Suppr超能文献

在肾上皮细胞中失活会导致小鼠出现类似婴儿型肾单位肾痨的表型。

Inactivation of / in renal epithelial cells drives infantile nephronophthisis like phenotypes in mouse.

机构信息

Department of Genetics, Yale University School of Medicine, New Haven, United States.

Department of Pediatrics, Yale University School of Medicine, New Haven, United States.

出版信息

Elife. 2023 Mar 15;12:e82395. doi: 10.7554/eLife.82395.

Abstract

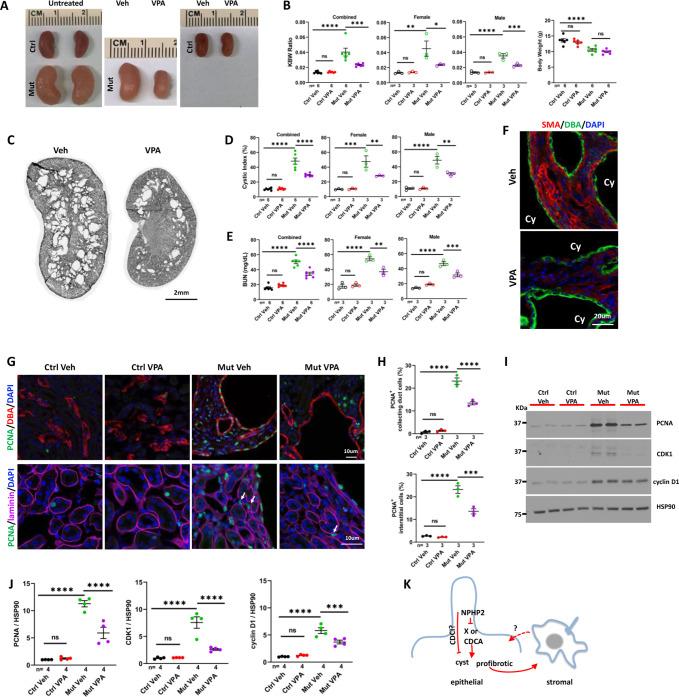
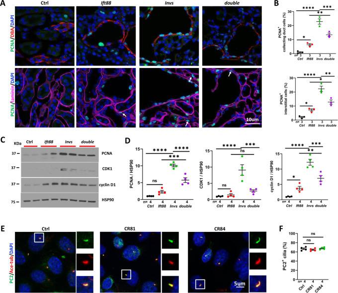
Nephronophthisis (NPHP) is a ciliopathy characterized by renal fibrosis and cyst formation, and accounts for a significant portion of end stage renal disease in children and young adults. Currently, no targeted therapy is available for this disease. is one of the over 25 NPHP genes identified to date. In mouse, global knockout of leads to renal fibrosis and cysts. However, the precise contribution of different cell types and the relationship between epithelial cysts and interstitial fibrosis remains undefined. Here, we generated and characterized cell-type-specific knockout mouse models of , investigated the impact of removing cilia genetically on phenotype severity in mutants and evaluated the impact of the histone deacetylase inhibitor valproic acid (VPA) on mutants. Epithelial-specific knockout of in mutant mice resulted in renal cyst formation and severe stromal fibrosis, while mice, where is deleted in stromal cells, displayed no observable phenotypes up to the young adult stage, highlighting a significant role of epithelial-stromal crosstalk. Further, increased cell proliferation and myofibroblast activation occurred early during disease progression and preceded detectable cyst formation in the kidney. Moreover, concomitant removal of cilia partially suppressed the phenotypes of the mutant kidney, supporting a significant interaction of cilia and function in vivo. Finally, VPA reduced cyst burden, decreased cell proliferation and ameliorated kidney function decline in mutant mice. Our results reveal the critical role of renal epithelial cilia in NPHP and suggest the possibility of repurposing VPA for NPHP treatment.

摘要

肾单位肾痨(NPHP)是一种纤毛病,其特征为肾纤维化和囊肿形成,占儿童和青年终末期肾病的很大一部分。目前,针对这种疾病尚无靶向治疗方法。 是迄今为止鉴定出的超过 25 个 NPHP 基因之一。在小鼠中, 的全局敲除导致肾纤维化和囊肿。然而,不同细胞类型的确切贡献以及上皮囊肿和间质纤维化之间的关系仍未确定。在这里,我们生成并表征了 的细胞类型特异性敲除小鼠模型,研究了在 突变体中通过基因去除纤毛对表型严重程度的影响,并评估了组蛋白去乙酰化酶抑制剂丙戊酸(VPA)对 突变体的影响。在 突变小鼠中,上皮细胞特异性敲除 导致肾囊肿形成和严重的间质纤维化,而 小鼠中,基质细胞中缺失 ,在年轻成年阶段之前未观察到明显的表型,这突出了上皮-基质细胞相互作用的重要性。此外,在疾病进展过程中早期发生细胞增殖和肌成纤维细胞激活,且在 肾脏中可检测到囊肿形成之前就已经发生了这些现象。此外,纤毛的同时去除部分抑制了 突变肾脏的表型,支持纤毛和 在体内的功能存在显著相互作用。最后,VPA 降低了 突变小鼠的囊肿负担,减少了细胞增殖并改善了肾功能下降。我们的结果揭示了肾脏上皮纤毛在 NPHP 中的关键作用,并提示了重新利用 VPA 治疗 NPHP 的可能性。

https://cdn.ncbi.nlm.nih.gov/pmc/blobs/5320/10154023/cf45c2791bb5/elife-82395-fig1.jpg

文献AI研究员

20分钟写一篇综述,助力文献阅读效率提升50倍。

立即体验

用中文搜PubMed

大模型驱动的PubMed中文搜索引擎

马上搜索

文档翻译

学术文献翻译模型,支持多种主流文档格式。

立即体验