Suppr超能文献

番茄致病真菌毒素及其对人类细胞系和雄性白化大鼠的联合细胞毒性作用

Mycotoxins from Tomato Pathogenic and Their Combined Cytotoxic Effects on Human Cell Lines and Male Albino Rats.

作者信息

Ismail Ahmed Mahmoud, Elshewy Eman Said, El-Ganainy Sherif Mohamed, Magistà Donato, Hamouda Ahlam Farouk, Alhudaib Khalid A, Ebrahim Weaam, Almaghasla Mustafa I

机构信息

Department of Arid Land Agriculture, College of Agricultural and Food Sciences, King Faisal University, P.O. Box 420, Al-Ahsa 31982, Saudi Arabia.

Pests and Plant Diseases Unit, College of Agricultural and Food Sciences, King Faisal University, P.O. Box 420, Al-Ahsa 31982, Saudi Arabia.

出版信息

J Fungi (Basel). 2023 Feb 21;9(3):282. doi: 10.3390/jof9030282.

Abstract

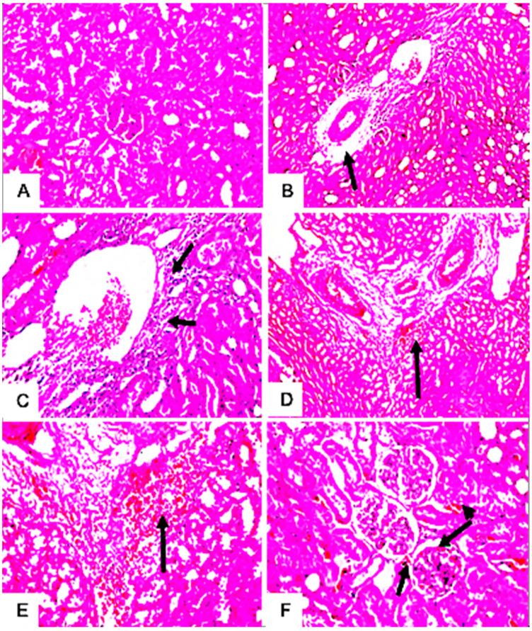
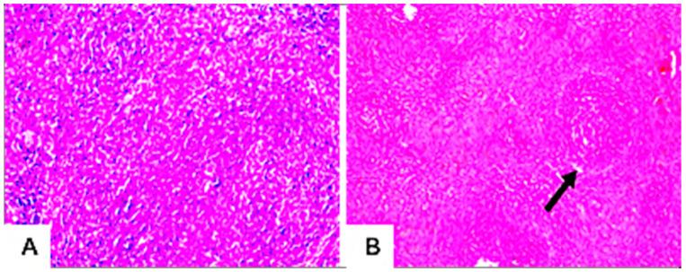
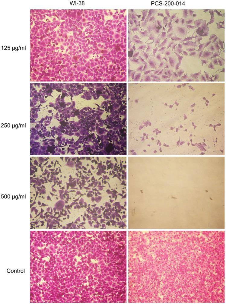
The species are considered to produce a plethora of several mycotoxins constituting a risk factor for both human and animal health. This work aimed mainly to explore the cytotoxicity of a combined mixture of altenuene (ALT), alternariol (AOH), tenuazonic acid (TeA), and altenuisol (AS) toxins produced by pathogenic toward human oral epithelial cells (PCS-200-014), lung fibroblast cells (WI-38), and male albino rats. The sequencing of the multi-locus, RNA polymerase second largest subunit (), glyceraldehyde-3-phosphate dehydrogenase (), and major allergen gene () was performed to infer relationships among isolated species. The phylogenetic analysis of , , and sequence data indicated that all isolates resided in . The pathogenic potentiality of was investigated on tomato plants cv. super strain B under greenhouse conditions, and all isolates were pathogenic to tomato plants, with significant ( 0.05) variations. The ability of isolates to produce mycotoxins was also explored using high-performance liquid chromatography (HPLC). All tested isolates were able to produce at least one of the assessed mycotoxins-ALT, AOH, TeA, and AS-and ALT was reported as the dominant mycotoxin, produced by 80% of isolates. The cytotoxic properties of the combined mixture of ALT, AOH, TeA, and AS at concentrations of 31.25, 62.50, 125, 250, and 500 µg/mL were assessed via the MTT assay method after exposure for 24 h versus the control. The treatment of both cell lines with combined mixtures of ALT, AOH, TeA, and AS showed a dose-dependent decrease in cell viability. The highest concentrations tested at 62.50, 125, 250, and 500 µg/mL significantly decreased cell viability and caused cell damage compared to the lowest concentration of 31.25 µg/mL and the control. The cytotoxicity and genotoxicity of the combined mixtures of ALT, AOH, TeA, and AS on male albino rats were also investigated via the gene expression of (TNF-α) and using hematological (CBC), chemical (alanine aminotransferase (ALT), aspartate aminotransferase (AST) and urea and creatinine), and histopathological analyses. A marked increase was observed in the levels of ALT, AST, urea and creatinine, TNF-α gene expression, red blood cells (RBCs), white blood cells (WBCs), hemoglobin (Hb), and packed cell volume % (PCV) after 28 days of exposure relative to the untreated control. Pathological alterations were also observed in the liver and kidney tissues of rats. Conclusively, this work provides a new understanding on the cytotoxicity and genotoxicity of mycotoxins of pathogenic from tomatoes.

摘要

这些物种被认为会产生大量的几种霉菌毒素,对人类和动物健康构成风险因素。这项工作主要旨在探索由致病的链格孢属真菌产生的互隔交链孢酚(ALT)、交链孢酚(AOH)、细交链孢菌酮酸(TeA)和互隔交链孢酚单甲醚(AS)毒素的组合混合物对人口腔上皮细胞(PCS - 200 - 014)、肺成纤维细胞(WI - 38)和雄性白化大鼠的细胞毒性。进行了多基因座、RNA聚合酶第二大亚基()、甘油醛 - 3 - 磷酸脱氢酶()和主要过敏原基因()的测序,以推断分离出的链格孢属真菌之间的关系。对、和序列数据的系统发育分析表明,所有分离株都属于。在温室条件下,对番茄品种超级B株系研究了链格孢属真菌的致病潜力,所有分离株对番茄植株都有致病性,且存在显著(P < 0.05)差异。还使用高效液相色谱法(HPLC)探索了链格孢属真菌分离株产生霉菌毒素的能力。所有测试的分离株都能够产生至少一种评估的霉菌毒素——ALT、AOH、TeA和AS——并且ALT被报告为主要的霉菌毒素,80%的链格孢属真菌分离株产生该毒素。在暴露24小时后,通过MTT法评估了浓度为31.25、62.50、125、250和500μg/mL的ALT、AOH、TeA和AS组合混合物的细胞毒性,与对照组相比。用ALT、AOH、TeA和AS的组合混合物处理两种细胞系均显示细胞活力呈剂量依赖性下降。与最低浓度31.25μg/mL和对照组相比,在62.50、125、250和500μg/mL测试的最高浓度显著降低了细胞活力并导致细胞损伤。还通过(TNF - α)的基因表达以及血液学(全血细胞计数(CBC))、化学(丙氨酸氨基转移酶(ALT)、天冬氨酸氨基转移酶(AST)以及尿素和肌酐)和组织病理学分析,研究了ALT、AOH、TeA和AS组合混合物对雄性白化大鼠的细胞毒性和遗传毒性。与未处理的对照组相比,暴露28天后观察到ALT、AST、尿素和肌酐水平、TNF - α基因表达、红细胞(RBC)、白细胞(WBC)、血红蛋白(Hb)和血细胞压积百分比(PCV)显著增加。在大鼠的肝脏和肾脏组织中也观察到了病理改变。总之,这项工作为来自番茄的致病链格孢属真菌霉菌毒素的细胞毒性和遗传毒性提供了新的认识。

https://cdn.ncbi.nlm.nih.gov/pmc/blobs/6921/10054162/67dc60f47adb/jof-09-00282-g001.jpg

文献AI研究员

20分钟写一篇综述,助力文献阅读效率提升50倍。

立即体验

用中文搜PubMed

大模型驱动的PubMed中文搜索引擎

马上搜索

文档翻译

学术文献翻译模型,支持多种主流文档格式。

立即体验