Suppr超能文献

雌核发育异源二倍体杂交鱼中联会复合体的形成

Formation of the synaptonemal complex in a gynogenetic allodiploid hybrid fish.

作者信息

Wang Jing, Wang Wen, Li Jihong, Zhang Yirui, Luo Kaikun, Han Linmei, Xiang Caixia, Chai Mingli, Luo Ziye, Zhao Rurong, Liu Shaojun

机构信息

State Key Laboratory of Developmental Biology of Freshwater Fish, College of Life Sciences, Hunan Normal University, Changsha, China.

出版信息

Front Genet. 2023 Feb 27;14:998775. doi: 10.3389/fgene.2023.998775. eCollection 2023.

Abstract

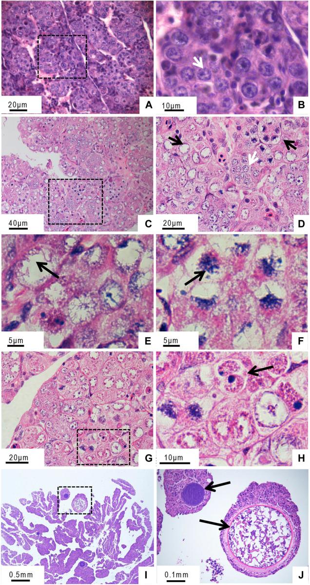
The correct pairing and separation of homologous chromosomes during meiosis is crucial to ensure both genetic stability and genetic diversity within species. In allodiploid organisms, synapsis often fails, leading to sterility. However, a gynogenetic allodiploid hybrid clone line (GDH), derived by crossing red crucian carp ( ♀) and common carp ( ♂), stably produces diploid eggs. Because the GDH line carries 100 chromosomes with 50 chromosomes from the red crucian carp (RCC; ♀, 2n = 2x = 100) and 50 chromosomes from the common carp (CC; L., ♂, 2n = 2x = 100), it is interesting to study the mechanisms of homologous chromosome pairing during meiosis in GDH individuals. By using fluorescence hybridization (FISH) with a probe specific to the red crucian carp to label homologous chromosomes, we identified the synaptonemal complex immunofluorescence assay of synaptonemal complex protein 3 (SCP3). FISH results indicated that, during early ovarian development, the GDH oogonium had two sets of chromosomes with only one set from leading to the failure formation of normal bivalents and the subsequently blocking of meiosis. This inhibition lasted at least 5 months. After this long period of inhibition, pairs of germ cells fused, doubling the chromosomes such that the oocyte contained two sets of chromosomes from each parent. After chromosome doubling at 10 months old, homologous chromosomes and the synaptonemal complex were identified. Causally, meiosis proceeded normally and eventually formed diploid germ cells. These results further clarify the mechanisms by which meiosis proceeds in hybrids.

摘要

减数分裂过程中同源染色体的正确配对和分离对于确保物种内的遗传稳定性和遗传多样性至关重要。在异源二倍体生物中,联会常常失败,导致不育。然而,通过红鲫(♀)和鲤鱼(♂)杂交获得的雌核发育异源二倍体杂交克隆系(GDH)能稳定产生二倍体卵子。由于GDH系携带100条染色体,其中50条来自红鲫(RCC;♀,2n = 2x = 100),50条来自鲤鱼(CC;L.,♂,2n = 2x = 100),因此研究GDH个体减数分裂过程中同源染色体配对的机制很有意思。通过使用针对红鲫的特异性探针进行荧光原位杂交(FISH)来标记同源染色体,我们鉴定了联会复合体蛋白3(SCP3)的联会复合体免疫荧光测定。FISH结果表明,在卵巢早期发育过程中,GDH卵原细胞有两组染色体,但只有一组来自红鲫,导致正常二价体无法形成,随后减数分裂受阻。这种抑制至少持续了5个月。在长时间抑制之后,成对的生殖细胞融合,染色体加倍,使得卵母细胞包含来自每个亲本的两组染色体。在10月龄染色体加倍后,鉴定出同源染色体和联会复合体。相应地,减数分裂正常进行,最终形成二倍体生殖细胞。这些结果进一步阐明了杂种中减数分裂的进行机制。

https://cdn.ncbi.nlm.nih.gov/pmc/blobs/d962/10009232/9360de7ee3c5/fgene-14-998775-g001.jpg

文献AI研究员

20分钟写一篇综述,助力文献阅读效率提升50倍。

立即体验

用中文搜PubMed

大模型驱动的PubMed中文搜索引擎

马上搜索

文档翻译

学术文献翻译模型,支持多种主流文档格式。

立即体验