Suppr超能文献

油菜素内酯通过激活慢性粒细胞白血病细胞中的丝裂原活化蛋白激酶(MAPK)信号通路诱导细胞凋亡、自噬和副凋亡。

Brassinin Induces Apoptosis, Autophagy, and Paraptosis via MAPK Signaling Pathway Activation in Chronic Myelogenous Leukemia Cells.

作者信息

Yang Min Hee, Ha In Jin, Lee Seok-Geun, Lee Junhee, Um Jae-Young, Sethi Gautam, Ahn Kwang Seok

机构信息

KHU-KIST Department of Converging Science and Technology, Kyung Hee University, Seoul 02447, Republic of Korea.

Korean Medicine Clinical Trial Center (K-CTC), Korean Medicine Hospital, Kyung Hee University, Seoul 02447, Republic of Korea.

出版信息

Biology (Basel). 2023 Feb 14;12(2):307. doi: 10.3390/biology12020307.

Abstract

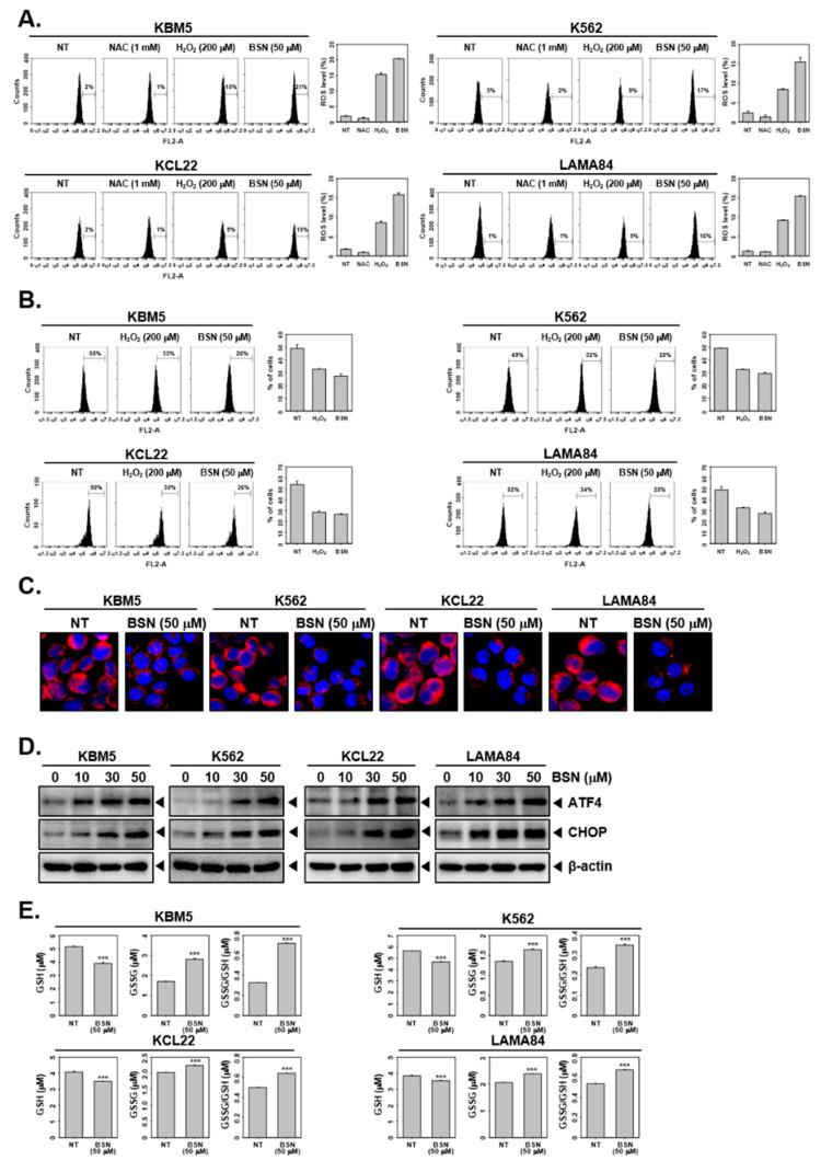
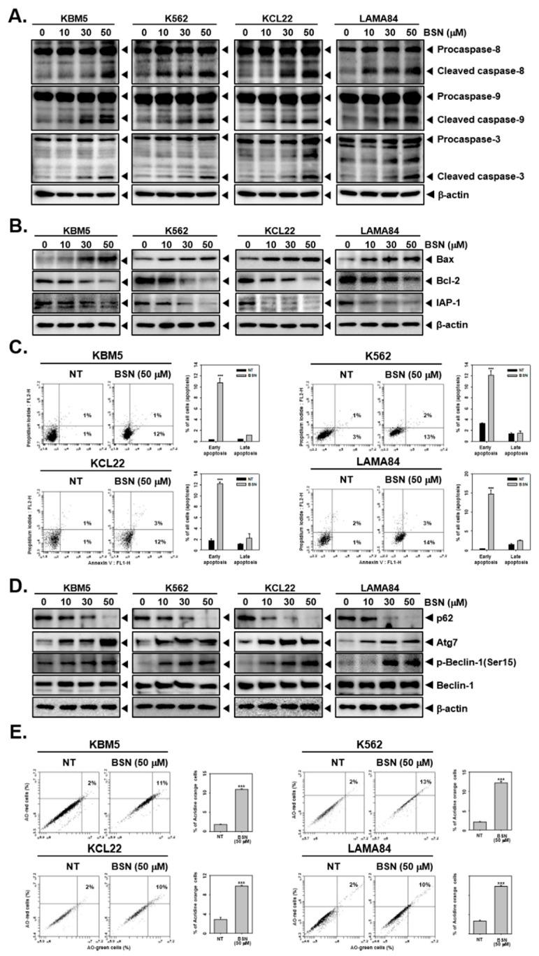
Brassinin (BSN), a potent phytoalexin found in cruciferous vegetables, has been found to exhibit diverse anti-neoplastic effects on different cancers. However, the impact of BSN on chronic myelogenous leukemia (CML) cells and the possible mode of its actions have not been described earlier. We investigated the anti-cytotoxic effects of BSN on the KBM5, KCL22, K562, and LAMA84 CML cells and its underlying mechanisms of action in inducing programmed cell death. We noted that BSN could induce apoptosis, autophagy, and paraptosis in CML cells. BSN induced PARP cleavage, subG1 peak increase, and early apoptosis. The potential action of BSN on autophagy activation was confirmed by an LC3 expression and acridine orange assay. In addition, BSN induced paraptosis through increasing the reactive oxygen species (ROS) production, mitochondria damage, and endoplasmic reticulum (ER) stress. Moreover, BSN promoted the activation of the MAPK signaling pathway, and pharmacological inhibitors of this signaling pathway could alleviate all three forms of cell death induced by BSN. Our data indicated that BSN could initiate the activation of apoptosis, autophagy, and paraptosis through modulating the MAPK signaling pathway.

摘要

油菜素(BSN)是一种在十字花科蔬菜中发现的强效植物抗毒素,已被发现对不同癌症具有多种抗肿瘤作用。然而,BSN对慢性粒细胞白血病(CML)细胞的影响及其可能的作用方式此前尚未见报道。我们研究了BSN对KBM5、KCL22、K562和LAMA84 CML细胞的抗细胞毒性作用及其诱导程序性细胞死亡的潜在作用机制。我们注意到BSN可诱导CML细胞发生凋亡、自噬和副凋亡。BSN诱导PARP裂解、亚G1峰增加和早期凋亡。通过LC3表达和吖啶橙试验证实了BSN对自噬激活的潜在作用。此外,BSN通过增加活性氧(ROS)产生、线粒体损伤和内质网(ER)应激诱导副凋亡。此外,BSN促进MAPK信号通路的激活,该信号通路的药理学抑制剂可减轻BSN诱导的所有三种形式的细胞死亡。我们的数据表明,BSN可通过调节MAPK信号通路启动凋亡、自噬和副凋亡的激活。

https://cdn.ncbi.nlm.nih.gov/pmc/blobs/f873/9953140/cdf3a9951030/biology-12-00307-g001.jpg

文献AI研究员

20分钟写一篇综述,助力文献阅读效率提升50倍。

立即体验

用中文搜PubMed

大模型驱动的PubMed中文搜索引擎

马上搜索

文档翻译

学术文献翻译模型,支持多种主流文档格式。

立即体验