Suppr超能文献

原位肝移植后免疫抑制剂引起的颅内机会性感染:两例报告并文献复习。

Intracerebral opportunistic infections caused by immunosuppressants after orthotopic liver transplantation: Report of two cases and literature review.

机构信息

Department of Hepatobiliary Surgery and Organ Transplantation Center, the First Affiliated Hospital of University of Science and Technology of China, He Fei, Anhui, China.

出版信息

Front Immunol. 2022 Dec 5;13:1003254. doi: 10.3389/fimmu.2022.1003254. eCollection 2022.

Abstract

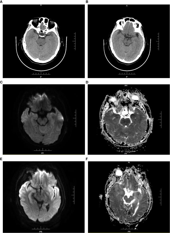
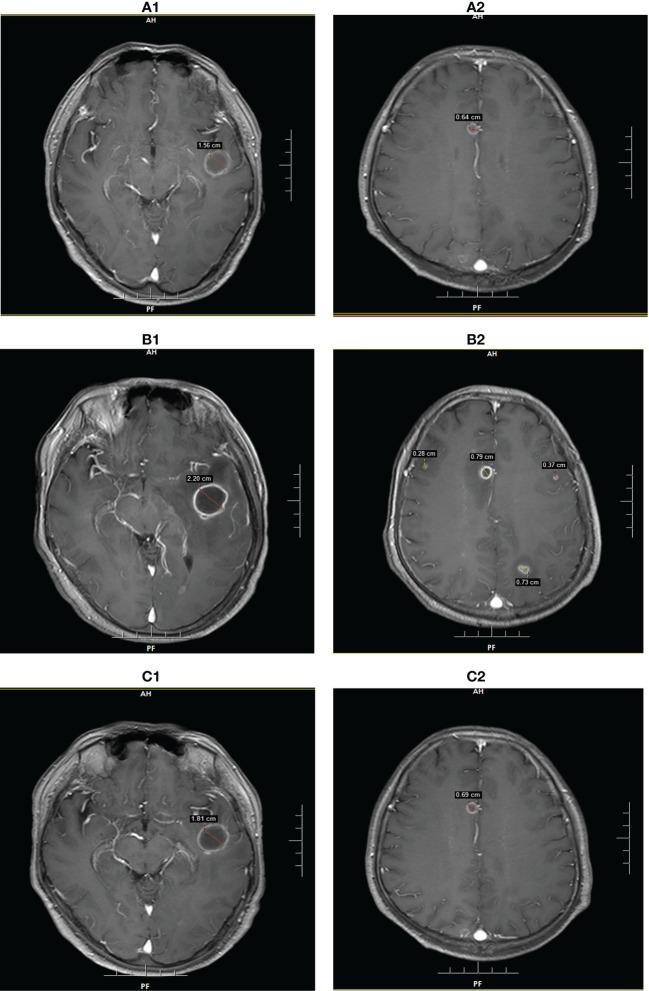
Central nervous system (CNS) infections in adults are rare because of normal immunity and the existence of the blood brain barrier, which prevents the invasion of pathogenic microorganisms. Liver transplant recipients are at an increased risk of opportunistic infections (OI) due to immunosuppressive therapy compared to those with normal immunity. Early diagnosis and timely implementation of treatment are critical for the successful treatment of these infections. We present two cases of intracerebral OI after orthotopic liver transplantation (OLT), with different clinical presentations. Patient 1 presented with epileptic seizures, mainly manifested as unresponsiveness, unconsciousness, and coma complicated with involuntary limb twitching. Patient 2 presented with a consciousness disorder, mainly manifested as unclear consciousness content, poor orientation, calculation power, and logical ability. Next-generation sequencing (NGS) examination of the cerebrospinal fluid confirmed human herpesvirus 6 B (HHV-6B) infection in patient 1 and intracranial Aspergillus infection in patient 2. Intracranial OI has insidious onset and atypical clinical manifestations. NGS can allow for the proper diagnosis and monitoring of the effects of treatment.

摘要

成人中枢神经系统(CNS)感染较为罕见,这是因为人体具有正常的免疫功能和血脑屏障,后者可阻止致病微生物的侵袭。与具有正常免疫功能的人群相比,肝移植受者由于免疫抑制治疗而面临更高的机会性感染(OI)风险。早期诊断和及时实施治疗对于成功治疗这些感染至关重要。我们报告了两例肝移植后颅内 OI 病例,其临床表现不同。患者 1 表现为癫痫发作,主要表现为反应迟钝、意识不清和昏迷,伴有不自主的肢体抽搐。患者 2 表现为意识障碍,主要表现为意识内容不清、定向力差、计算力和逻辑能力差。对脑脊液进行下一代测序(NGS)检查后,患者 1 被确诊为人疱疹病毒 6B(HHV-6B)感染,患者 2 被确诊为颅内曲霉菌感染。颅内 OI 的发病隐匿,临床表现不典型。NGS 可实现正确诊断和治疗效果监测。

https://cdn.ncbi.nlm.nih.gov/pmc/blobs/aa27/9762491/f7c389fb4ec4/fimmu-13-1003254-g001.jpg

文献AI研究员

20分钟写一篇综述,助力文献阅读效率提升50倍。

立即体验

用中文搜PubMed

大模型驱动的PubMed中文搜索引擎

马上搜索

文档翻译

学术文献翻译模型,支持多种主流文档格式。

立即体验