Suppr超能文献

人月经血来源的干细胞通过过度激活线粒体自噬逆转肝癌细胞对索拉非尼的耐药性。

Human menstrual blood-derived stem cells reverse sorafenib resistance in hepatocellular carcinoma cells through the hyperactivation of mitophagy.

机构信息

State Key Laboratory for Diagnosis and Treatment of Infectious Diseases, National Clinical Research Center for Infectious Diseases, National Medical Center for Infectious Diseases, Collaborative Innovation Center for Diagnosis and Treatment of Infectious Diseases, The First Affiliated Hospital, Zhejiang University School of Medicine, Hangzhou, 310003, China.

Research Units of Infectious Disease and Microecology, Chinese Academy of Medical Sciences, Beijing, 100730, China.

出版信息

Stem Cell Res Ther. 2023 Apr 1;14(1):58. doi: 10.1186/s13287-023-03278-8.

Abstract

BACKGROUND

Sorafenib is a first-line drug targeting the RTK-MAPK signalling pathway used to treat advanced hepatocellular carcinoma (HCC). However, tumour cells readily develop sorafenib resistance, limiting long-term therapy with this drug. In our previous study, we found that human menstrual blood-derived stem cells (MenSCs) altered the expression of some sorafenib resistance-associated genes in HCC cells. Therefore, we wanted to further explore the feasibility of MenSC-based combination therapy in treating sorafenib-resistant HCC (HCC-SR) cells.

METHODS

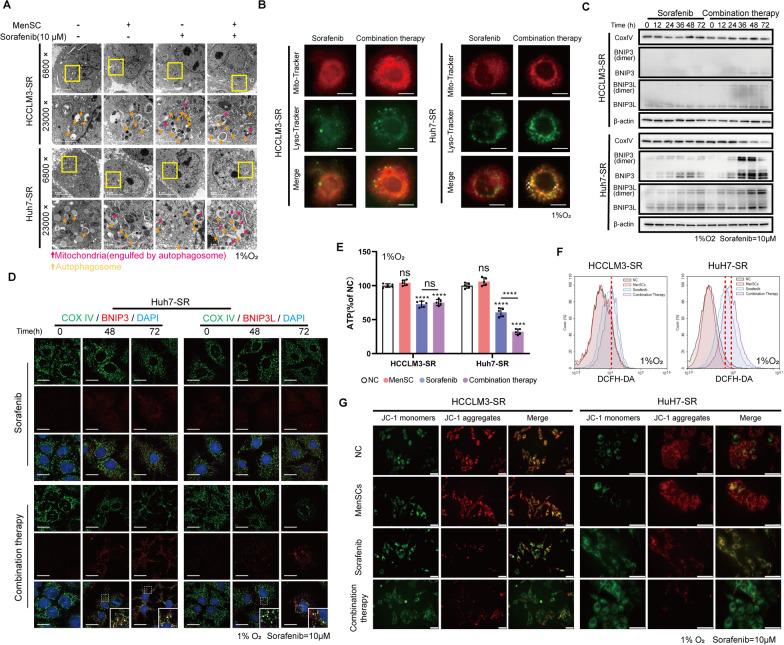
The therapeutic efficiency of sorafenib was determined using CCK-8 (Cell Counting Kit-8), Annexin V/PI and clone formation assays in vitro and a xenograft mouse model in vivo. DNA methylation was determined using RT‒PCR and methylated DNA immunoprecipitation (MeDIP). Autophagy was detected by measuring LC3-II degradation and autophagosome maturation. Transmission electron microscopy identified autophagosomes and mitochondria. Physiological functions of mitochondria were assessed by measuring the ATP content, reactive oxygen species (ROS) generation, and mitochondrial membrane potential (MMP).

RESULTS

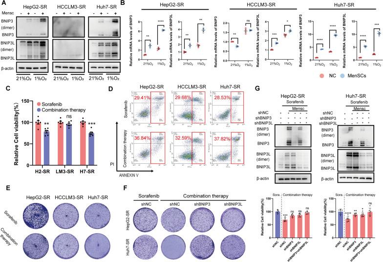
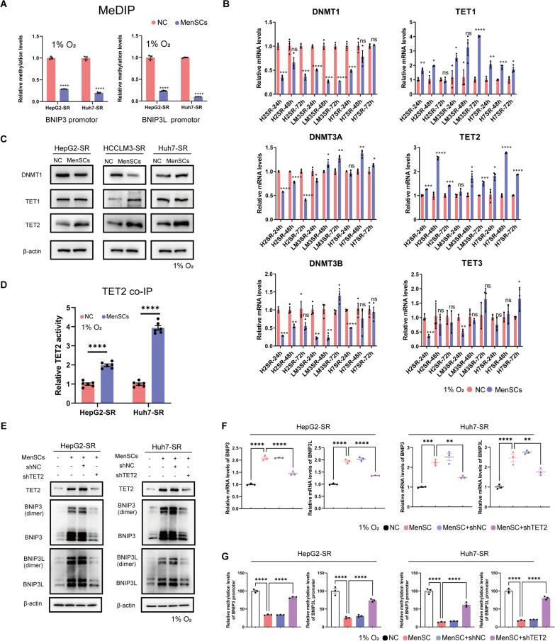
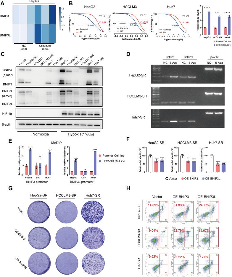
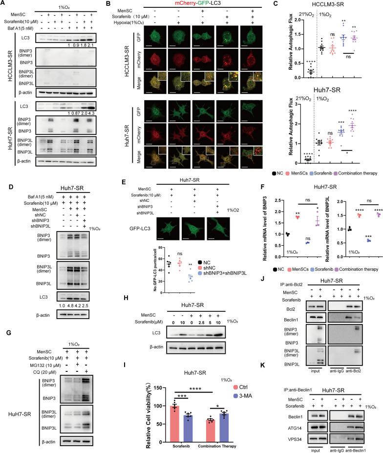
The tumour suppressor genes BCL2 interacting protein 3 (BNIP3) and BCL2 interacting protein 3 like (BNIP3L) were silenced by promoter methylation and that BNIP3 and BNIP3L levels correlated negatively with sorafenib resistance in HCC-SR cells. Strikingly, MenSCs reversed sorafenib resistance. MenSCs upregulated BNIP3 and BNIP3L expression in HCC-SR cells via tet methylcytosine dioxygenase 2 (TET2)-mediated active demethylation. In HCC-SR cells receiving sorafenib and MenSC combination therapy, pressure from sorafenib and elevated BNIP3 and BNIP3L levels disrupted balanced autophagy. Hyperactivation of mitophagy significantly caused severe mitochondrial dysfunction and eventually led to the autophagic death of HCC-SR cells.

CONCLUSIONS

Our research suggests that combining sorafenib and MenSCs may be a potentially new strategy to reverse sorafenib resistance in HCC-SR cells.

摘要

背景

索拉非尼是一种针对 RTK-MAPK 信号通路的一线药物,用于治疗晚期肝细胞癌(HCC)。然而,肿瘤细胞很容易产生索拉非尼耐药性,限制了该药物的长期治疗。在我们之前的研究中,我们发现人月经血源性干细胞(MenSCs)改变了 HCC 细胞中一些与索拉非尼耐药相关基因的表达。因此,我们希望进一步探索基于 MenSC 的联合治疗在治疗索拉非尼耐药性 HCC(HCC-SR)细胞中的可行性。

方法

通过 CCK-8(细胞计数试剂盒-8)、Annexin V/PI 和克隆形成实验以及体内异种移植小鼠模型,在体外和体内确定索拉非尼的治疗效率。通过 RT-PCR 和甲基化 DNA 免疫沉淀(MeDIP)测定 DNA 甲基化。通过测量 LC3-II 降解和自噬体成熟来检测自噬。透射电子显微镜鉴定自噬体和线粒体。通过测量 ATP 含量、活性氧(ROS)生成和线粒体膜电位(MMP)来评估线粒体的生理功能。

结果

肿瘤抑制基因 BCL2 相互作用蛋白 3(BNIP3)和 BCL2 相互作用蛋白 3 样(BNIP3L)被启动子甲基化沉默,并且 BNIP3 和 BNIP3L 水平与 HCC-SR 细胞中的索拉非尼耐药性呈负相关。令人惊讶的是,MenSCs 逆转了索拉非尼耐药性。MenSCs 通过四甲基环二鸟苷酸 2(TET2)介导的活性去甲基化,上调 HCC-SR 细胞中的 BNIP3 和 BNIP3L 表达。在接受索拉非尼和 MenSC 联合治疗的 HCC-SR 细胞中,索拉非尼的压力和 BNIP3 和 BNIP3L 水平的升高破坏了平衡的自噬。过度激活的线粒体自噬导致严重的线粒体功能障碍,最终导致 HCC-SR 细胞的自噬性死亡。

结论

我们的研究表明,索拉非尼联合 MenSCs 可能是一种潜在的新策略,可以逆转 HCC-SR 细胞中的索拉非尼耐药性。

https://cdn.ncbi.nlm.nih.gov/pmc/blobs/90e9/10068152/9fca5cb73b31/13287_2023_3278_Fig1_HTML.jpg

文献AI研究员

20分钟写一篇综述,助力文献阅读效率提升50倍。

立即体验

用中文搜PubMed

大模型驱动的PubMed中文搜索引擎

马上搜索

文档翻译

学术文献翻译模型,支持多种主流文档格式。

立即体验