Suppr超能文献

犬乳腺肿瘤中的表观遗传学:miR-18a和miR-18b癌基因的上调与高增殖性癌中靶mRNA表达降低及ERα免疫表达降低相关。

Epigenetics in Canine Mammary Tumors: Upregulation of miR-18a and miR-18b Oncogenes Is Associated with Decreased Target mRNA Expression and ERα Immunoexpression in Highly Proliferating Carcinomas.

作者信息

Abbate Jessica Maria, Arfuso Francesca, Riolo Kristian, Capparucci Fabiano, Brunetti Barbara, Lanteri Giovanni

机构信息

Department of Veterinary Sciences, University of Messina, Polo Universitario Annunziata, 98168 Messina, Italy.

Department of Chemical, Biological, Pharmaceutical and Environmental Sciences, Polo Universitario Papardo, 98166 Messina, Italy.

出版信息

Animals (Basel). 2023 Mar 17;13(6):1086. doi: 10.3390/ani13061086.

Abstract

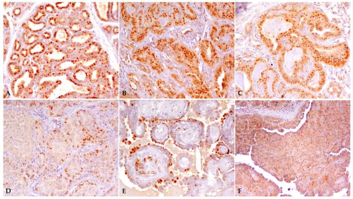
The expression of miRNAs is one of the main epigenetic mechanisms responsible for the regulation of gene expression in mammals, and in cancer, miRNAs participate by regulating the expression of protein-coding cancer-associated genes. In canine mammary tumors (CMTs), the gene encodes for ERα, and represents a major target gene for miR-18a and miR-18b, previously found to be overexpressed in mammary carcinomas. A loss in ERα expression in CMTs is commonly associated with poor prognosis, and it is noteworthy that the downregulation of the would appear to be more epigenetic than genetic in nature. In this study, the expression of mRNA in formalin-fixed, paraffin-embedded (FFPE) canine mammary tumors (CMTs) was evaluated and compared with the expression levels of miR18a and miR18b, both assessed via RT-qPCR. Furthermore, the possible correlation between the miRNA expression data and the immunohistochemical prognostic factors (ERα immunoexpression; Ki67 proliferative index) was explored. A total of twenty-six FFPE mammary samples were used, including 22 CMTs (7 benign; 15 malignant) and four control samples (three normal mammary glands and one case of lobular hyperplasia). The obtained results demonstrate that miR-18a and miR-18b are upregulated in malignant CMTs, negatively correlating with the expression of target mRNA. Of note, the upregulation of miRNAs strictly reflects the progressive loss of ERα immunoexpression and increased tumor cell proliferation as measured using the Ki67 index. The results suggest a central role of miR-18a and miR-18b in the pathophysiology of canine mammary tumors as potential epigenetic mechanisms involved in ERα downregulation. Moreover, as miRNA expression reflects ERα protein status and a high proliferative index, miR-18a and miR-18b may represent promising biomarkers with prognostic value. More detailed investigations on a larger number of cases are needed to better understand the influence of these miRNAs in canine mammary tumors.

摘要

微小RNA(miRNA)的表达是哺乳动物中负责基因表达调控的主要表观遗传机制之一,在癌症中,miRNA通过调节蛋白质编码的癌症相关基因的表达发挥作用。在犬乳腺肿瘤(CMT)中, 基因编码雌激素受体α(ERα),是之前发现的在乳腺癌中过表达的miR-18a和miR-18b的主要靶基因。CMT中ERα表达缺失通常与预后不良相关,值得注意的是, 基因的下调在本质上似乎更多是表观遗传而非遗传因素导致的。在本研究中,评估了福尔马林固定、石蜡包埋(FFPE)的犬乳腺肿瘤(CMT)中 基因mRNA的表达,并与通过逆转录定量聚合酶链反应(RT-qPCR)评估的miR18a和miR18b的表达水平进行比较。此外,还探讨了miRNA表达数据与免疫组化预后因素(ERα免疫表达;Ki67增殖指数)之间的可能相关性。总共使用了26个FFPE乳腺样本,包括22个CMT(7个良性;15个恶性)和4个对照样本(3个正常乳腺组织和1例小叶增生)。获得的结果表明,miR-18a和miR-18b在恶性CMT中上调,与靶基因 mRNA的表达呈负相关。值得注意的是,miRNA的上调严格反映了ERα免疫表达的逐渐丧失以及使用Ki67指数测量的肿瘤细胞增殖增加。结果表明,miR-18a和miR-18b在犬乳腺肿瘤的病理生理学中起核心作用,可能是参与ERα下调的潜在表观遗传机制。此外,由于miRNA表达反映了ERα蛋白状态和高增殖指数,miR-18a和miR-18b可能代表具有预后价值的有前景的生物标志物。需要对更多病例进行更详细的研究,以更好地了解这些miRNA对犬乳腺肿瘤的影响。

https://cdn.ncbi.nlm.nih.gov/pmc/blobs/4347/10044548/26804d823778/animals-13-01086-g001.jpg

文献AI研究员

20分钟写一篇综述,助力文献阅读效率提升50倍。

立即体验

用中文搜PubMed

大模型驱动的PubMed中文搜索引擎

马上搜索

文档翻译

学术文献翻译模型,支持多种主流文档格式。

立即体验