Suppr超能文献

精准肿瘤学方向上的当前及未来放射性核素疗法:一篇叙述性综述。

Current and upcoming radionuclide therapies in the direction of precision oncology: A narrative review.

作者信息

Shah Hina J, Ruppell Evan, Bokhari Rozan, Aland Parag, Lele Vikram R, Ge Connie, McIntosh Lacey J

机构信息

Department of Radiology, Division of Nuclear Medicine, Brigham and Women's Hospital, Boston, MA 02115, USA.

Department of Imaging, Dana-Farber Cancer Institute, Boston, MA 02115, USA.

出版信息

Eur J Radiol Open. 2023 Jan 31;10:100477. doi: 10.1016/j.ejro.2023.100477. eCollection 2023.

Abstract

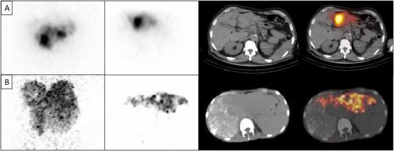
As new molecular tracers are identified to target specific receptors, tissue, and tumor types, opportunities arise for the development of both diagnostic tracers and their therapeutic counterparts, termed "theranostics." While diagnostic tracers utilize positron emitters or gamma-emitting radionuclides, their theranostic counterparts are typically bound to beta and alpha emitters, which can deliver specific and localized radiation to targets with minimal collateral damage to uninvolved surrounding structures. This is an exciting time in molecular imaging and therapy and a step towards personalized and precise medicine in which patients who were either without treatment options or not candidates for other therapies now have expanded options, with tangible data showing improved outcomes. This manuscript explores the current state of theranostics, providing background, treatment specifics, and toxicities, and discusses future potential trends.

摘要

随着新的分子示踪剂被确定用于靶向特定受体、组织和肿瘤类型,开发诊断示踪剂及其治疗对应物(即“治疗诊断剂”)的机会应运而生。诊断示踪剂利用正电子发射体或γ发射放射性核素,而它们的治疗诊断对应物通常与β和α发射体结合,这可以将特定的局部辐射传递到靶点,同时对未受影响的周围结构造成最小的附带损伤。这是分子成像和治疗领域令人兴奋的时期,也是迈向个性化精准医学的一步,在这种医学模式下,那些原本没有治疗选择或不适合其他疗法的患者现在有了更多选择,切实的数据表明治疗效果有所改善。本文探讨了治疗诊断学的现状,提供了背景、治疗细节和毒性,并讨论了未来的潜在趋势。

https://cdn.ncbi.nlm.nih.gov/pmc/blobs/9a0e/9918751/edddeed4cd2e/gr1.jpg

文献AI研究员

20分钟写一篇综述,助力文献阅读效率提升50倍。

立即体验

用中文搜PubMed

大模型驱动的PubMed中文搜索引擎

马上搜索

文档翻译

学术文献翻译模型,支持多种主流文档格式。

立即体验