Suppr超能文献

雌激素受体-β亚型与共激活因子在乳腺癌亚型中的显著关联。

Significant Association of Estrogen Receptor-β Isoforms and Coactivators in Breast Cancer Subtypes.

作者信息

Choi Young, Pollack Simcha

机构信息

Department of Pathology, Yale School of Medicine, 434 Pine Grove Lane, Hartsdale, NY 10530, USA.

Department of Statistics, St. John's University, New York, NY 11423, USA.

出版信息

Curr Issues Mol Biol. 2023 Mar 17;45(3):2533-2548. doi: 10.3390/cimb45030166.

Abstract

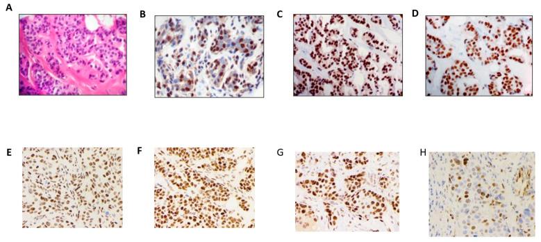
Nuclear receptor coregulators are the principal regulators of Estrogen Receptor (ER)-mediated transcription. ERβ, an ER subtype first identified in 1996, is associated with poor outcomes in breast cancer (BCa) subtypes, and the coexpression of the ERβ1 isoform and AIB-1 and TIF-2 coactivators in BCa-associated myofibroblasts is associated with high-grade BCa. We aimed to identify the specific coactivators that are involved in the progression of ERβ-expressing BCa. ERβ isoforms, coactivators, and prognostic markers were tested using standard immunohistochemistry. AIB-1, TIF-2, NF-kB, p-c-Jun, and/or cyclin D1 were differentially correlated with ERβ isoform expression in the BCa subtypes and subgroups. The coexpression of the ERβ5 and/or ERβ1 isoforms and the coactivators were found to be correlated with a high expression of P53, Ki-67, and Her2/neu and large-sized and/or high-grade tumors in BCa. Our study supports the notion that ERβ isoforms and coactivators seemingly coregulate the proliferation and progression of BCa and may provide insight into the potential therapeutic uses of the coactivators in BCa.

摘要

核受体辅调节因子是雌激素受体(ER)介导转录的主要调节因子。ERβ是1996年首次鉴定出的一种ER亚型,与乳腺癌(BCa)亚型的不良预后相关,并且BCa相关肌成纤维细胞中ERβ1亚型与AIB-1和TIF-2共激活因子的共表达与高级别BCa相关。我们旨在鉴定参与表达ERβ的BCa进展的特定共激活因子。使用标准免疫组织化学检测ERβ亚型、共激活因子和预后标志物。在BCa亚型和亚组中,AIB-1、TIF-2、NF-κB、p-c-Jun和/或细胞周期蛋白D1与ERβ亚型表达存在差异相关性。发现ERβ5和/或ERβ1亚型与共激活因子的共表达与BCa中P53、Ki-67和Her2/neu的高表达以及大尺寸和/或高级别肿瘤相关。我们的研究支持以下观点,即ERβ亚型和共激活因子似乎共同调节BCa的增殖和进展,并可能为共激活因子在BCa中的潜在治疗用途提供见解。

https://cdn.ncbi.nlm.nih.gov/pmc/blobs/d592/10047005/f87ee18f0969/cimb-45-00166-g001.jpg

文献AI研究员

20分钟写一篇综述,助力文献阅读效率提升50倍。

立即体验

用中文搜PubMed

大模型驱动的PubMed中文搜索引擎

马上搜索

文档翻译

学术文献翻译模型,支持多种主流文档格式。

立即体验