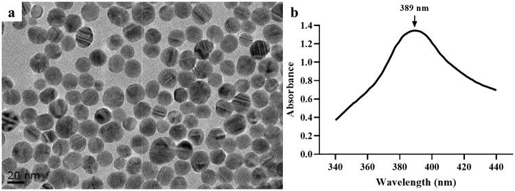
The aim of this study was to investigate the toxic effects and mechanism of silver nanoparticles (SNPs) on the cytological and electrophysiological properties of rat adrenal pheochromocytoma (PC12) cells. Different concentrations of SNPs (20 nm) were prepared, and the effects of different application durations on the cell viability and electrical excitability of PC12 quasi-neuronal networks were investigated. The effects of 200 μM SNPs on the neurite length, cell membrane potential (CMP) difference, intracellular Ca2+ content, mitochondrial membrane potential (MMP) difference, adenosine triphosphate (ATP) content, and reactive oxygen species (ROS) content of networks were then investigated. The results showed that 200 μM SNPs produced grade 1 cytotoxicity at 48 h of interaction, and the other concentrations of SNPs were noncytotoxic. Noncytotoxic 5 μM SNPs significantly increased electrical excitability, and noncytotoxic 100 μM SNPs led to an initial increase followed by a significant decrease in electrical excitability. Cytotoxic SNPs (200 μM) significantly decreased electrical excitability. SNPs (200 μM) led to decreases in neurite length, MMP difference and ATP content and increases in CMP difference and intracellular Ca2+ and ROS levels. The results revealed that not only cell viability but also electrophysiological properties should be considered when evaluating nanoparticle-induced neurotoxicity. The SNP-induced cytotoxicity mainly originated from its effects on ATP content, cytoskeletal structure and ROS content. The decrease in electrical excitability was mainly due to the decrease in ATP content. ATP content may thus be an important indicator of both cell viability and electrical excitability in PC12 quasi-neuronal networks.

摘要

本研究旨在探讨银纳米粒子(SNPs)对大鼠肾上腺嗜铬细胞瘤(PC12)细胞的细胞学和电生理学特性的毒性作用及其机制。制备了不同浓度(20nm)的 SNPs,并研究了不同作用时间对 PC12 类神经元网络细胞活力和电兴奋性的影响。然后研究了 200μM SNPs 对网络的突起长度、细胞膜电位(CMP)差、细胞内 Ca2+含量、线粒体膜电位(MMP)差、三磷酸腺苷(ATP)含量和活性氧(ROS)含量的影响。结果表明,200μM SNPs 在 48h 相互作用时产生 1 级细胞毒性,而其他浓度的 SNPs 无细胞毒性。非细胞毒性的 5μM SNPs 显著增加了电兴奋性,而非细胞毒性的 100μM SNPs 导致电兴奋性最初增加,随后显著降低。细胞毒性 SNPs(200μM)显著降低了电兴奋性。SNP(200μM)导致突起长度、MMP 差和 ATP 含量降低,CMP 差、细胞内 Ca2+和 ROS 水平升高。结果表明,在评估纳米颗粒诱导的神经毒性时,不仅要考虑细胞活力,还要考虑电生理学特性。SNP 诱导的细胞毒性主要源于其对 ATP 含量、细胞骨架结构和 ROS 含量的影响。电兴奋性降低主要是由于 ATP 含量降低。因此,ATP 含量可能是 PC12 类神经元网络中细胞活力和电兴奋性的重要指标。

https://cdn.ncbi.nlm.nih.gov/pmc/blobs/a96c/9746933/b563aaaf3eef/pone.0277942.g001.jpg

文献AI研究员

20分钟写一篇综述,助力文献阅读效率提升50倍。

立即体验

用中文搜PubMed

大模型驱动的PubMed中文搜索引擎

马上搜索

文档翻译

学术文献翻译模型,支持多种主流文档格式。

立即体验