Suppr超能文献

儿童期创伤、青春期前的性成熟时间提前与青少年期精神病理学:皮质边缘发育的作用。

Childhood trauma, earlier pubertal timing, and psychopathology in adolescence: The role of corticolimbic development.

机构信息

Department of Psychology, Harvard University, USA.

Department of Psychology, Harvard University, USA.

出版信息

Dev Cogn Neurosci. 2023 Feb;59:101187. doi: 10.1016/j.dcn.2022.101187. Epub 2022 Dec 9.

Abstract

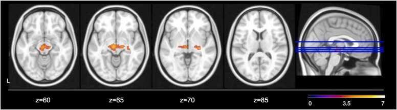
Earlier pubertal development appears to be one pathway through which childhood trauma contributes to psychopathology in adolescence. Puberty-related changes in neural networks involved in emotion processing, namely the amygdala-medial prefrontal (mPFC) circuit, may be a potential mechanism linking trauma and adolescent psychopathology. Our participants were 227 youth between 10 and 13 years of age who completed assessments of threat and deprivation-related experiences of adversity, pubertal stage, and internalizing and externalizing symptoms. A subset (n = 149) also underwent a functional MRI scan while passively viewing fearful and calm faces. Potential mechanisms linking childhood trauma with psychopathology, encompassing earlier pubertal timing and neural response to aversive stimuli were explored. Earlier pubertal development was associated with childhood trauma as well as increased externalizing symptoms in boys only. Earlier pubertal timing in males and females was negatively associated with activation in bilateral amygdala, hippocampal, and fusiform regions when comparing fearful and calm faces. However, amygdala-mPFC connectivity showed no association with pubertal timing or psychopathology symptoms. These findings do not support accelerated amygdala-mPFC development as a mechanism linking childhood trauma and psychopathology, but instead provide support for the role of pubertal development in normative decreases in limbic activation across development.

摘要

早期的青春期发育似乎是童年创伤导致青少年精神病理学的途径之一。与青春期相关的神经网络变化,涉及情绪处理的杏仁核-内侧前额叶(mPFC)回路,可能是将创伤和青少年精神病理学联系起来的潜在机制。我们的参与者是 227 名 10 至 13 岁的青少年,他们完成了与威胁和剥夺相关的逆境经历、青春期阶段以及内化和外化症状的评估。一小部分(n=149)还接受了功能磁共振成像扫描,同时被动地观察恐惧和平静的面孔。探索了将儿童期创伤与精神病理学联系起来的潜在机制,包括青春期提前和对厌恶刺激的神经反应。青春期提前与童年创伤以及男孩的外化症状增加有关。男性和女性的青春期提前与比较恐惧和平静面孔时双侧杏仁核、海马体和梭状回的激活呈负相关。然而,杏仁核-前额叶皮层连接与青春期时间或精神病理学症状没有关联。这些发现不支持加速的杏仁核-前额叶皮层发育作为将儿童期创伤与精神病理学联系起来的机制,而是支持青春期发育在正常情况下减少边缘系统激活的作用。

https://cdn.ncbi.nlm.nih.gov/pmc/blobs/9cbc/9842860/142bef33868c/gr1.jpg

文献AI研究员

20分钟写一篇综述,助力文献阅读效率提升50倍。

立即体验

用中文搜PubMed

大模型驱动的PubMed中文搜索引擎

马上搜索

文档翻译

学术文献翻译模型,支持多种主流文档格式。

立即体验