Suppr超能文献

心脏-肠道微生物群通讯决定心肌缺血/再灌注后心脏损伤的严重程度。

Heart-gut microbiota communication determines the severity of cardiac injury after myocardial ischaemia/reperfusion.

机构信息

Department of Cardiology, MOE Key Laboratory of Model Animal for Disease Study, Nanjing Drum Tower Hospital, The Affiliated Hospital of Nanjing University Medical School, Nanjing University, No. 321 Zhongshan Road, Nanjing 210008, China.

Department of General Surgery, Jiangsu Province Hospital of Chinese Medicine, Affiliated Hospital of Nanjing University of Chinese Medicine, No. 155 Hanzhong Road, Nanjing 210000, China.

出版信息

Cardiovasc Res. 2023 Jun 13;119(6):1390-1402. doi: 10.1093/cvr/cvad023.

Abstract

AIMS

Recent studies have suggested a key role of intestinal microbiota in pathological progress of multiple organs via immune modulation. However, the interactions between heart and gut microbiota remain to be fully elucidated. The aim of the study is to investigate the role of gut microbiota in the post-ischaemia/reperfusion (I/R) inflammatory microenvironment.

METHODS AND RESULTS

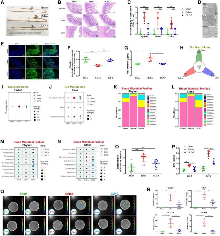
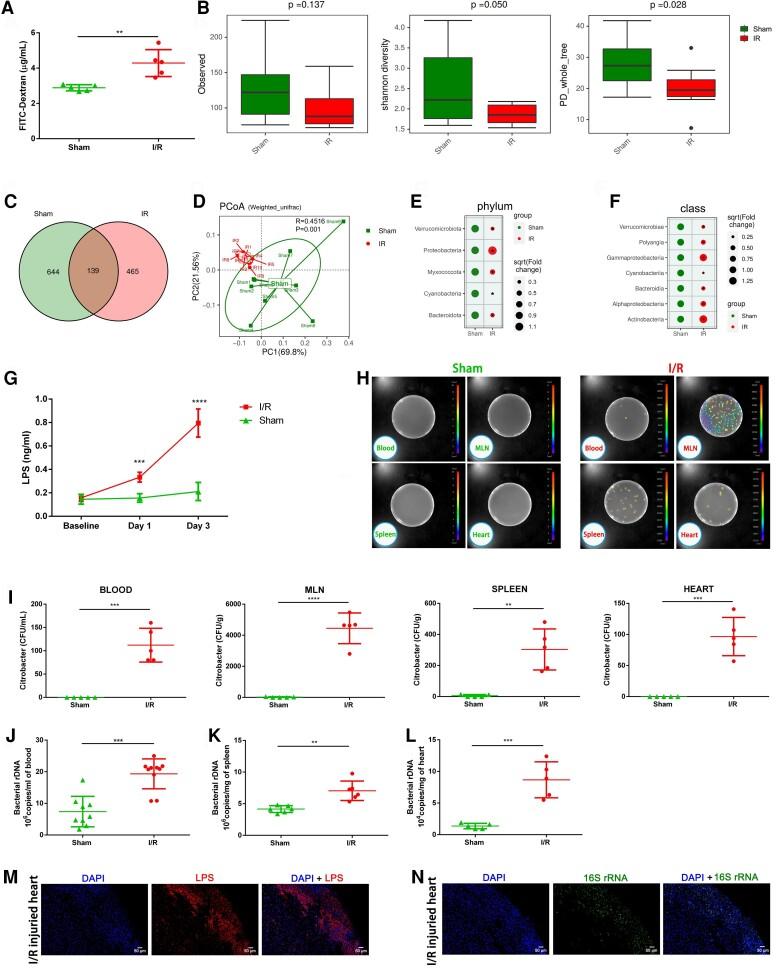
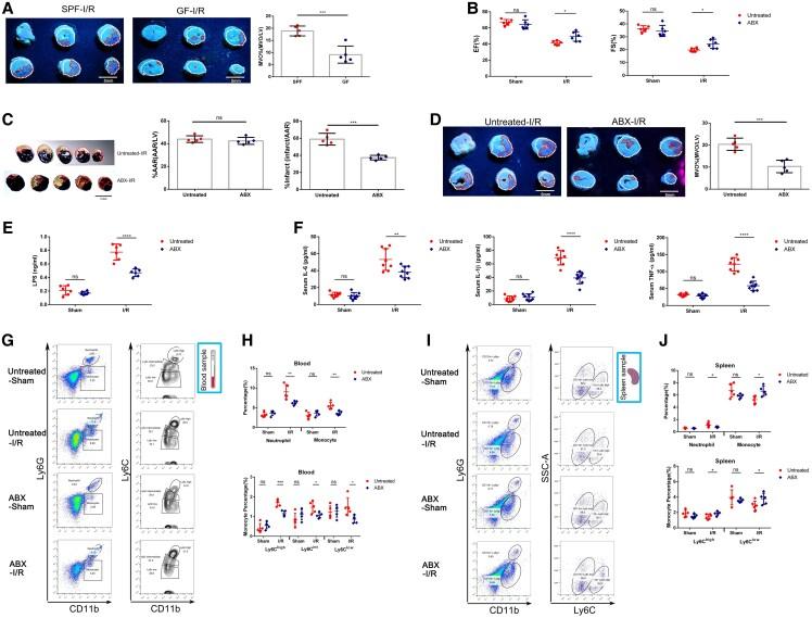
Here, we conducted a case-control study to explore the association of gut bacteria translocation products with inflammation biomarkers and I/R injury severity in ST-elevation myocardial infarction patients. Then, we used a mouse model to determine the effects of myocardial I/R injury on gut microbiota dysbiosis and translocation. Blooming of Proteobacteria was identified as a hallmark of post-I/R dysbiosis, which was associated with gut bacteria translocation. Abrogation of gut bacteria translocation by antibiotic cocktail alleviated myocardial I/R injury via mitigating excessive inflammation and attenuating myeloid cells mobilization, indicating the bidirectional heart-gut-microbiome-immune axis in myocardial I/R injury. Glucagon-like peptide 2 (GLP-2), an endocrine peptide produced by intestinal L-cells, was used in the experimental myocardial I/R model. GLP-2 administration restored gut microbiota disorder and prevented bacteria translocation, eventually attenuated myocardial I/R injury through alleviating systemic inflammation.

CONCLUSION

Our work identifies a bidirectional communication along the heart-gut-microbiome-immune axis in myocardial I/R injury and demonstrates gut bacteria translocation as a key regulator in amplifying inflammatory injury. Furthermore, our study sheds new light on the application of GLP-2 as a promising therapy targeting gut bacteria translocation in myocardial I/R injury.

摘要

目的

最近的研究表明,肠道微生物群通过免疫调节在多个器官的病理进程中起关键作用。然而,心脏和肠道微生物群之间的相互作用仍有待充分阐明。本研究旨在探讨肠道微生物群在缺血/再灌注(I/R)炎症微环境中的作用。

方法和结果

在这里,我们进行了一项病例对照研究,以探讨肠道细菌易位产物与炎症生物标志物和 ST 段抬高型心肌梗死患者 I/R 损伤严重程度的关系。然后,我们使用小鼠模型来确定心肌 I/R 损伤对肠道微生物群失调和易位的影响。变形菌门的大量繁殖被确定为 I/R 后失调的标志,与肠道细菌易位有关。通过抗生素鸡尾酒阻断肠道细菌易位可通过减轻过度炎症和减弱髓样细胞动员来减轻心肌 I/R 损伤,表明心肌 I/R 损伤中存在双向的心脏-肠道-微生物群-免疫轴。胰高血糖素样肽 2(GLP-2),一种由肠道 L 细胞产生的内分泌肽,被用于实验性心肌 I/R 模型。GLP-2 给药恢复了肠道微生物群紊乱,防止了细菌易位,最终通过减轻全身炎症来减轻心肌 I/R 损伤。

结论

我们的工作确定了心肌 I/R 损伤中沿心脏-肠道-微生物群-免疫轴的双向通讯,并证明了肠道细菌易位是放大炎症损伤的关键调节因子。此外,我们的研究为 GLP-2 作为一种有前途的针对心肌 I/R 损伤中肠道细菌易位的治疗方法提供了新的思路。

https://cdn.ncbi.nlm.nih.gov/pmc/blobs/ac43/10262181/9ead8e2ed6fb/cvad023_ga1.jpg

文献AI研究员

20分钟写一篇综述,助力文献阅读效率提升50倍。

立即体验

用中文搜PubMed

大模型驱动的PubMed中文搜索引擎

马上搜索

文档翻译

学术文献翻译模型,支持多种主流文档格式。

立即体验