Suppr超能文献

三阴性乳腺癌快速复发的复发特征、复发预测因素及预后

Characteristics of recurrence, predictors for relapse and prognosis of rapid relapse triple-negative breast cancer.

作者信息

Cai Shuang-Long, Liu Jing-Jing, Liu Ying-Xue, Yu Shao-Hong, Liu Xu, Lin Xiu-Quan, Chen Hong-Dan, Fang Xuan, Ma Tao, Li Ya-Qing, Li Ying, Li Chun-Yan, Zhang Sheng, Chen Xiao-Geng, Guo Xiao-Jing, Zhang Jin

机构信息

The Third Department of Breast Cancer, Tianjin Medical University Cancer Institute and Hospital, National Clinical Research Center for Cancer, Tianjin, China.

Key Laboratory of Cancer Prevention and Therapy, Tianjin Medical University Cancer Institute and Hospital, Tianjin, China.

出版信息

Front Oncol. 2023 Feb 16;13:1119611. doi: 10.3389/fonc.2023.1119611. eCollection 2023.

Abstract

BACKGROUND

Triple-negative breast cancer (TNBC) patients who recur at different times are associated with distinct biological characteristics and prognoses. Research on rapid-relapse TNBC (RR-TNBC) is sparse. In this study, we aimed to describe the characteristics of recurrence, predictors for relapse, and prognosis in rrTNBC patients.

METHODS

Clinicopathological data of 1584 TNBC patients from 2014 to 2016 were retrospectively reviewed. The characteristics of recurrence were compared between patients with RR-TNBC and slow relapse TNBC(SR-TNBC). All TNBC patients were randomly divided into a training set and a validation set to find predictors for rapid relapse. The multivariate logistic regression model was used to analyze the data of the training set. C-index and brier score analysis for predicting rapid relapse in the validation set was used to evaluate the discrimination and accuracy of the multivariate logistic model. Prognostic measurements were analyzed in all TNBC patients.

RESULTS

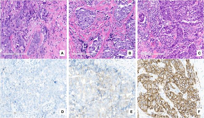
Compared with SR-TNBC patients, RR-TNBC patients tended to have a higher T staging, N staging, TNM staging, and low expression of stromal tumor-infiltrating lymphocytes (sTILs). The recurring characteristics were prone to appear as distant metastasis at the first relapse. The first metastatic site was apt to visceral metastasis and less likely to have chest wall or regional lymph node metastasis. Six predictors (postmenopausal status, metaplastic breast cancer,≥pT3 staging,≥pN1 staging, sTIL intermediate/high expression, and Her2 [1+]) were used to construct the predictive model of rapid relapse in TNBC patients. The C-index and brier score in the validation set was 0.861 and 0.095, respectively. This suggested that the predictive model had high discrimination and accuracy. The prognostic data for all TNBC patients showed that RR-TNBC patients had the worst prognosis, followed by SR-TNBC patients.

CONCLUSION

RR-TNBC patients were associated with unique biological characteristics and worse outcomes compared to non-RR-TNBC patients.

摘要

背景

不同时间复发的三阴性乳腺癌(TNBC)患者具有不同的生物学特征和预后。关于快速复发三阴性乳腺癌(RR-TNBC)的研究较少。在本研究中,我们旨在描述RR-TNBC患者的复发特征、复发预测因素及预后。

方法

回顾性分析2014年至2016年1584例TNBC患者的临床病理资料。比较RR-TNBC患者和缓慢复发三阴性乳腺癌(SR-TNBC)患者的复发特征。将所有TNBC患者随机分为训练集和验证集,以寻找快速复发的预测因素。使用多因素逻辑回归模型分析训练集数据。通过验证集中预测快速复发的C指数和Brier评分分析来评估多因素逻辑模型的区分度和准确性。对所有TNBC患者进行预后评估。

结果

与SR-TNBC患者相比,RR-TNBC患者往往具有更高的T分期、N分期、TNM分期,且基质肿瘤浸润淋巴细胞(sTILs)低表达。复发特征倾向于首次复发时出现远处转移。首个转移部位易于发生内脏转移,而胸壁或区域淋巴结转移的可能性较小。使用六个预测因素(绝经状态、化生性乳腺癌、≥pT3分期、≥pN1分期、sTIL中等/高表达和Her2[1+])构建TNBC患者快速复发的预测模型。验证集中的C指数和Brier评分分别为0.861和0.095。这表明该预测模型具有较高的区分度和准确性。所有TNBC患者的预后数据显示,RR-TNBC患者预后最差其次是SR-TNBC患者。

结论

与非RR-TNBC患者相比,RR-TNBC患者具有独特的生物学特征且预后更差。

https://cdn.ncbi.nlm.nih.gov/pmc/blobs/358b/9978400/7de2a6945312/fonc-13-1119611-g001.jpg

文献AI研究员

20分钟写一篇综述,助力文献阅读效率提升50倍。

立即体验

用中文搜PubMed

大模型驱动的PubMed中文搜索引擎

马上搜索

文档翻译

学术文献翻译模型,支持多种主流文档格式。

立即体验