Suppr超能文献

不全纵隔子宫内原发性大网膜妊娠:一例新病例报告及文献综述

Primary omental pregnancy in a subseptate uterus: A novel case report and literature review.

作者信息

Althagafi Nuha Fouad Abed, Galal Maad, Abdul Rab Saleha, Alkhudari Anas, Raheel Hiba Muhammad

机构信息

Department of Obstetrics and Gynecology, King Abdulaziz Medical City, Riyadh, Saudi Arabia.

College of Medicine, Alfaisal University, Riyadh, Saudi Arabia.

出版信息

Ann Med Surg (Lond). 2022 Nov 14;84:104924. doi: 10.1016/j.amsu.2022.104924. eCollection 2022 Dec.

Abstract

INTRODUCTION AND IMPORTANCE

Ectopic pregnancy is defined as a pregnancy in which the fertilized ovum implants itself in a location other than the uterine endometrium. Abdominal ectopic pregnancies involve the implantation and development of the embryo within the peritoneal cavity. Primary omental pregnancies are the rarest form of abdominal pregnancy and possibly the rarest extrauterine gestation.

CASE PRESENTATION

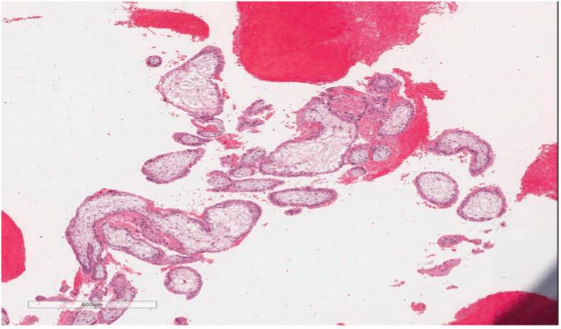
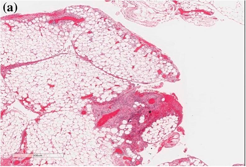
We report the first case of a primary omental pregnancy in a subseptate uterus in literature. Our patient, a 33-year-old female, G8P4+3, presented with nausea, severe abdominal pain, and vaginal spotting at 6 weeks' gestational age. She had mild tenderness below the umbilicus, with positive cervical and right adnexal tenderness. 2D-ultrasound revealed a subseptate uterus, normal ovaries and fallopian tubes, absence of a gestational sac, and a 4x3x2.5 cm mass in the right adnexa. A mini-laparotomy was performed due to suspicion of ruptured tubal pregnancy, revealing a primary omental pregnancy which was managed via partial omentectomy.

CLINICAL DISCUSSION

Ectopic pregnancies have ambiguous presentations, however correct diagnosis and management is crucial to prevent complications. A high index of suspicion must be exercised to make an accurate diagnosis of primary omental pregnancy. A subseptate uterus is a subtype of the most common uterine anomaly and should be investigated via 3D-ultrasound and magnetic resonance imaging as it causes increased risk of primary omental implantation.

CONCLUSION

Correct identification of subseptate or septate uteri is vital. Greater research is needed to elucidate the association between septate or subseptate uteri and ectopic pregnancy, particularly primary omental pregnancy.

摘要

引言与重要性

异位妊娠是指受精卵在子宫体腔以外着床。腹腔妊娠是指胚胎在腹膜腔内着床并发育。原发性大网膜妊娠是腹腔妊娠最罕见的一种形式,可能也是最罕见的宫外妊娠。

病例报告

我们报告了文献中首例子宫纵隔不全合并原发性大网膜妊娠的病例。我们的患者是一名33岁女性,孕8产4 + 3,孕6周时出现恶心、严重腹痛和阴道点滴出血。她脐下有轻度压痛,宫颈和右侧附件压痛阳性。二维超声显示子宫纵隔不全,卵巢和输卵管正常,未见妊娠囊,右侧附件区有一个4×3×2.5厘米的肿块。因怀疑输卵管妊娠破裂行小切口剖腹术,发现原发性大网膜妊娠,通过部分网膜切除术进行处理。

临床讨论

异位妊娠的表现不明确,然而正确的诊断和处理对于预防并发症至关重要。必须高度怀疑原发性大网膜妊娠才能做出准确诊断。子宫纵隔不全是最常见子宫畸形的一种亚型,因其会增加原发性大网膜着床的风险,故应通过三维超声和磁共振成像进行检查。

结论

正确识别子宫纵隔不全或纵隔子宫至关重要。需要更多研究来阐明纵隔或纵隔不全子宫与异位妊娠之间的关联,尤其是原发性大网膜妊娠。

https://cdn.ncbi.nlm.nih.gov/pmc/blobs/0d50/9793226/e8489f41bd57/gr1.jpg

文献AI研究员

20分钟写一篇综述,助力文献阅读效率提升50倍。

立即体验

用中文搜PubMed

大模型驱动的PubMed中文搜索引擎

马上搜索

文档翻译

学术文献翻译模型,支持多种主流文档格式。

立即体验