Suppr超能文献

纳米封装褪黑素:一种用于抗慢性实验性感染鼻内免疫的有前景的黏膜佐剂。

Nano-Encapsulated Melatonin: A Promising Mucosal Adjuvant in Intranasal Immunization against Chronic Experimental Infection.

作者信息

Said Doaa E, Amer Eglal I, Sheta Eman, Makled Shaimaa, Diab Hala E, Arafa Fadwa M

机构信息

Department of Medical Parasitology, Faculty of Medicine, Alexandria University, Alexandria 5424041, Egypt.

Department of Pathology, Faculty of Medicine, Alexandria University, Alexandria 5424041, Egypt.

出版信息

Trop Med Infect Dis. 2022 Nov 27;7(12):401. doi: 10.3390/tropicalmed7120401.

Abstract

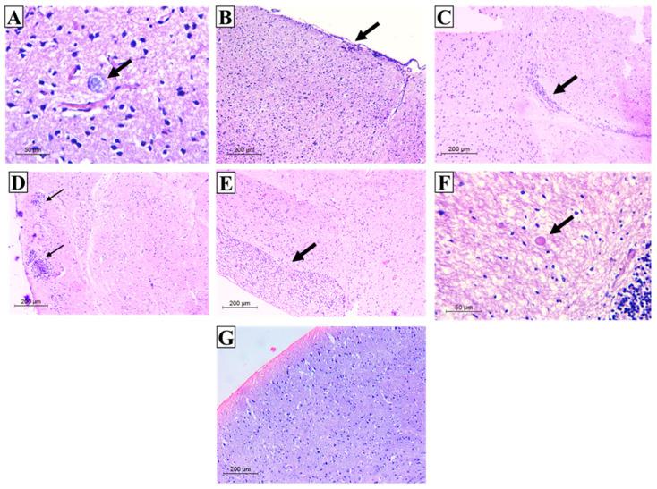
Melatonin (MLT) is now emerging as one of the universally accepted immunostimulators with broad applications in medicine. It is a biological manipulator of the immune system, including mucosal ones. MLT was encapsulated in solid lipid nanoparticles (SLNs), then 100 mg/kg/dose of MLT-SLNs was used as an adjuvant of lysate antigen (TLA). Experimental mice were intra-nasally inoculated with three doses of different regimens every two weeks, then challenged with 20 cysts of Me49 strain, where they were sacrificed four weeks post-infection. Protective vaccine efficacy was evident via the significant brain cyst count reduction of 58.6%, together with remarkably high levels of humoral systemic and mucosal anti- antibodies (Ig G, Ig A), supported by a reduced tachyzoites invasion of Vero cells in vitro upon incubation with sera obtained from these vaccinated mice. A cellular immune response was evident through the induction of significant levels of interferon-gamma (IFN γ), associated with morphological deteriorations of cysts harvested from the brains of vaccinated mice. Furthermore, the amelioration of infection-induced oxidative stress (OS) and histopathological changes were evident in mice immunized with TLA/MLT-SLNs. In conclusion, the present study highlighted the promising role of intranasal MLT-SLNs as a novel mucosal adjuvant candidate against chronic toxoplasmosis.

摘要

褪黑素(MLT)如今正成为一种被广泛认可的免疫刺激剂,在医学领域有着广泛应用。它是免疫系统的生物调节剂,包括黏膜免疫系统。将MLT包裹于固体脂质纳米粒(SLNs)中,然后以100毫克/千克/剂量的MLT-SLNs作为裂解物抗原(TLA)的佐剂。实验小鼠每两周经鼻内接种三剂不同方案的疫苗,随后用20个Me49株囊肿进行攻击,在感染四周后将其处死。通过显著降低58.6%的脑囊肿数量,以及显著高水平的体液全身性和黏膜抗抗体(IgG、IgA),证明了保护性疫苗的功效,体外培养时,用这些接种疫苗小鼠的血清孵育后,Vero细胞中速殖子的侵袭减少也支持了这一点。通过诱导显著水平的干扰素-γ(IFNγ),以及接种疫苗小鼠大脑中收获的囊肿形态恶化,明显表现出细胞免疫反应。此外,在用TLA/MLT-SLNs免疫的小鼠中,感染诱导的氧化应激(OS)和组织病理学变化得到改善。总之,本研究突出了鼻内MLT-SLNs作为一种新型黏膜佐剂候选物对抗慢性弓形虫病的潜在作用。

https://cdn.ncbi.nlm.nih.gov/pmc/blobs/1b0e/9785012/f8b5636fae26/tropicalmed-07-00401-g002.jpg

文献AI研究员

20分钟写一篇综述,助力文献阅读效率提升50倍。

立即体验

用中文搜PubMed

大模型驱动的PubMed中文搜索引擎

马上搜索

文档翻译

学术文献翻译模型,支持多种主流文档格式。

立即体验