Suppr超能文献

荨麻凝集素(UDA)作为抑制 SARS-CoV-2 奥密克戎变异株的潜在候选物:计算机预测和实验验证。

Urtica dioica agglutinin (UDA) as a potential candidate for inhibition of SARS-CoV-2 Omicron variants: In silico prediction and experimental validation.

机构信息

Laboratory of Regenerative Medicine & Biomedical Innovations, Pasteur Institute of Iran, Tehran, Iran.

Zahedan University of Medical Sciences, Zahedan, Iran.

出版信息

Phytomedicine. 2023 Mar;111:154648. doi: 10.1016/j.phymed.2023.154648. Epub 2023 Jan 6.

Abstract

BACKGROUND

The high number of mutations and consequent structure modifications in a Receptor-Binding Domain (RBD) of the spike protein of the Omicron variant of SARS-CoV-2 increased concerns about evading neutralization by antibodies induced by previous infection or vaccination. Thus, developing novel drugs with potent inhibitory activity can be considered an alternative for treating this highly transmissible variant. Considering that Urtica dioica agglutinin (UDA) displays antiviral activity against SARS-CoV-2, the potency of this lectin to inhibit the Receptor Binding Domain of the Omicron variant (RBD) was examined in this study.

PURPOSE

This study examines how UDA inhibits the Omicron variant of SARS-CoV-2 by blocking its RBD, using a combination of in silico and experimental methods.

METHODS

To investigate the interaction between UDA and RBD, the CLUSPRO 2.0 web server was used to dock the RBD-UDA complex, and molecular dynamics simulations were performed by the Gromacs 2020.2 software to confirm the stability of the selected docked complex. Finally, the binding affinity (ΔG) of the simulation was calculated using MM-PBSA. In addition, ELISA and Western blot tests were used to examine UDA's binding to RBD.

RESULTS

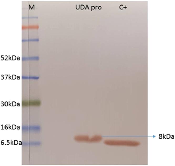
Based on the docking results, UDA forms five hydrogen bonds with the RBD active site, which contains mutated residues Tyr501, Arg498, Arg493, and His505. According to MD simulations, the UDA-RBD complex is stable over 100 ns, and its average binding energy during the simulation is -87.201 kJ/mol. Also, the ELISA test showed that UDA significantly binds to RBD, and by increasing the concentration of UDA protein, the attachment to RBD became stronger. In Western blotting, RBD was able to attach to and detect UDA.

CONCLUSION

This study indicates that UDA interaction with RBD prevents virus attachment to Angiotensin-converting enzyme 2 (ACE2) and, therefore, its entry into the host cell. Altogether, UDA exhibited a significant suppression effect on the Omicron variant and can be considered a new candidate to improve protection against severe infection of this variant.

摘要

背景

奥密克戎变异株刺突蛋白受体结合域(RBD)的大量突变和结构修饰增加了人们对其逃避既往感染或接种诱导的抗体中和的担忧。因此,开发具有强大抑制活性的新型药物可以被认为是治疗这种高传染性变异株的一种替代方法。考虑到荨麻凝集素(UDA)对 SARS-CoV-2 具有抗病毒活性,本研究检测了这种凝集素抑制奥密克戎变异株 RBD 的能力。

目的

本研究采用计算和实验相结合的方法,研究 UDA 通过阻断 RBD 抑制奥密克戎变异株的机制。

方法

利用 CLUSPRO 2.0 网络服务器对接 RBD-UDA 复合物,并用 Gromacs 2020.2 软件进行分子动力学模拟,以确认所选对接复合物的稳定性。最后,采用 MM-PBSA 计算模拟的结合亲和力(ΔG)。此外,还进行了 ELISA 和 Western blot 实验以检测 UDA 与 RBD 的结合。

结果

基于对接结果,UDA 与 RBD 的活性部位形成了 5 个氢键,该部位包含突变残基 Tyr501、Arg498、Arg493 和 His505。根据 MD 模拟,UDA-RBD 复合物在 100ns 以上是稳定的,模拟过程中的平均结合能为-87.201kJ/mol。此外,ELISA 实验表明 UDA 与 RBD 显著结合,并且随着 UDA 蛋白浓度的增加,与 RBD 的结合变得更强。Western blot 实验中,RBD 能够与 UDA 结合并被检测到。

结论

本研究表明,UDA 与 RBD 的相互作用阻止了病毒与血管紧张素转换酶 2(ACE2)的结合,从而阻止了病毒进入宿主细胞。总之,UDA 对奥密克戎变异株表现出显著的抑制作用,可被视为改善对该变异株严重感染保护的新候选药物。

https://cdn.ncbi.nlm.nih.gov/pmc/blobs/fe57/9815882/4e3993c70ec0/ga1_lrg.jpg

文献AI研究员

20分钟写一篇综述,助力文献阅读效率提升50倍。

立即体验

用中文搜PubMed

大模型驱动的PubMed中文搜索引擎

马上搜索

文档翻译

学术文献翻译模型,支持多种主流文档格式。

立即体验