Suppr超能文献

抗血管内皮生长因子药物玻璃体腔注射治疗糖尿病黄斑水肿患者反应的全基因组关联研究。

Genome-wide association study of the response of patients with diabetic macular edema to intravitreal Anti-VEGF injection.

机构信息

Department of Ophthalmology, Hanyang University College of Medicine, Seoul, Republic of Korea.

Department of Ophthalmology, Asan Medical Center, University of Ulsan College of Medicine, Seoul, Republic of Korea.

出版信息

Sci Rep. 2022 Dec 29;12(1):22527. doi: 10.1038/s41598-022-26048-7.

Abstract

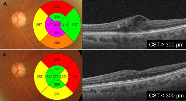
Diabetic macular edema (DME), a complication of diabetes mellitus, is a leading cause of adult-onset blindness worldwide. Recently, intravitreal anti-VEGF injection has been used as a first-line treatment. This study analyzed the association between the genetic profile of patients with DME and their response to treatment. Intravitreal anti-VEGF injections were administered monthly for three months to Korean patients diagnosed with DME, who were classified into two groups depending on whether they responded to anti-VEGF therapy or showed recurrence within six months. Peripheral blood samples were used for genetic analyses. Genome-wide association analysis results sowed that the genes DIRC3 on chromosome 2 (rs16857280, p = 1.2 × 10), SLCO3A1 on chromosome 15 (rs12899055, p = 2.5 × 10), and RAB2A on chromosome 8 (rs2272620, p = 4.6 × 10) were associated with treatment response to intravitreal anti-VEGF injection. SLC35F1, TMEM132D, KIAA0368, HPCAL1, IGF2BP3, SPN2S, COL23A1, and CREB5 were also related to treatment response (p < 5.0 × 10). Using the KEGG pathway analysis, RAB2A and CREB5 were found to be associated with AMPK signaling related to VEGF (p = 0.018). The identified genetic biomarkers can elucidate the factors affecting patient response to intravitreal anti-VEGF injection and help select appropriate therapeutic strategy.

摘要

糖尿病性黄斑水肿(DME)是糖尿病的一种并发症,是全球成年人致盲的主要原因之一。最近,玻璃体内抗血管内皮生长因子(VEGF)注射已被用作一线治疗方法。本研究分析了 DME 患者的遗传特征与他们对治疗的反应之间的关系。对韩国 DME 患者每月进行三次玻璃体内抗 VEGF 注射治疗,并根据他们对抗 VEGF 治疗的反应或在六个月内是否复发将其分为两组。使用外周血样进行基因分析。全基因组关联分析结果表明,2 号染色体上的 DIRC3 基因(rs16857280,p=1.2×10)、15 号染色体上的 SLCO3A1 基因(rs12899055,p=2.5×10)和 8 号染色体上的 RAB2A 基因(rs2272620,p=4.6×10)与玻璃体内抗 VEGF 注射的治疗反应相关。SLC35F1、TMEM132D、KIAA0368、HPCAL1、IGF2BP3、SPN2S、COL23A1 和 CREB5 也与治疗反应相关(p<5.0×10)。使用 KEGG 通路分析,发现 RAB2A 和 CREB5 与 VEGF 相关的 AMPK 信号通路有关(p=0.018)。鉴定的遗传生物标志物可以阐明影响患者对玻璃体内抗 VEGF 注射治疗反应的因素,并有助于选择合适的治疗策略。

https://cdn.ncbi.nlm.nih.gov/pmc/blobs/9014/9800359/847532283235/41598_2022_26048_Fig1_HTML.jpg

文献AI研究员

20分钟写一篇综述,助力文献阅读效率提升50倍。

立即体验

用中文搜PubMed

大模型驱动的PubMed中文搜索引擎

马上搜索

文档翻译

学术文献翻译模型,支持多种主流文档格式。

立即体验