Suppr超能文献

几种植物精油对呼吸道病原体影响的微生物学研究。

Microbiological Studies on the Influence of Essential Oils from Several Species on Respiratory Pathogens.

机构信息

Department of Pharmacognosy with the Medicinal Plant Garden, Medical University of Lublin, 20-093 Lublin, Poland.

Department of Pharmacognosy, Faculty of Pharmacy, University of Pécs, 7624 Pécs, Hungary.

出版信息

Molecules. 2023 Mar 29;28(7):3044. doi: 10.3390/molecules28073044.

Abstract

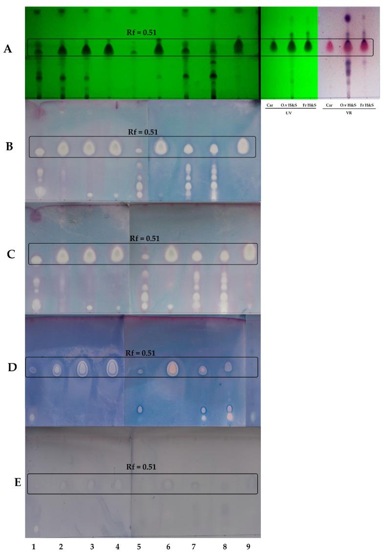
Essential oils (EOs) with established and well-known activities against human pathogens might become new therapeutics in multidrug-resistant bacterial infections, including respiratory tract infections. The aim of this study was to evaluate the antimicrobial activity of EOs obtained from several samples of , and cultivated in Poland. EOs were analyzed by GC-MS and tested against four bacterial strains: (MRSA), , and . Chemical analyses showed that the Eos were characterized by a high diversity in composition. Based on the chemical data, four chemotypes of EOs were confirmed. These were carvacrol, terpineol/sabinene hydrate, caryophyllene oxide, and thymol chemotypes. Thin-layer chromatography-bioautography confirmed the presence of biologically active antibacterial components in all tested EOs. The highest number of active spots were found among EOs with -sabinene hydrate as the major compound. On the other hand, the largest spots of inhibition were characteristic to EOs of the carvacrol chemotype. Minimal inhibitory concentrations (MICs) were evaluated for the most active EOs: 'Hirtum', 'Margarita', 'Hot & Spicy', , and (I) and (II); it was shown that both strains were the most sensitive with an MIC value of 0.15 mg/mL for all EOs. EO was also the most active in the MIC assay and had the highest inhibitory rate in the anti-biofilm assay against all strains. The most characteristic components present in this EO were the -sabinene hydrate and terpinen-4-ol. The strain with the least sensitivity was the MRSA with an MIC of 0.6 mg/mL for all EOs except for where the MIC value reached 0.3 mg/mL. Scanning electron microscopy performed on the and biofilms showed a visible decrease in the appearance of bacterial clusters under the influence of EO.

摘要

精油(EOs)对人体病原体具有既定和公认的活性,可能成为治疗多重耐药细菌感染(包括呼吸道感染)的新疗法。本研究旨在评估从在波兰种植的几种 、 和 样本中获得的精油的抗菌活性。通过 GC-MS 对 EOs 进行了分析,并对四种细菌菌株进行了测试: (MRSA)、 、 和 。化学分析表明,EOs 的组成具有高度多样性。基于化学数据,确认了四种 EOs 的化学型。它们分别是香芹酚、萜品醇/水合松油烯、石竹烯氧化物和百里香酚化学型。薄层层析-生物自显影法证实了所有测试的 EOs 中都存在具有生物活性的抗菌成分。在主要化合物为 -水合松油烯的 EOs 中发现了最多的活性斑点。另一方面,对香芹酚化学型的 EOs 具有最大的抑制斑点。对最活跃的 EOs 进行了最小抑菌浓度(MIC)评估:'Hirtum'、'Margarita'、'Hot & Spicy'、 和 (I)和(II);结果表明,两种 菌株对所有 EOs 的敏感性最高,MIC 值为 0.15 mg/mL。 精油在 MIC 测定中也最活跃,在针对所有菌株的抗生物膜测定中具有最高的抑制率。该 EO 中存在的最特征性成分是 -水合松油烯和萜品烯-4-醇。除 精油的 MIC 值达到 0.3 mg/mL 外,MRSA 菌株对所有 EOs 的敏感性最低,MIC 值为 0.6 mg/mL。对 和 生物膜进行扫描电子显微镜检查显示,在 EO 的影响下,细菌簇的外观明显减少。

https://cdn.ncbi.nlm.nih.gov/pmc/blobs/4dde/10096388/d965783614e4/molecules-28-03044-g001.jpg

文献AI研究员

20分钟写一篇综述,助力文献阅读效率提升50倍。

立即体验

用中文搜PubMed

大模型驱动的PubMed中文搜索引擎

马上搜索

文档翻译

学术文献翻译模型,支持多种主流文档格式。

立即体验