Suppr超能文献

髓鞘形成低下性脑白质营养不良10(HLD10)相关的PYCR2突变形成大尺寸线粒体,抑制少突胶质细胞的形态分化。

Hypomyelinating Leukodystrophy 10 (HLD10)-Associated Mutations of PYCR2 Form Large Size Mitochondria, Inhibiting Oligodendroglial Cell Morphological Differentiation.

作者信息

Torii Tomohiro, Shirai Remina, Kiminami Risa, Nishino Satoshi, Sato Takanari, Sawaguchi Sui, Fukushima Nana, Seki Yoichi, Miyamoto Yuki, Yamauchi Junji

机构信息

Laboratory of Ion Channel Pathophysiology, Graduate School of Brain Science, Doshisha University, Kyotanabe 610-0394, Japan.

Laboratory of Molecular Neurology, Tokyo University of Pharmacy and Life Sciences, Hachioji 192-0392, Japan.

出版信息

Neurol Int. 2022 Dec 16;14(4):1062-1080. doi: 10.3390/neurolint14040085.

Abstract

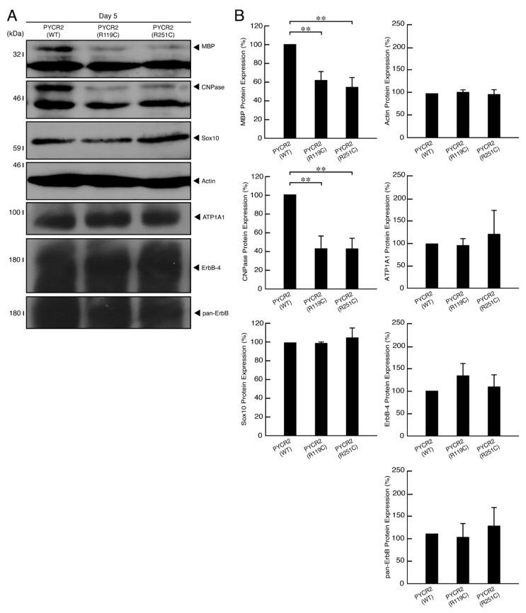
Hypomyelinating leukodystrophy 10 (HLD10) is an autosomal recessive disease related to myelin sheaths in the central nervous system (CNS). In the CNS, myelin sheaths are derived from differentiated plasma membranes of oligodendrocytes (oligodendroglial cells) and surround neuronal axons to achieve neuronal functions. Nucleotide mutations of the pyrroline-5-carboxylate reductase 2 (PYCR2) gene are associated with HLD10, likely due to PYCR2's loss-of-function. PYCR2 is a mitochondrial residential protein and catalyzes pyrroline-5-carboxylate to an amino acid proline. Here, we describe how each of the HLD10-associated missense mutations, Arg119-to-Cys [R119C] and Arg251-to-Cys [R251C], lead to forming large size mitochondria in the FBD-102b cell line, which is used as an oligodendroglial cell differentiation model. In contrast, the wild type proteins did not participate in the formation of large size mitochondria. Expression of each of the mutated R119C and R251C proteins in cells increased the fusion abilities in mitochondria and decreased their fission abilities relatively. The respective mutant proteins, but not wild type proteins also decreased the activities of mitochondria. While cells expressing the wild type proteins exhibited differentiated phenotypes with widespread membranes and increased expression levels of differentiation marker proteins following the induction of differentiation, cells harboring each of the mutant proteins did not. Taken together, these results indicate that an HLD10-associated PYCR2 mutation leads to the formation of large mitochondria with decreased activities, inhibiting oligodendroglial cell morphological differentiation. These results may reveal some of the pathological mechanisms in oligodendroglial cells underlying HLD10 at the molecular and cellular levels.

摘要

低髓鞘性脑白质营养不良10型(HLD10)是一种与中枢神经系统(CNS)髓鞘相关的常染色体隐性疾病。在中枢神经系统中,髓鞘源自少突胶质细胞(少突神经胶质细胞)分化的质膜,并围绕神经元轴突以实现神经元功能。脯氨酸 - 5 - 羧酸盐还原酶2(PYCR2)基因的核苷酸突变与HLD10相关,这可能是由于PYCR2的功能丧失。PYCR2是一种线粒体驻留蛋白,可将脯氨酸 - 5 - 羧酸盐催化为氨基酸脯氨酸。在此,我们描述了与HLD10相关的错义突变,即精氨酸119突变为半胱氨酸[R119C]和精氨酸251突变为半胱氨酸[R251C],如何导致在用作少突胶质细胞分化模型的FBD - 102b细胞系中形成大尺寸线粒体。相比之下,野生型蛋白不参与大尺寸线粒体的形成。细胞中每个突变的R119C和R251C蛋白的表达增加了线粒体中的融合能力,并相对降低了它们的裂变能力。各自的突变蛋白而非野生型蛋白也降低了线粒体的活性。虽然表达野生型蛋白的细胞在诱导分化后表现出具有广泛膜的分化表型以及分化标记蛋白表达水平增加,但携带每个突变蛋白的细胞则没有。综上所述,这些结果表明与HLD10相关的PYCR2突变导致活性降低的大线粒体形成,抑制少突胶质细胞形态分化。这些结果可能在分子和细胞水平上揭示了HLD10少突胶质细胞中一些病理机制。

https://cdn.ncbi.nlm.nih.gov/pmc/blobs/736a/9787162/2cad530c081a/neurolint-14-00085-g001.jpg

文献AI研究员

20分钟写一篇综述,助力文献阅读效率提升50倍。

立即体验

用中文搜PubMed

大模型驱动的PubMed中文搜索引擎

马上搜索

文档翻译

学术文献翻译模型,支持多种主流文档格式。

立即体验