Suppr超能文献

含Jumonji结构域蛋白D3及其抑制剂GSK-J4在桥本甲状腺炎中的作用

Role of Jumonji domain-containing protein D3 and its inhibitor GSK-J4 in Hashimoto's thyroiditis.

作者信息

Lu Xixuan, Liu Ying, Xu Li, Liang Haiyan, Zhou Xiaoli, Lei Hong, Sha Liping

机构信息

Department of Endocrinology, Cardiovascular and Cerebrovascular Disease Hospital, General Hospital of Ningxia Medical University, No. 804, Shengli South Street, Xingqing District, Yinchuan 750004, Ningxia, China.

Department of Radiology, The 942th Hospital of the People's Liberation Army Joint Logistics Support Force, Yinchuan, Ningxia, China.

出版信息

Open Med (Wars). 2023 Mar 1;18(1):20230659. doi: 10.1515/med-2023-0659. eCollection 2023.

Abstract

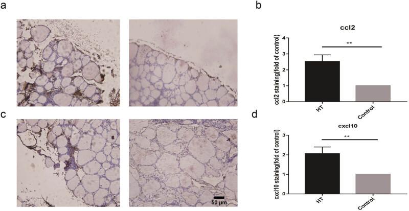
Hashimoto's thyroiditis (HT) is an autoimmune illness caused by a combination of genetic, epigenetic, and environmental factors. The pathogenesis of HT is not fully elucidated, especially in epigenetics. The epigenetic regulator Jumonji domain-containing protein D3 (JMJD3) has been extensively investigated in immunological disorders. This study has been performed to explore the roles and potential mechanisms of JMJD3 in HT. Thyroid samples from patients and healthy subjects were collected. We first analyzed the expression of JMJD3 and chemokines in the thyroid gland using real-time PCR and immunohistochemistry. , the apoptosis effect of the JMJD3-specific inhibitor GSK-J4 on the thyroid epithelial cell line Nthy-ori 3-1 was evaluated using FITC Annexin V Detection kit. Reverse transcription-polymerase chain reaction and Western blotting were applied to examine the inhibitory effect of GSK-J4 on the inflammation of thyrocytes. In the thyroid tissue of HT patients, JMJD3 messenger RNA and protein levels were substantially greater than in controls ( < 0.05). Chemokines C-X-C motif chemokine ligand 10 (CXCL10) and C-C motif chemokine ligand 2 (CCL2) were elevated in HT patients, and thyroid cells with stimulation of tumor necrosis factor α (TNF-α). GSK-J4 could suppress TNF-α-induced synthesis of chemokines CXCL10 and CCL2 and prohibit thyrocyte apoptosis. Our results shed light on the potential role of JMJD3 in HT and indicate that JMJD3 may become a novel therapeutic target in HT treatment and prevention.

摘要

桥本甲状腺炎(HT)是一种由遗传、表观遗传和环境因素共同作用引起的自身免疫性疾病。HT的发病机制尚未完全阐明,尤其是在表观遗传学方面。含Jumonji结构域蛋白D3(JMJD3)这一表观遗传调节因子已在免疫紊乱中得到广泛研究。本研究旨在探讨JMJD3在HT中的作用及潜在机制。收集了患者和健康受试者的甲状腺样本。我们首先使用实时PCR和免疫组织化学分析了甲状腺中JMJD3和趋化因子的表达。 ,使用FITC膜联蛋白V检测试剂盒评估JMJD3特异性抑制剂GSK-J4对甲状腺上皮细胞系Nthy-ori 3-1的凋亡作用。应用逆转录-聚合酶链反应和蛋白质印迹法检测GSK-J4对甲状腺细胞炎症的抑制作用。在HT患者的甲状腺组织中,JMJD3信使核糖核酸和蛋白质水平显著高于对照组(<0.05)。趋化因子C-X-C基序趋化因子配体10(CXCL10)和C-C基序趋化因子配体2(CCL2)在HT患者中升高,并且甲状腺细胞受到肿瘤坏死因子α(TNF-α)刺激。GSK-J4可以抑制TNF-α诱导的趋化因子CXCL10和CCL2的合成,并阻止甲状腺细胞凋亡。我们的研究结果揭示了JMJD3在HT中的潜在作用,并表明JMJD3可能成为HT治疗和预防的新治疗靶点。

https://cdn.ncbi.nlm.nih.gov/pmc/blobs/e9df/9979002/cf8653d09770/j_med-2023-0659-fig001.jpg

文献AI研究员

20分钟写一篇综述,助力文献阅读效率提升50倍。

立即体验

用中文搜PubMed

大模型驱动的PubMed中文搜索引擎

马上搜索

文档翻译

学术文献翻译模型,支持多种主流文档格式。

立即体验