Suppr超能文献

使用深度卷积神经网络进行胶质母细胞瘤放疗的全自动临床靶区分割

Fully automated clinical target volume segmentation for glioblastoma radiotherapy using a deep convolutional neural network.

作者信息

Sadeghi Sogand, Farzin Mostafa, Gholami Somayeh

机构信息

Department of Nuclear Physics, Faculty of Sciences, University of Mazandaran, Babolsar, Iran.

Brain and Spinal Cord Injury Research Centre, Neuroscience Institute, Tehran University of Medical Sciences, Tehran, Iran.

出版信息

Pol J Radiol. 2023 Jan 19;88:e31-e40. doi: 10.5114/pjr.2023.124434. eCollection 2023.

Abstract

PURPOSE

Target volume delineation is a crucial step prior to radiotherapy planning in radiotherapy for glioblastoma. This step is performed manually, which is time-consuming and prone to intra- and inter-rater variabilities. Therefore, the purpose of this study is to evaluate a deep convolutional neural network (CNN) model for automatic segmentation of clinical target volume (CTV) in glioblastoma patients.

MATERIAL AND METHODS

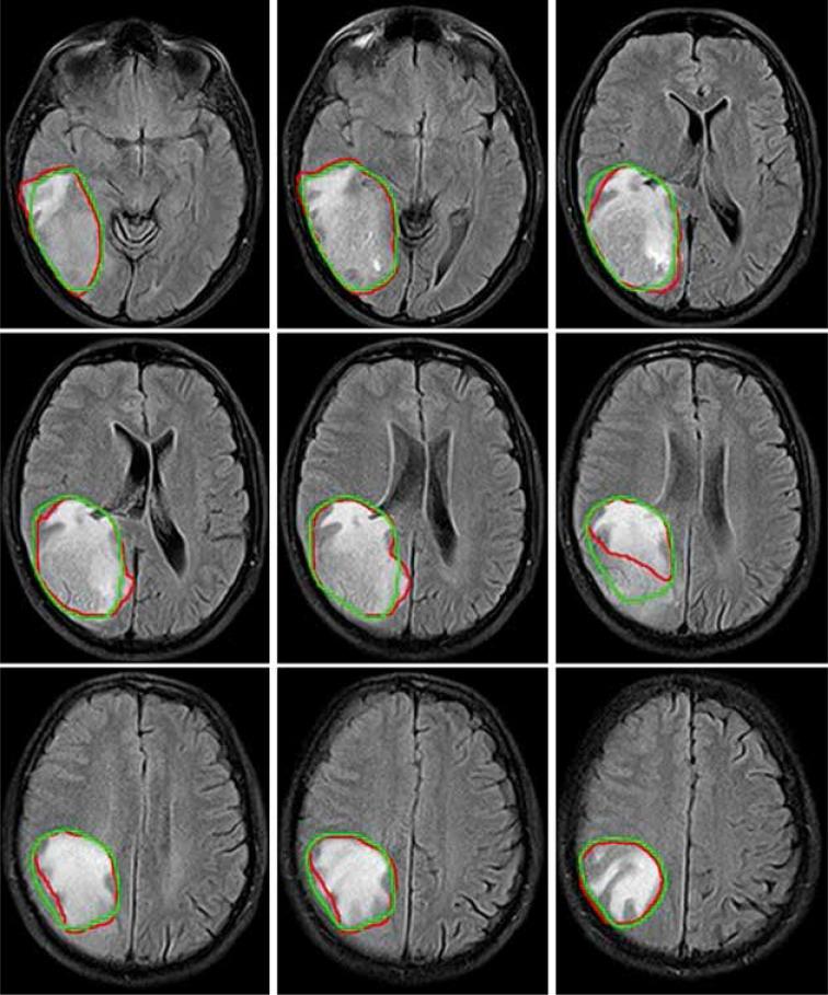
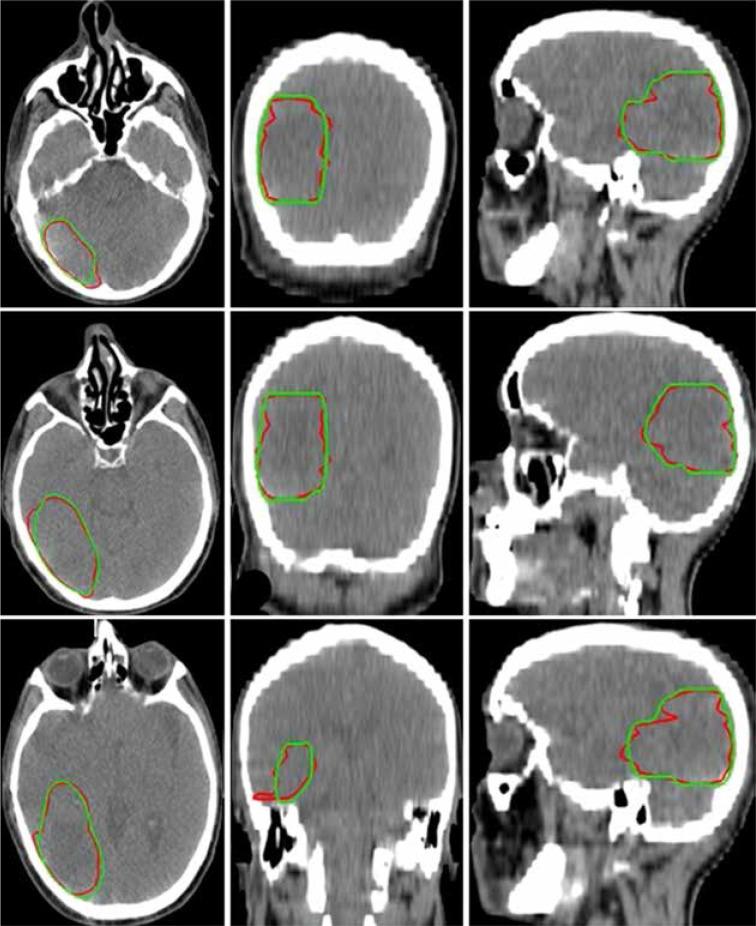
In this study, the modified Segmentation-Net (SegNet) model with deep supervision and residual-based skip connection mechanism was trained on 259 glioblastoma patients from the Multimodal Brain Tumour Image Segmentation Benchmark (BraTS) 2019 Challenge dataset for segmentation of gross tumour volume (GTV). Then, the pre-trained CNN model was fine-tuned with an independent clinical dataset ( = 37) to perform the CTV segmentation. In the process of fine-tuning, to generate a CT segmentation mask, both CT and MRI scans were simultaneously used as input data. The performance of the CNN model in terms of segmentation accuracy was evaluated on an independent clinical test dataset ( = 15) using the Dice Similarity Coefficient (DSC) and Hausdorff distance. The impact of auto-segmented CTV definition on dosimetry was also analysed.

RESULTS

The proposed model achieved the segmentation results with a DSC of 89.60 ± 3.56% and Hausdorff distance of 1.49 ± 0.65 mm. A statistically significant difference was found for the Dmin and Dmax of the CTV between manually and automatically planned doses.

CONCLUSIONS

The results of our study suggest that our CNN-based auto-contouring system can be used for segmentation of CTVs to facilitate the brain tumour radiotherapy workflow.

摘要

目的

在胶质母细胞瘤的放射治疗中,靶区勾画是放射治疗计划之前的关键步骤。这一步骤是手动进行的,既耗时又容易出现评分者内部和评分者之间的差异。因此,本研究的目的是评估一种深度卷积神经网络(CNN)模型,用于胶质母细胞瘤患者临床靶区(CTV)的自动分割。

材料与方法

在本研究中,具有深度监督和基于残差的跳跃连接机制的改进型分割网络(SegNet)模型在来自多模态脑肿瘤图像分割基准(BraTS)2019挑战赛数据集的259例胶质母细胞瘤患者上进行训练,以分割肿瘤总体积(GTV)。然后,使用一个独立的临床数据集(n = 37)对预训练的CNN模型进行微调,以执行CTV分割。在微调过程中,为了生成CT分割掩码,CT和MRI扫描同时用作输入数据。使用骰子相似系数(DSC)和豪斯多夫距离,在一个独立的临床测试数据集(n = 15)上评估CNN模型在分割准确性方面的性能。还分析了自动分割的CTV定义对剂量测定的影响。

结果

所提出的模型实现了分割结果,DSC为89.60 ± 3.56%,豪斯多夫距离为1.49 ± 0.65 mm。在手动计划剂量和自动计划剂量之间,CTV的Dmin和Dmax存在统计学显著差异。

结论

我们的研究结果表明,我们基于CNN的自动轮廓系统可用于CTV的分割,以促进脑肿瘤放射治疗工作流程。

https://cdn.ncbi.nlm.nih.gov/pmc/blobs/02be/9907163/075e44d8188d/PJR-88-50001-g001.jpg

文献AI研究员

20分钟写一篇综述,助力文献阅读效率提升50倍。

立即体验

用中文搜PubMed

大模型驱动的PubMed中文搜索引擎

马上搜索

文档翻译

学术文献翻译模型,支持多种主流文档格式。

立即体验