Suppr超能文献

RBFOX2 调节胰腺癌中可变剪接的转移特征。

RBFOX2 modulates a metastatic signature of alternative splicing in pancreatic cancer.

机构信息

Department of Biochemistry and Molecular Biology, Institute for Medical Research Israel-Canada, Hebrew University-Hadassah Medical School, Jerusalem, Israel.

Cold Spring Harbor Laboratory, Cold Spring Harbor, NY, USA.

出版信息

Nature. 2023 May;617(7959):147-153. doi: 10.1038/s41586-023-05820-3. Epub 2023 Mar 22.

Abstract

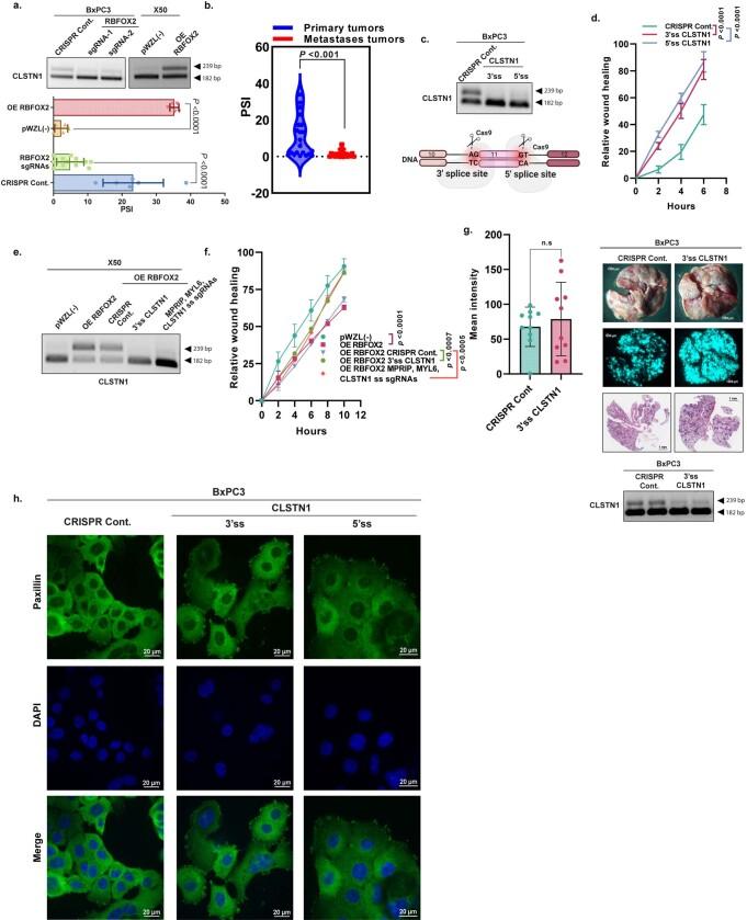
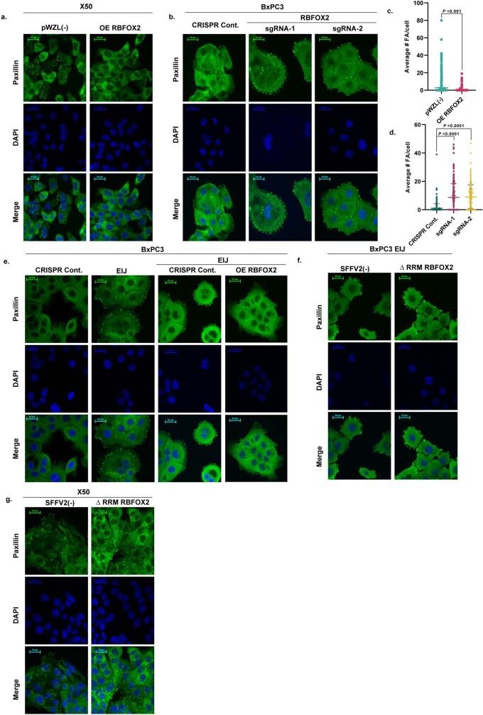
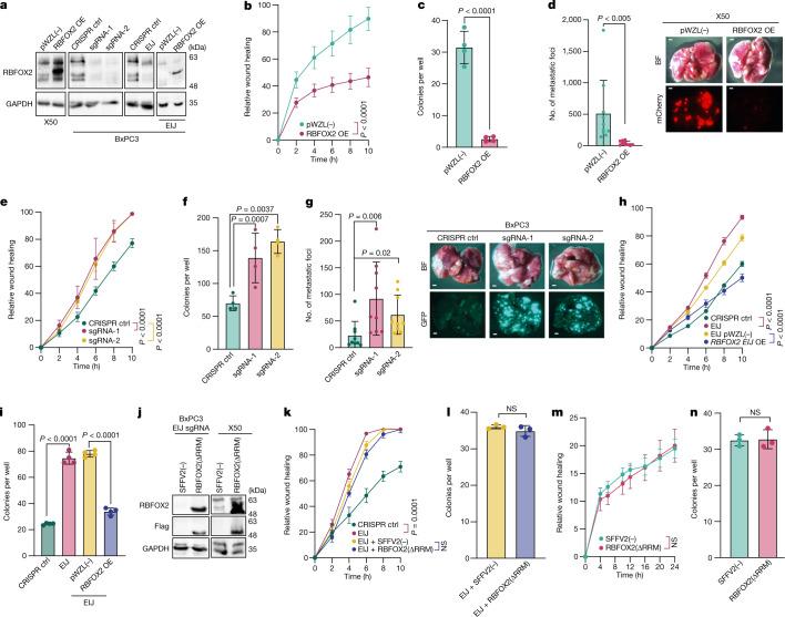
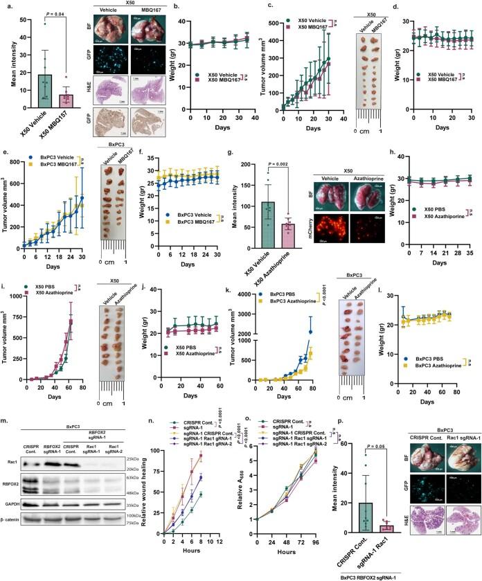
Pancreatic ductal adenocarcinoma (PDA) is characterized by aggressive local invasion and metastatic spread, leading to high lethality. Although driver gene mutations during PDA progression are conserved, no specific mutation is correlated with the dissemination of metastases. Here we analysed RNA splicing data of a large cohort of primary and metastatic PDA tumours to identify differentially spliced events that correlate with PDA progression. De novo motif analysis of these events detected enrichment of motifs with high similarity to the RBFOX2 motif. Overexpression of RBFOX2 in a patient-derived xenograft (PDX) metastatic PDA cell line drastically reduced the metastatic potential of these cells in vitro and in vivo, whereas depletion of RBFOX2 in primary pancreatic tumour cell lines increased the metastatic potential of these cells. These findings support the role of RBFOX2 as a potent metastatic suppressor in PDA. RNA-sequencing and splicing analysis of RBFOX2 target genes revealed enrichment of genes in the RHO GTPase pathways, suggesting a role of RBFOX2 splicing activity in cytoskeletal organization and focal adhesion formation. Modulation of RBFOX2-regulated splicing events, such as via myosin phosphatase RHO-interacting protein (MPRIP), is associated with PDA metastases, altered cytoskeletal organization and the induction of focal adhesion formation. Our results implicate the splicing-regulatory function of RBFOX2 as a tumour suppressor in PDA and suggest a therapeutic approach for metastatic PDA.

摘要

胰腺导管腺癌 (PDA) 的特征是侵袭性局部浸润和转移性扩散,导致高致死率。尽管 PDA 进展过程中的驱动基因突变是保守的,但没有特定的突变与转移的扩散相关。在这里,我们分析了大量原发性和转移性 PDA 肿瘤的 RNA 剪接数据,以确定与 PDA 进展相关的差异剪接事件。对这些事件进行的从头 motif 分析检测到富含与 RBFOX2 motif 高度相似的 motif 的富集。在一个源自患者的异种移植 (PDX) 转移性 PDA 细胞系中过表达 RBFOX2,大大降低了这些细胞在体外和体内的转移潜力,而在原发性胰腺肿瘤细胞系中耗尽 RBFOX2 则增加了这些细胞的转移潜力。这些发现支持 RBFOX2 作为 PDA 中一种有效的转移抑制因子的作用。对 RBFOX2 靶基因的 RNA-seq 和剪接分析显示,RHO GTPase 途径中的基因富集,表明 RBFOX2 剪接活性在细胞骨架组织和焦点粘连形成中起作用。调节 RBFOX2 调节的剪接事件,如肌球蛋白磷酸酶 RHO 相互作用蛋白 (MPRIP),与 PDA 转移、细胞骨架组织改变和焦点粘连形成的诱导有关。我们的结果表明 RBFOX2 的剪接调节功能是 PDA 的肿瘤抑制因子,并提示了转移性 PDA 的治疗方法。

https://cdn.ncbi.nlm.nih.gov/pmc/blobs/0b76/10156590/8da2a753f673/41586_2023_5820_Fig1_HTML.jpg

文献AI研究员

20分钟写一篇综述,助力文献阅读效率提升50倍。

立即体验

用中文搜PubMed

大模型驱动的PubMed中文搜索引擎

马上搜索

文档翻译

学术文献翻译模型,支持多种主流文档格式。

立即体验