Suppr超能文献

ULK3 激酶是角质形成细胞自我更新和肿瘤发生的决定因素,靶向精氨酸甲基组。

The ULK3 kinase is a determinant of keratinocyte self-renewal and tumorigenesis targeting the arginine methylome.

机构信息

Cutaneous Biology Research Center, Massachusetts General Hospital, Charlestown, 02129, MA, USA.

Department of Dermatology, Massachusetts General Hospital and Harvard Medical School, Boston, 02114, MA, USA.

出版信息

Nat Commun. 2023 Feb 16;14(1):887. doi: 10.1038/s41467-023-36410-6.

Abstract

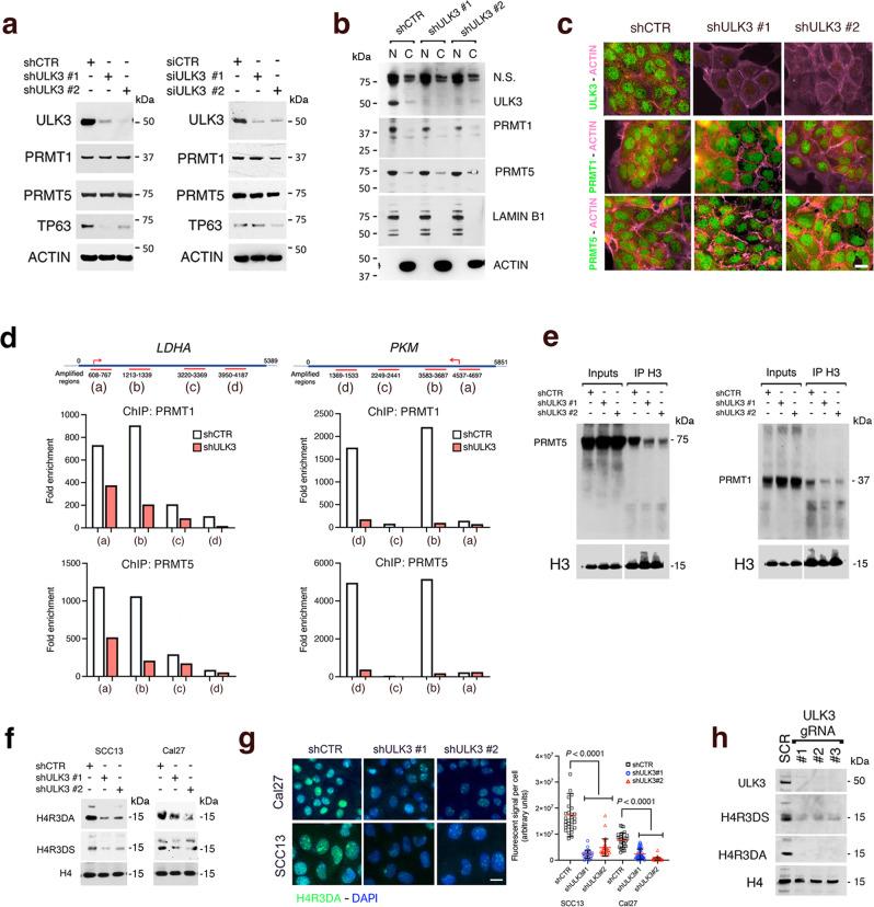
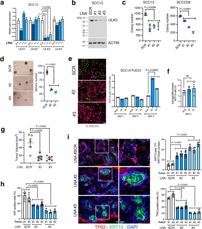
Epigenetic mechanisms oversee epidermal homeostasis and oncogenesis. The identification of kinases controlling these processes has direct therapeutic implications. We show that ULK3 is a nuclear kinase with elevated expression levels in squamous cell carcinomas (SCCs) arising in multiple body sites, including skin and Head/Neck. ULK3 loss by gene silencing or deletion reduces proliferation and clonogenicity of human keratinocytes and SCC-derived cells and affects transcription impinging on stem cell-related and metabolism programs. Mechanistically, ULK3 directly binds and regulates the activity of two histone arginine methyltransferases, PRMT1 and PRMT5 (PRMT1/5), with ULK3 loss compromising PRMT1/5 chromatin association to specific genes and overall methylation of histone H4, a shared target of these enzymes. These findings are of translational significance, as downmodulating ULK3 by RNA interference or locked antisense nucleic acids (LNAs) blunts the proliferation and tumorigenic potential of SCC cells and promotes differentiation in two orthotopic models of skin cancer.

摘要

表观遗传机制监管着表皮的稳态和肿瘤发生。鉴定控制这些过程的激酶具有直接的治疗意义。我们发现 ULK3 是一种核激酶,在多个部位(包括皮肤和头颈部)发生的鳞状细胞癌(SCC)中表达水平升高。通过基因沉默或缺失 ULK3 会降低人角质形成细胞和 SCC 衍生细胞的增殖和集落形成能力,并影响转录,从而影响与干细胞相关和代谢程序。在机制上,ULK3 直接结合并调节两种组蛋白精氨酸甲基转移酶 PRMT1 和 PRMT5(PRMT1/5)的活性,ULK3 的缺失会损害 PRMT1/5 与特定基因的染色质结合以及这些酶的共同靶标组蛋白 H4 的整体甲基化。这些发现具有转化意义,因为通过 RNA 干扰或锁定反义核酸(LNAs)下调 ULK3 会削弱 SCC 细胞的增殖和致瘤潜力,并促进两种皮肤癌原位模型中的分化。

https://cdn.ncbi.nlm.nih.gov/pmc/blobs/8ab0/9935893/b516ccaee4e8/41467_2023_36410_Fig1_HTML.jpg

文献AI研究员

20分钟写一篇综述,助力文献阅读效率提升50倍。

立即体验

用中文搜PubMed

大模型驱动的PubMed中文搜索引擎

马上搜索

文档翻译

学术文献翻译模型,支持多种主流文档格式。

立即体验