Suppr超能文献

YBX1 对自噬和脂肪生成的转录后和转录控制。

Transcriptional and post-transcriptional control of autophagy and adipogenesis by YBX1.

机构信息

Guangdong Laboratory of Lingnan Modern Agriculture, Guangdong Province Key Laboratory of Animal Nutritional Regulation and National Engineering Research Center for Breeding Swine Industry, College of Animal Science, South China Agricultural University, Guangzhou, 510642, China.

出版信息

Cell Death Dis. 2023 Jan 16;14(1):29. doi: 10.1038/s41419-023-05564-y.

Abstract

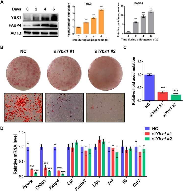
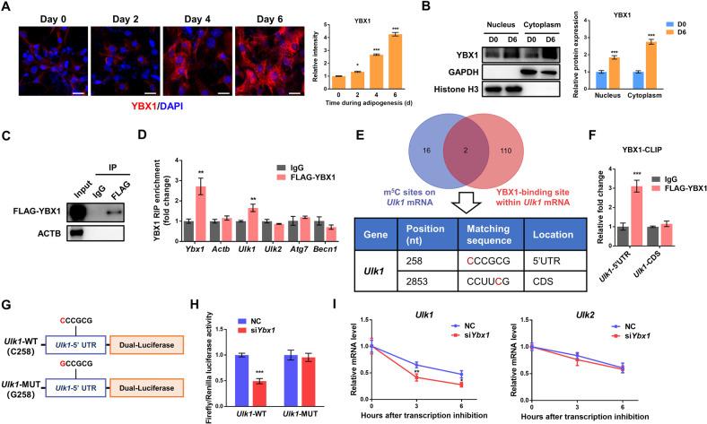
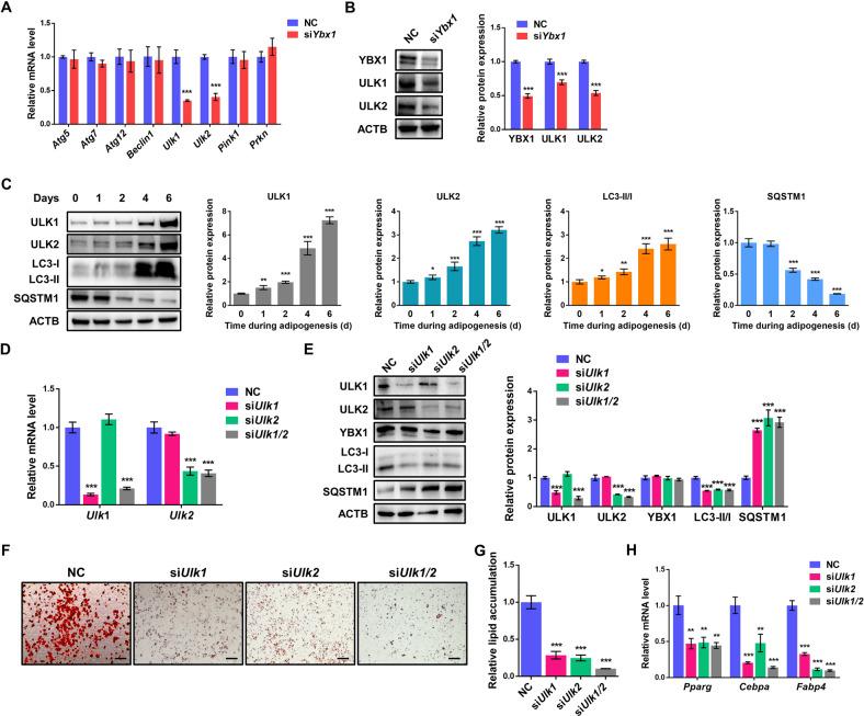
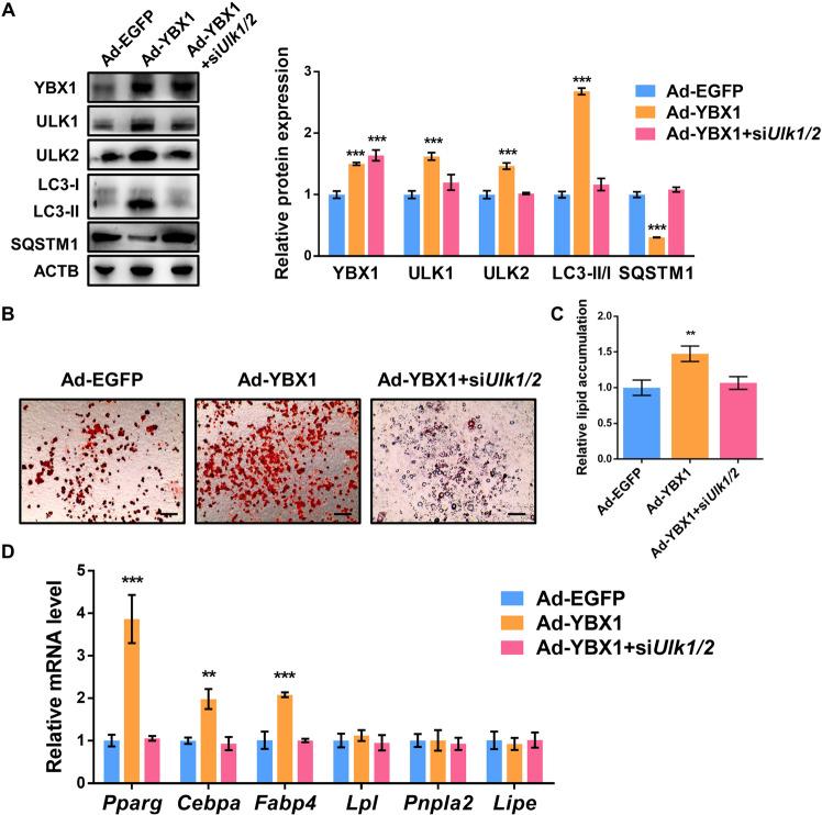
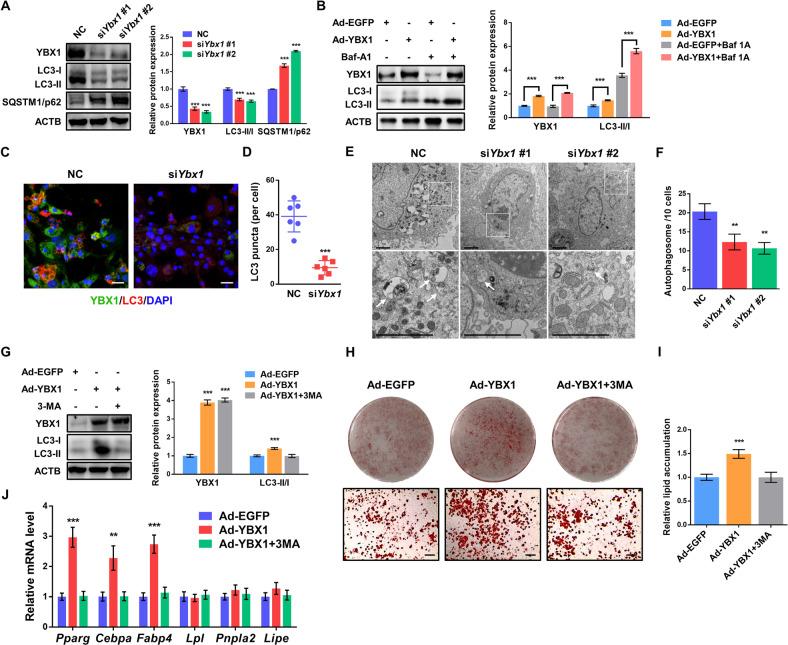
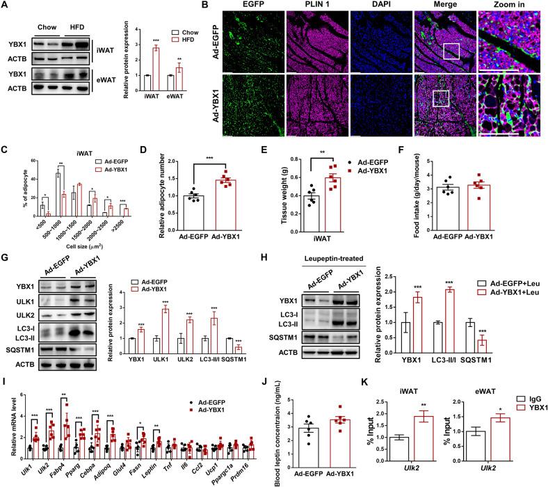
Obesity is strongly associated with metabolic diseases, which have become a global health problem. Exploring the underlying mechanism of adipogenesis is crucial for the treatment of excess white fat. Oncogene YBX1 is a multifunctional DNA- and RNA-binding protein that regulates brown adipogenesis. However, the role of YBX1 in white adipogenesis and adipose tissue expansion remains unknown. Here, we showed that YBX1 deficiency inhibited murine and porcine adipocyte differentiation. YBX1 positively regulated adipogenesis through promoting ULK1- and ULK2-mediated autophagy. Mechanistically, we identified YBX1 serves as a 5-methylcytosine (mC)-binding protein directly targeting mC-containing Ulk1 mRNA by using RNA immunoprecipitation. RNA decay assay further proved that YBX1 upregulated ULK1 expression though stabilizing its mRNA. Meanwhile, YBX1 promoted Ulk2 transcription and expression as a transcription factor, thereby enhancing autophagy and adipogenesis. Importantly, YBX1 overexpression in white fat enhanced ULK1/ULK2-mediated autophagy and promoted adipose tissue expansion in mice. Collectively, these findings unveil the post-transcriptional and transcriptional mechanism and functional importance of YBX1 in autophagy and adipogenesis regulation, providing an attractive molecular target for therapies of obesity and metabolic diseases.

摘要

肥胖与代谢疾病密切相关,代谢疾病已成为全球健康问题。探索脂肪生成的潜在机制对于治疗过多的白色脂肪至关重要。癌基因 YBX1 是一种多功能的 DNA 和 RNA 结合蛋白,可调节棕色脂肪生成。然而,YBX1 在白色脂肪生成和脂肪组织扩张中的作用尚不清楚。在这里,我们表明 YBX1 缺乏抑制了小鼠和猪脂肪细胞的分化。YBX1 通过促进 ULK1 和 ULK2 介导的自噬正向调节脂肪生成。在机制上,我们通过 RNA 免疫沉淀鉴定出 YBX1 作为一种 5-甲基胞嘧啶 (mC)-结合蛋白,直接靶向含有 mC 的 Ulk1 mRNA。RNA 降解实验进一步证明 YBX1 通过稳定其 mRNA 而上调 ULK1 表达。同时,YBX1 作为转录因子促进 Ulk2 的转录和表达,从而增强自噬和脂肪生成。重要的是,白色脂肪中的 YBX1 过表达增强了 ULK1/ULK2 介导的自噬,并促进了小鼠脂肪组织的扩张。总之,这些发现揭示了 YBX1 在自噬和脂肪生成调节中的转录后和转录机制及其功能重要性,为肥胖和代谢疾病的治疗提供了有吸引力的分子靶点。

https://cdn.ncbi.nlm.nih.gov/pmc/blobs/3769/9841012/e0ff05c44c8b/41419_2023_5564_Fig1_HTML.jpg

文献AI研究员

20分钟写一篇综述,助力文献阅读效率提升50倍。

立即体验

用中文搜PubMed

大模型驱动的PubMed中文搜索引擎

马上搜索

文档翻译

学术文献翻译模型,支持多种主流文档格式。

立即体验