Suppr超能文献

铁死亡在慢性间歇性低氧诱导的肺损伤中的作用。

The role of ferroptosis in chronic intermittent hypoxia-induced lung injury.

机构信息

Department of Respiratory and Critical Care Medicine, The First Affiliated Hospital of Fujian Medical University, No. 20, Chazhong Road, Taijiang District, Fuzhou, 350005, Fujian Province, People's Republic of China.

Fujian Provincial Sleep-Disordered Breathing Clinic Center, Institute of Respiratory Disease, Fujian Medical University, Fuzhou, Fujian, People's Republic of China.

出版信息

BMC Pulm Med. 2022 Dec 27;22(1):488. doi: 10.1186/s12890-022-02262-x.

Abstract

PURPOSE

Chronic intermittent hypoxia (CIH) causes lung injury but the mechanism is unclear. Ferroptosis is a novel form of programmed cell death. In this research, we attempted to explore the role of ferroptosis in CIH-induced lung injury both in vitro and in vivo.

METHODS

Sprague-Dawley rats were randomly separated into control group, CIH group and CIH + ferrostatin-1 group (CIH + Fer-1). Rats in the CIH group and CIH + Fer-1 group were exposed to intermittent hypoxia for 12 weeks. Human bronchial epithelial cell line (BEAS-2B) was cultivated for 24 h in either conventional culture medium or under CIH conditions. Fer-1 was applied to observe its treatment effects. Histological changes were evaluated by Hematoxylin-eosin (HE) staining and masson staining. The expression levels of Acyl-CoA synthetase long-chain family member 4 (ACSL4), glutathione peroxidase 4 (GPX4), interleukin-6 (IL-6) and tumour necrosis factor α (TNFα) were detected via qRT-PCR or Western blot. Cell counting kit-8 (CCK-8) was used to assess cell viability. The apoptotic rate and reactive oxygen species (ROS) was calculated by flow cytometry.

RESULTS

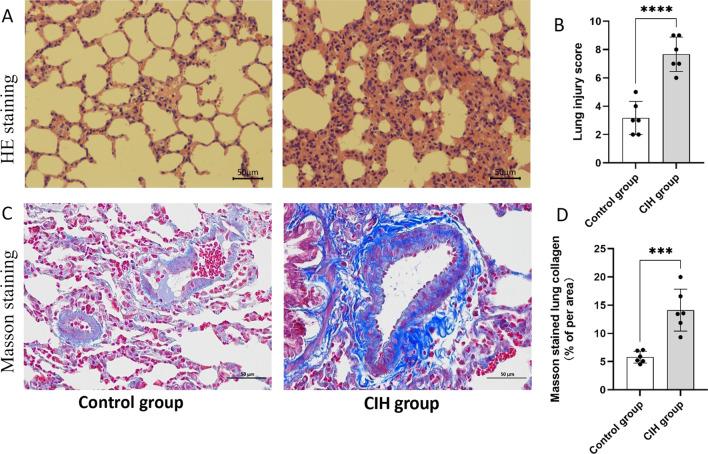
Histology showed that CIH treatment induced lung injury and pulmonary fibrosis in lung tissue. After Fer-1 treatment, the pathological changes caused by CIH alleviated. The mRNA and protein levels of GPX4 decreased significantly in lung tissues of CIH-treated rats and BEAS-2B, (p < 0.05). The mRNA and protein levels of ACSL4 increased significantly in lung tissues of CIH-treated rats and BEAS-2B, (p < 0.05). The mRNA levels of IL-6 and TNFα in BEAS-2B increased after CIH treatment, (p < 0.05). Cell viability decreased, apoptosis rate and ROS increased in CIH-treated BEAS-2B, (p < 0.05). Cotreatment with Fer-1 reversed CIH-induced apoptosis, cell viability, ROS accumulation, mRNA and protein levels of GPX4, ACSL4, IL-6 and TNFα both in vitro and in vivo (p < 0.05).

CONCLUSIONS

Ferroptosis occurred in CIH-induced lung injury, both in vitro and in vivo. The ferroptosis inhibitor Fer-1 alleviated cell injury and ferroptosis in CIH-treated BEAS-2B and lung tissues of rats.

摘要

目的

慢性间歇性低氧(CIH)可导致肺损伤,但机制尚不清楚。铁死亡是一种新的程序性细胞死亡形式。本研究试图探讨铁死亡在 CIH 诱导的肺损伤中的作用,包括在体外和体内。

方法

将 Sprague-Dawley 大鼠随机分为对照组、CIH 组和 CIH+ferrostatin-1 组(CIH+Fer-1)。CIH 组和 CIH+Fer-1 组大鼠接受 12 周间歇性低氧暴露。将人支气管上皮细胞系(BEAS-2B)在常规培养基或 CIH 条件下培养 24 小时。应用 Fer-1 观察其治疗效果。通过苏木精-伊红(HE)染色和 Masson 染色评估组织学变化。通过 qRT-PCR 或 Western blot 检测酰基辅酶 A 合成酶长链家族成员 4(ACSL4)、谷胱甘肽过氧化物酶 4(GPX4)、白细胞介素 6(IL-6)和肿瘤坏死因子 α(TNFα)的表达水平。使用细胞计数试剂盒-8(CCK-8)评估细胞活力。通过流式细胞术计算细胞凋亡率和活性氧(ROS)。

结果

组织学显示 CIH 治疗诱导肺组织损伤和肺纤维化。Fer-1 治疗后,CIH 引起的病理变化得到缓解。CIH 处理大鼠和 BEAS-2B 中 GPX4 的 mRNA 和蛋白水平显著降低(p<0.05)。CIH 处理大鼠和 BEAS-2B 中 ACSL4 的 mRNA 和蛋白水平显著升高(p<0.05)。CIH 处理后 BEAS-2B 中 IL-6 和 TNFα 的 mRNA 水平升高(p<0.05)。CIH 处理的 BEAS-2B 细胞活力下降,细胞凋亡率和 ROS 增加(p<0.05)。体外和体内同时使用 Fer-1 逆转了 CIH 诱导的细胞凋亡、细胞活力、ROS 积累、GPX4、ACSL4、IL-6 和 TNFα 的 mRNA 和蛋白水平(p<0.05)。

结论

在 CIH 诱导的肺损伤中,体外和体内均发生铁死亡。铁死亡抑制剂 Fer-1 减轻了 CIH 处理的 BEAS-2B 和大鼠肺组织中的细胞损伤和铁死亡。

https://cdn.ncbi.nlm.nih.gov/pmc/blobs/dcb2/9793575/18b884ae7a55/12890_2022_2262_Fig1_HTML.jpg

文献AI研究员

20分钟写一篇综述,助力文献阅读效率提升50倍。

立即体验

用中文搜PubMed

大模型驱动的PubMed中文搜索引擎

马上搜索

文档翻译

学术文献翻译模型,支持多种主流文档格式。

立即体验