Suppr超能文献

器官中 ACE2 对致死性 SARS-CoV-2 感染的细胞自主需求。

Cell-autonomous requirement for ACE2 across organs in lethal mouse SARS-CoV-2 infection.

机构信息

Department of Medicine and Cardiovascular Institute, University of Pennsylvania, Philadelphia, Pennsylvania, United States of America.

Department of Microbiology and Immunology, College of Veterinary Medicine, Cornell University, Ithaca, New York, United States of America.

出版信息

PLoS Biol. 2023 Feb 6;21(2):e3001989. doi: 10.1371/journal.pbio.3001989. eCollection 2023 Feb.

Abstract

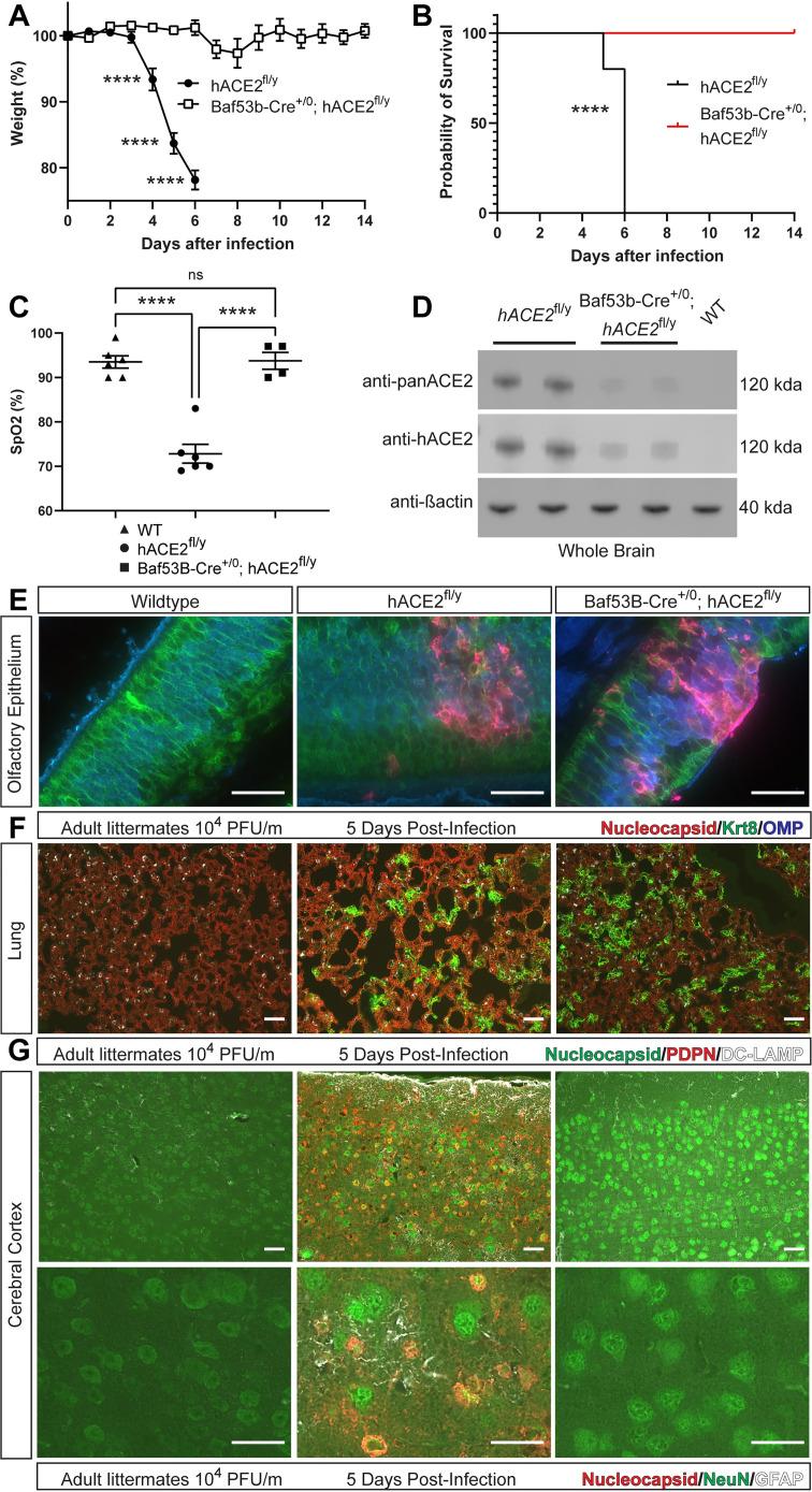
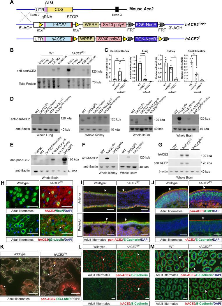
Angiotensin-converting enzyme 2 (ACE2) is the cell-surface receptor for Severe Acute Respiratory Syndrome Coronavirus 2 (SARS-CoV-2). While its central role in Coronavirus Disease 2019 (COVID-19) pathogenesis is indisputable, there remains significant debate regarding the role of this transmembrane carboxypeptidase in the disease course. These include the role of soluble versus membrane-bound ACE2, as well as ACE2-independent mechanisms that may contribute to viral spread. Testing these roles requires in vivo models. Here, we report humanized ACE2-floxed mice in which hACE2 is expressed from the mouse Ace2 locus in a manner that confers lethal disease and permits cell-specific, Cre-mediated loss of function, and LSL-hACE2 mice in which hACE2 is expressed from the Rosa26 locus enabling cell-specific, Cre-mediated gain of function. Following exposure to SARS-CoV-2, hACE2-floxed mice experienced lethal cachexia, pulmonary infiltrates, intravascular thrombosis and hypoxemia-hallmarks of severe COVID-19. Cre-mediated loss and gain of hACE2 demonstrate that neuronal infection confers lethal cachexia, hypoxemia, and respiratory failure in the absence of lung epithelial infection. In this series of genetic experiments, we demonstrate that ACE2 is absolutely and cell-autonomously required for SARS-CoV-2 infection in the olfactory epithelium, brain, and lung across diverse cell types. Therapies inhibiting or blocking ACE2 at these different sites are likely to be an effective strategy towards preventing severe COVID-19.

摘要

血管紧张素转化酶 2(ACE2)是严重急性呼吸综合征冠状病毒 2(SARS-CoV-2)的细胞表面受体。虽然其在 2019 年冠状病毒病(COVID-19)发病机制中的核心作用是不可争议的,但关于这种跨膜羧肽酶在疾病过程中的作用仍存在很大争议。这些争议包括可溶性 ACE2 与膜结合 ACE2 的作用,以及可能有助于病毒传播的 ACE2 非依赖性机制。测试这些作用需要体内模型。在这里,我们报告了人源化 ACE2 敲除小鼠,其中 hACE2 从小鼠 Ace2 基因座表达,方式为赋予致死性疾病,并允许细胞特异性 Cre 介导的功能丧失,以及 LSL-hACE2 小鼠,其中 hACE2 从 Rosa26 基因座表达,从而能够进行细胞特异性 Cre 介导的功能获得。在暴露于 SARS-CoV-2 后,hACE2 敲除小鼠经历了致命性恶病质、肺浸润、血管内血栓形成和低氧血症-严重 COVID-19 的标志。Cre 介导的 hACE2 丧失和获得表明,神经元感染在没有肺上皮感染的情况下赋予致命性恶病质、低氧血症和呼吸衰竭。在这一系列遗传实验中,我们证明 ACE2 是 SARS-CoV-2 在嗅上皮、大脑和肺中的不同细胞类型中感染所必需的,而且是绝对必需的和细胞自主的。在这些不同部位抑制或阻断 ACE2 的治疗方法可能是预防严重 COVID-19 的有效策略。

https://cdn.ncbi.nlm.nih.gov/pmc/blobs/4262/9934376/78cb877cea6d/pbio.3001989.g001.jpg

文献AI研究员

20分钟写一篇综述,助力文献阅读效率提升50倍。

立即体验

用中文搜PubMed

大模型驱动的PubMed中文搜索引擎

马上搜索

文档翻译

学术文献翻译模型,支持多种主流文档格式。

立即体验