Suppr超能文献

HOOK-FTS-HIP 复合物对于运动、侵袭和逸出期间的分泌细胞器排出至关重要。

HOOK-FTS-HIP Complex is Critical for Secretory Organelle Discharge during Motility, Invasion, and Egress.

机构信息

Department of Microbiology and Molecular Medicine, University of Geneva, Geneva, Switzerland.

University Lille, CNRS, Inserm, CHU Lille, Institut Pasteur de Lille, U1019-UMR 9017-CIIL-Center for Infection and Immunity of Lille, Lille, France.

出版信息

mBio. 2023 Jun 27;14(3):e0045823. doi: 10.1128/mbio.00458-23. Epub 2023 Apr 24.

Abstract

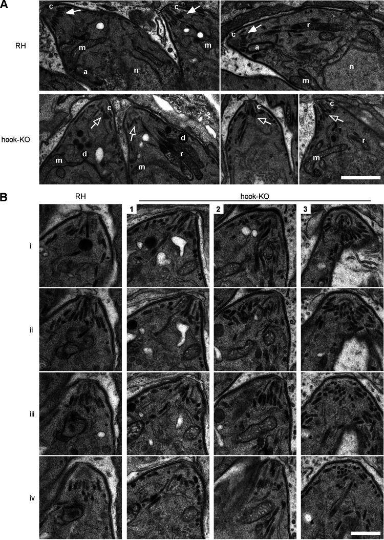
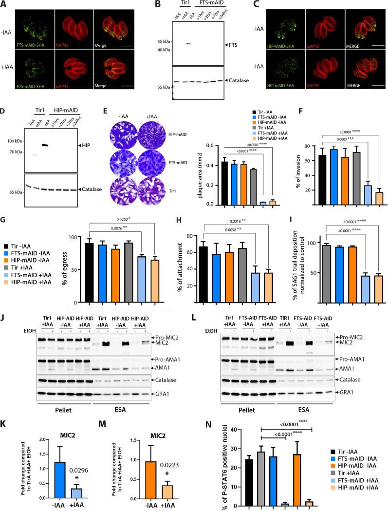
Members of the Apicomplexa phylum possess specialized secretory organelles that discharge, apically and in a timely regulated manner, key factors implicated in parasite motility, host cell invasion, egress and subversion of host cellular functions. The mechanisms regulating trafficking and apical docking of these secretory organelles are only partially elucidated. Here, we characterized two conserved endosomal trafficking regulators known to promote vesicle transport and/or fusion, HOOK and Fused Toes (FTS), in the context of organelle discharge in Toxoplasma gondii. TgHOOK and TgFTS form a complex with a coccidian-specific partner, named HOOK interacting partner (HIP). TgHOOK displays an apically enriched vesicular pattern and concentrates at the parasite apical tip where it colocalizes with TgFTS and TgHIP. Functional investigations revealed that TgHOOK is dispensable but fitness conferring. The protein regulates the apical positioning and secretion of micronemes and contributes to egress, motility, host cell attachment, and invasion. Conditional depletion of TgFTS or TgHIP impacted on the same processes but led to more severe phenotypes. This study provides evidence of endosomal trafficking regulators involved in the apical exocytosis of micronemes and possibly as a consequence or directly on the discharge of the rhoptries. Toxoplasma gondii affects between 30 and 80% of the human population, poses a life-threatening risk to immunocompromised individuals, and is a cause of abortion and birth defects following congenital transmission. T. gondii belongs to the phylum of Apicomplexa characterized by a set of unique apical secretory organelles called the micronemes and rhoptries. Upon host cell recognition, this obligatory intracellular parasite secretes specific effectors contained in micronemes and rhoptries to promote parasite invasion of host cells and subsequent persistence. Here, we identified novel T. gondii endosomal trafficking regulators and demonstrated that they regulate microneme organelle apical positioning and exocytosis, thereby strongly contributing to host cell invasion and parasite virulence.

摘要

肉足鞭毛门的成员拥有专门的分泌细胞器,这些细胞器能够及时地、有规律地分泌出关键因子,这些因子与寄生虫的运动、宿主细胞的入侵、出芽和宿主细胞功能的颠覆有关。目前仅部分阐明了调节这些分泌细胞器运输和顶端对接的机制。在这里,我们在刚地弓形虫中描述了两个保守的内体运输调节剂,即 HOOK 和 Fused Toes (FTS),以研究其在细胞器分泌中的作用。TgHOOK 和 TgFTS 与一种肉足鞭毛门特有的伴侣蛋白 HOOK interacting partner (HIP) 形成复合物。TgHOOK 显示出一种顶端富含囊泡的模式,并集中在寄生虫的顶端,在那里它与 TgFTS 和 TgHIP 共定位。功能研究表明,TgHOOK 虽然是不可或缺的,但它能提高寄生虫的生存能力。该蛋白调节微线体的顶端定位和分泌,并有助于出芽、运动、宿主细胞附着和入侵。条件性缺失 TgFTS 或 TgHIP 会影响到相同的过程,但会导致更严重的表型。这项研究提供了内体运输调节剂参与微线体顶端胞吐作用的证据,这可能是导致rhoptries 释放的结果或直接原因。刚地弓形虫影响 30%至 80%的人类人口,对免疫功能低下的个体构成生命威胁,是先天性传播后导致流产和出生缺陷的原因。刚地弓形虫属于肉足鞭毛门,其特征是一组独特的顶端分泌细胞器,称为微线体和 rhoptries。在宿主细胞识别后,这种必需的细胞内寄生虫会分泌微线体和 rhoptries 中包含的特定效应子,以促进寄生虫入侵宿主细胞并随后持续存在。在这里,我们鉴定了新的刚地弓形虫内体运输调节剂,并证明它们调节微线体细胞器的顶端定位和胞吐作用,从而对宿主细胞入侵和寄生虫毒力有很强的贡献。

https://cdn.ncbi.nlm.nih.gov/pmc/blobs/37a9/10294612/960b1e8a4ce9/mbio.00458-23-f001.jpg

文献AI研究员

20分钟写一篇综述,助力文献阅读效率提升50倍。

立即体验

用中文搜PubMed

大模型驱动的PubMed中文搜索引擎

马上搜索

文档翻译

学术文献翻译模型,支持多种主流文档格式。

立即体验