Suppr超能文献

外泌体介导柯萨奇病毒 B3 的传播并扩大其病毒嗜性。

Exosomes mediate Coxsackievirus B3 transmission and expand the viral tropism.

机构信息

Jiangsu Key Laboratory of Infection and Immunity, Institutes of Biology and Medical Sciences, Soochow University, Suzhou, China.

出版信息

PLoS Pathog. 2023 Jan 12;19(1):e1011090. doi: 10.1371/journal.ppat.1011090. eCollection 2023 Jan.

Abstract

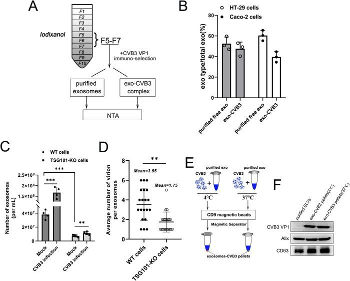
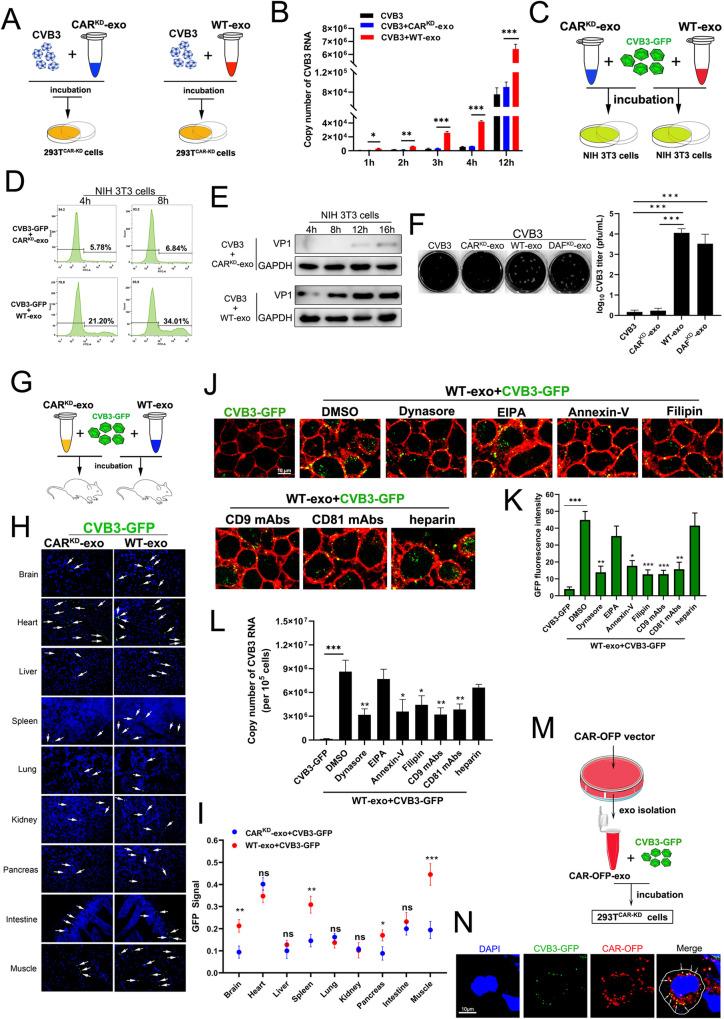
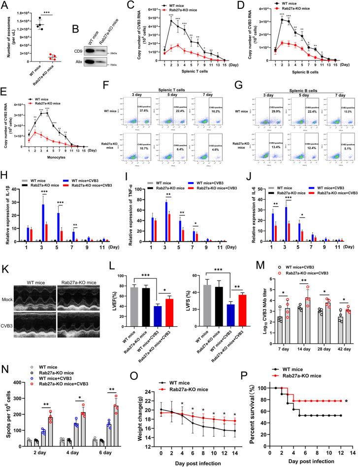
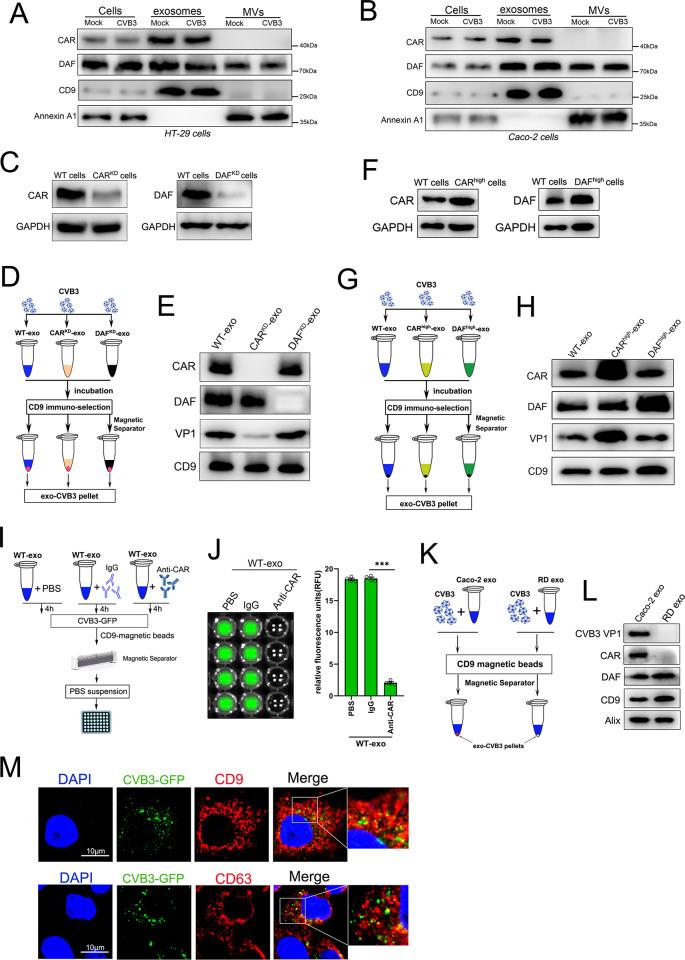
Specific virus-receptor interactions are important determinants in viral host range, tropism and pathogenesis, influencing the location and initiation of primary infection as well as viral spread to other target organs/tissues in the postviremic phase. Coxsackieviruses of Group B (CVB) and its six serotypes (CVB1-6) specifically interact with two receptor proteins, coxsackievirus-adenovirus receptor (CAR) and decay-accelerating factor (DAF), and cause various lesions in most permissive tissues. However, our previous data and other studies revealed that virus receptor-negative cells or tissues can be infected with CVB type 3 (CVB3), which can also effectively replicate. To study this interesting finding, we explored the possibility that exosomes are involved in CVB3 tropism and that exosomes functionally enhance CVB3 transmission. We found that exosomes carried and delivered CVB3 virions, resulting in efficient infection in receptor-negative host cells. We also found that delivery of CVB3 virions attached to exosomes depended on the virus receptor CAR. Importantly, exosomes carrying CVB3 virions exhibited greater infection efficiency than free virions because they accessed various entry routes, overcoming restrictions to viral tropism. In vivo experiments demonstrated that inhibition of exosome coupling with virions attenuated CVB3-induced immunological system dysfunction and reduced mortality. Our study describes a new mechanism in which exosomes contribute to viral tropism, spread, and pathogenesis.

摘要

特定的病毒-受体相互作用是病毒宿主范围、嗜性和发病机制的重要决定因素,影响原发性感染的部位和起始,以及病毒在后病毒血症期向其他靶器官/组织的传播。B 组柯萨奇病毒(CVB)及其 6 种血清型(CVB1-6)特异性地与两种受体蛋白——柯萨奇病毒-腺病毒受体(CAR)和衰变加速因子(DAF)相互作用,导致大多数允许的组织发生各种病变。然而,我们之前的数据和其他研究表明,病毒受体阴性的细胞或组织也可以被 3 型柯萨奇病毒(CVB3)感染,并且 CVB3 也可以有效地复制。为了研究这一有趣的发现,我们探讨了外泌体是否参与 CVB3 嗜性,以及外泌体是否在功能上增强 CVB3 的传播。我们发现外泌体携带并传递 CVB3 病毒粒子,导致受体阴性宿主细胞的有效感染。我们还发现,外泌体携带的 CVB3 病毒粒子的传递依赖于病毒受体 CAR。重要的是,携带 CVB3 病毒粒子的外泌体比游离病毒粒子具有更高的感染效率,因为它们可以通过各种进入途径,克服病毒嗜性的限制。体内实验表明,抑制外泌体与病毒粒子的结合可减弱 CVB3 诱导的免疫系统功能障碍和降低死亡率。本研究描述了外泌体有助于病毒嗜性、传播和发病机制的新机制。

https://cdn.ncbi.nlm.nih.gov/pmc/blobs/4f1a/9888687/513fb9dfa782/ppat.1011090.g001.jpg

文献AI研究员

20分钟写一篇综述,助力文献阅读效率提升50倍。

立即体验

用中文搜PubMed

大模型驱动的PubMed中文搜索引擎

马上搜索

文档翻译

学术文献翻译模型,支持多种主流文档格式。

立即体验