Suppr超能文献

病例报告:存在异质性 SMARCA4 缺陷的胸型非小细胞肺癌,对纳武利尤单抗有不同的反应。

Case report: Heterogenous SMARCA4-deficient thoracic non-small cell lung carcinoma with various responses to nivolumab.

机构信息

Department of Oncology, Chi-Mei Medical Center, Tainan, Taiwan.

Department of Pathology, Chi-Mei Medical Center, Tainan, Taiwan.

出版信息

Front Immunol. 2023 Mar 27;14:1131448. doi: 10.3389/fimmu.2023.1131448. eCollection 2023.

Abstract

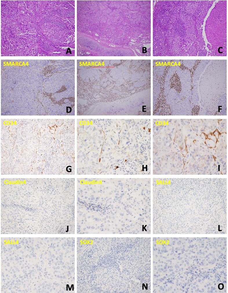
SMARCA4-deficient non-small cell carcinoma is an aggressive neoplasm with poor outcome. Several studies have highlighted its immunochemistry, pathophysiology, and underlying mechanisms, but studies of its definite treatment are few. Here, we report on a 69-year-old male with heterogenous pathological presentations of SMARCA4-deficient non-small cell carcinoma. He initially presented with neck lymphadenopathies. Immunohistochemistry staining and genomic profiling confirmed the diagnosis of SMARCA4-deficient non-small cell carcinoma. The patient responded well to immune checkpoint inhibitors with nivolumab. However, new lesions with various pathological presentations and various responses to nivolumab appeared during the treatment course. The patient survived more than 3 years from the initial diagnosis. This case shows the efficacy of nivolumab to treat SMARCA4-deficient non-small cell lung carcinoma.

摘要

SMARCA4 缺陷型非小细胞癌是一种侵袭性肿瘤,预后不良。有几项研究强调了其免疫化学、病理生理学和潜在机制,但对其明确治疗的研究很少。在这里,我们报告了一例 69 岁男性具有 SMARCA4 缺陷型非小细胞癌的异质性病理表现。他最初表现为颈部淋巴结病。免疫组化染色和基因组分析证实了 SMARCA4 缺陷型非小细胞癌的诊断。该患者对免疫检查点抑制剂纳武利尤单抗反应良好。然而,在治疗过程中出现了具有不同病理表现和对纳武利尤单抗不同反应的新病变。患者从初始诊断后存活超过 3 年。该病例表明纳武利尤单抗治疗 SMARCA4 缺陷型非小细胞肺癌的疗效。

https://cdn.ncbi.nlm.nih.gov/pmc/blobs/3514/10083322/bc8874c3095b/fimmu-14-1131448-g001.jpg

文献AI研究员

20分钟写一篇综述,助力文献阅读效率提升50倍。

立即体验

用中文搜PubMed

大模型驱动的PubMed中文搜索引擎

马上搜索

文档翻译

学术文献翻译模型,支持多种主流文档格式。

立即体验