Suppr超能文献

单细胞分析显示,高强度间歇性运动导致四跨膜蛋白阳性细胞外囊泡大量释放到循环中。

Single vesicle analysis reveals the release of tetraspanin positive extracellular vesicles into circulation with high intensity intermittent exercise.

机构信息

School of Sport, Exercise and Rehabilitation Sciences, University of Birmingham, Birmingham, UK.

Epigenetics & Cellular Senescence Group, Blizard Institute, Barts and the London School of Medicine and Dentistry, Queen Mary University of London, London, UK.

出版信息

J Physiol. 2023 Nov;601(22):5093-5106. doi: 10.1113/JP284047. Epub 2023 Mar 16.

Abstract

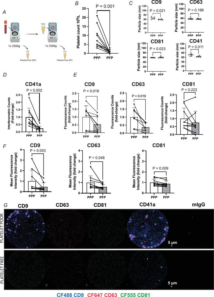
Small extracellular vesicles (sEVs) are released from all cell types and participate in the intercellular exchange of proteins, lipids, metabolites and nucleic acids. Proteomic, flow cytometry and nanoparticle tracking analyses suggest sEVs are released into circulation with exercise. However, interpretation of these data may be influenced by sources of bias introduced by different analytical approaches. Seven healthy participants carried out a high intensity intermittent training (HIIT) cycle protocol consisting of 4 × 30 s at a work-rate corresponding to 200% of individual max power (watts) interspersed by 4.5 min of active recovery. EDTA-treated blood was collected before and immediately after the final effort. Platelet-poor (PPP) and platelet-free (PFP) plasma was derived by one or two centrifugal spins at 2500 g, respectively (15 min, room temperature). Platelets were counted on an automated haemocytometer. Plasma samples were assessed with the Exoview R100 platform, which immobilises sEVs expressing common tetraspanin markers CD9, CD63, CD81 and CD41a on microfluidic chips and with the aid of fluorescence imaging, counts their abundance at a single sEV resolution, importantly, without a pre-isolation step. There was a lower number of platelets in the PFP than PPP, which was associated with a lower number of CD9, CD63 and CD41a positive sEVs. HIIT induced an increase in fluorescence counts in CD9, CD63 and CD81 positive sEVs in both PPP and PFP. These data support the concept that sEVs are released into circulation with exercise. Furthermore, platelet-free plasma is the preferred, representative analyte to study sEV dynamics and phenotype during exercise. KEY POINTS: Small extracellular vesicles (sEV) are nano-sized particles containing protein, metabolites, lipid and RNA that can be transferred from cell to cell. Previous findings implicate that sEVs are released into circulation with exhaustive, aerobic exercise, but since there is no gold standard method to isolate sEVs, these findings may be subject to bias introduced by different approaches. Here, we use a novel method to immobilise and image sEVs, at single-vesicle resolution, to show sEVs are released into circulation with high intensity intermittent exercise. Since platelet depletion of plasma results in a reduction in sEVs, platelet-free plasma is the preferred analyte to examine sEV dynamics and phenotype in the context of exercise.

摘要

小细胞外囊泡 (sEVs) 由所有细胞类型释放,并参与蛋白质、脂质、代谢物和核酸的细胞间交换。蛋白质组学、流式细胞术和纳米颗粒跟踪分析表明,sEVs 会随着运动释放到循环中。然而,由于不同分析方法引入的偏倚来源,这些数据的解释可能受到影响。 七名健康参与者进行了高强度间歇训练 (HIIT) 循环方案,该方案由 4 次 30 秒的工作组成,工作速率对应于个体最大功率的 200%(瓦特),中间穿插 4.5 分钟的主动恢复。EDTA 处理的血液在最后一次努力前后采集。通过在 2500 g 下进行一次或两次离心旋转分别获得血小板贫乏 (PPP) 和无血小板 (PFP) 血浆(15 分钟,室温)。在自动血细胞计数器上计数血小板。使用 Exoview R100 平台评估血浆样品,该平台将表达常见四跨膜蛋白标志物 CD9、CD63、CD81 和 CD41a 的 sEV 固定在微流控芯片上,并借助荧光成像,以单个 sEV 分辨率计数其丰度,重要的是,无需预分离步骤。PFP 中的血小板数量少于 PPP,这与 CD9、CD63 和 CD41a 阳性 sEV 的数量较少有关。HIIT 诱导 PPP 和 PFP 中 CD9、CD63 和 CD81 阳性 sEV 的荧光计数增加。这些数据支持 sEV 随着运动释放到循环中的概念。此外,无血小板血浆是研究运动过程中 sEV 动力学和表型的首选代表性分析物。 关键点:小细胞外囊泡 (sEV) 是一种含有蛋白质、代谢物、脂质和 RNA 的纳米级颗粒,可以从一个细胞转移到另一个细胞。先前的研究结果表明,sEVs 是在剧烈的有氧运动后释放到循环中的,但由于没有分离 sEVs 的金标准方法,这些发现可能受到不同方法引入的偏差的影响。在这里,我们使用一种新的方法来固定和成像 sEVs,以单个囊泡的分辨率,表明 sEVs 是随着高强度间歇运动释放到循环中的。由于血小板耗竭的血浆导致 sEV 减少,因此无血小板血浆是检查运动过程中 sEV 动力学和表型的首选分析物。

https://cdn.ncbi.nlm.nih.gov/pmc/blobs/c4aa/10953002/4d72edb6336c/TJP-601-5093-g005.jpg

文献AI研究员

20分钟写一篇综述,助力文献阅读效率提升50倍。

立即体验

用中文搜PubMed

大模型驱动的PubMed中文搜索引擎

马上搜索

文档翻译

学术文献翻译模型,支持多种主流文档格式。

立即体验