Suppr超能文献

光活化纳米agonists 通过化学程序设计实现药代动力学调控和原位癌症疫苗接种。

Photoactivatable nanoagonists chemically programmed for pharmacokinetic tuning and in situ cancer vaccination.

机构信息

The First Affiliated Hospital, National Health Commission (NHC) Key Laboratory of Combined Multi-Organ Transplantation, Zhejiang University School of Medicine, Hangzhou 310003, P. R. China.

Jinan Microecological Biomedicine Shandong Laboratory, Jinan 250117, P. R. China.

出版信息

Proc Natl Acad Sci U S A. 2023 Feb 21;120(8):e2210385120. doi: 10.1073/pnas.2210385120. Epub 2023 Feb 14.

Abstract

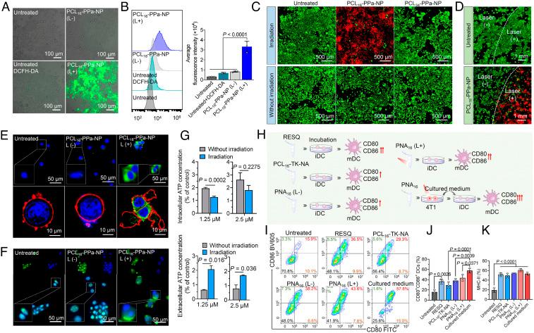
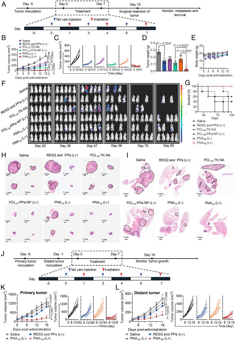
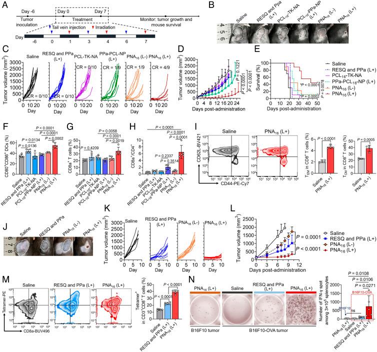
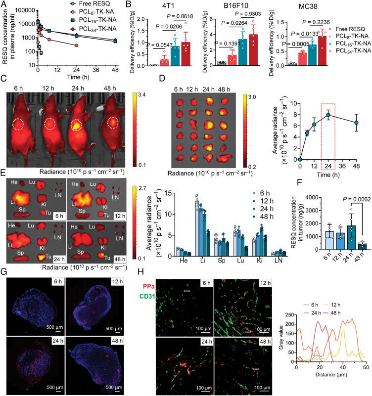
Immunotherapy holds great promise for the treatment of aggressive and metastatic cancers; however, currently available immunotherapeutics, such as immune checkpoint blockade, benefit only a small subset of patients. A photoactivatable toll-like receptor 7/8 (TLR7/8) nanoagonist (PNA) system that imparts near-infrared (NIR) light-induced immunogenic cell death (ICD) in dying tumor cells in synchrony with the spontaneous release of a potent immunoadjuvant is developed here. The PNA consists of polymer-derived proimmunoadjuvants ligated via a reactive oxygen species (ROS)-cleavable linker and polymer-derived photosensitizers, which are further encapsulated in amphiphilic matrices for systemic injection. In particular, conjugation of the TLR7/8 agonist resiquimod to biodegradable macromolecular moieties with different molecular weights enabled pharmacokinetic tuning of small-molecule agonists and optimized delivery efficiency in mice. Upon NIR photoirradiation, PNA effectively generated ROS not only to ablate tumors and induce the ICD cascade but also to trigger the on-demand release of TLR agonists. In several preclinical cancer models, intravenous PNA administration followed by NIR tumor irradiation resulted in remarkable tumor regression and suppressed postsurgical tumor recurrence and metastasis. Furthermore, this treatment profoundly shifted the tumor immune landscape to a tumoricidal one, eliciting robust tumor-specific T cell priming in vivo. This work highlights a simple and cost-effective approach to generate in situ cancer vaccines for synergistic photodynamic immunotherapy of metastatic cancers.

摘要

免疫疗法为侵袭性和转移性癌症的治疗带来了巨大的希望;然而,目前可用的免疫疗法,如免疫检查点阻断,仅使一小部分患者受益。本文开发了一种光激活的 Toll 样受体 7/8(TLR7/8)纳米激动剂(PNA)系统,该系统可在垂死的肿瘤细胞中诱导近红外(NIR)光诱导的免疫原性细胞死亡(ICD),与自发释放有效的免疫佐剂同步进行。PNA 由通过活性氧(ROS)可裂解接头连接的聚合物衍生的前免疫佐剂和聚合物衍生的光增敏剂组成,进一步封装在两亲性基质中用于系统注射。特别是,将 TLR7/8 激动剂瑞喹莫德与具有不同分子量的可生物降解的大分子部分缀合,能够调整小分子激动剂的药代动力学并优化在小鼠中的递药效率。在 NIR 光照射下,PNA 不仅有效地产生 ROS 来破坏肿瘤并诱导 ICD 级联反应,还可以触发 TLR 激动剂的按需释放。在几种临床前癌症模型中,静脉内给予 PNA 后进行 NIR 肿瘤照射可导致显著的肿瘤消退,并抑制术后肿瘤复发和转移。此外,这种治疗方法深刻地改变了肿瘤免疫景观,使其成为一种杀瘤性的免疫景观,在体内引发了强大的肿瘤特异性 T 细胞启动。这项工作强调了一种简单且具有成本效益的方法,可用于生成原位癌症疫苗,以协同进行转移性癌症的光动力免疫治疗。

https://cdn.ncbi.nlm.nih.gov/pmc/blobs/f581/9974508/7aa3a799e02a/pnas.2210385120fig01.jpg

文献AI研究员

20分钟写一篇综述,助力文献阅读效率提升50倍。

立即体验

用中文搜PubMed

大模型驱动的PubMed中文搜索引擎

马上搜索

文档翻译

学术文献翻译模型,支持多种主流文档格式。

立即体验