Suppr超能文献

粘蛋白家族蛋白:作为结肠癌潜在生物标志物的候选物

The Mucin Family of Proteins: Candidates as Potential Biomarkers for Colon Cancer.

作者信息

Cox Kristin E, Liu Shanglei, Lwin Thinzar M, Hoffman Robert M, Batra Surinder K, Bouvet Michael

机构信息

Department of Surgery, University of California San Diego, La Jolla, CA 92037, USA.

VA San Diego Healthcare System, La Jolla, CA 92161, USA.

出版信息

Cancers (Basel). 2023 Feb 27;15(5):1491. doi: 10.3390/cancers15051491.

Abstract

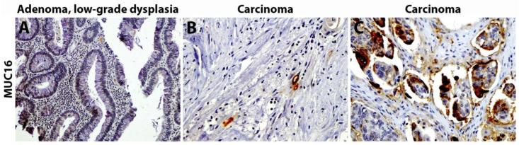
Mucins (MUC1-MUC24) are a family of glycoproteins involved in cell signaling and barrier protection. They have been implicated in the progression of numerous malignancies including gastric, pancreatic, ovarian, breast, and lung cancer. Mucins have also been extensively studied with respect to colorectal cancer. They have been found to have diverse expression profiles amongst the normal colon, benign hyperplastic polyps, pre-malignant polyps, and colon cancers. Those expressed in the normal colon include MUC2, MUC3, MUC4, MUC11, MUC12, MUC13, MUC15 (at low levels), and MUC21. Whereas MUC5, MUC6, MUC16, and MUC20 are absent from the normal colon and are expressed in colorectal cancers. MUC1, MUC2, MUC4, MUC5AC, and MUC6 are currently the most widely covered in the literature regarding their role in the progression from normal colonic tissue to cancer.

摘要

黏蛋白(MUC1 - MUC24)是一族参与细胞信号传导和屏障保护的糖蛋白。它们与包括胃癌、胰腺癌、卵巢癌、乳腺癌和肺癌在内的多种恶性肿瘤的进展有关。关于结直肠癌,黏蛋白也得到了广泛研究。人们发现它们在正常结肠、良性增生性息肉、癌前息肉和结肠癌中的表达谱各不相同。在正常结肠中表达的有MUC2、MUC3、MUC4、MUC11、MUC12、MUC13、MUC15(低水平)和MUC21。而MUC5、MUC6、MUC16和MUC20在正常结肠中不存在,在结直肠癌中表达。目前,关于MUC1、MUC2、MUC4、MUC5AC和MUC6在从正常结肠组织发展到癌症过程中的作用,在文献中报道最为广泛。

https://cdn.ncbi.nlm.nih.gov/pmc/blobs/6a85/10000725/9877e7466f55/cancers-15-01491-g003.jpg

文献AI研究员

20分钟写一篇综述,助力文献阅读效率提升50倍。

立即体验

用中文搜PubMed

大模型驱动的PubMed中文搜索引擎

马上搜索

文档翻译

学术文献翻译模型,支持多种主流文档格式。

立即体验