Suppr超能文献

淋病奈瑟菌中 18 种β-内酰胺类抗生素和 4 种β-内酰胺酶抑制剂的青霉素结合蛋白占有率数据集。

Penicillin-Binding Protein Occupancy Dataset for 18 β-Lactams and 4 β-Lactamase Inhibitors in Neisseria gonorrhoeae.

机构信息

Servicio de Microbiología and Unidad de Investigación, Hospital Universitario Son Espases, Health Research Institute of the Balearic Islands (IdISBa), Palma, Spain.

Departamento de Microbiología, Facultad de Medicina, Universidad de Sevilla, Seville, Spain.

出版信息

Microbiol Spectr. 2023 Jun 15;11(3):e0069223. doi: 10.1128/spectrum.00692-23. Epub 2023 Apr 24.

Abstract

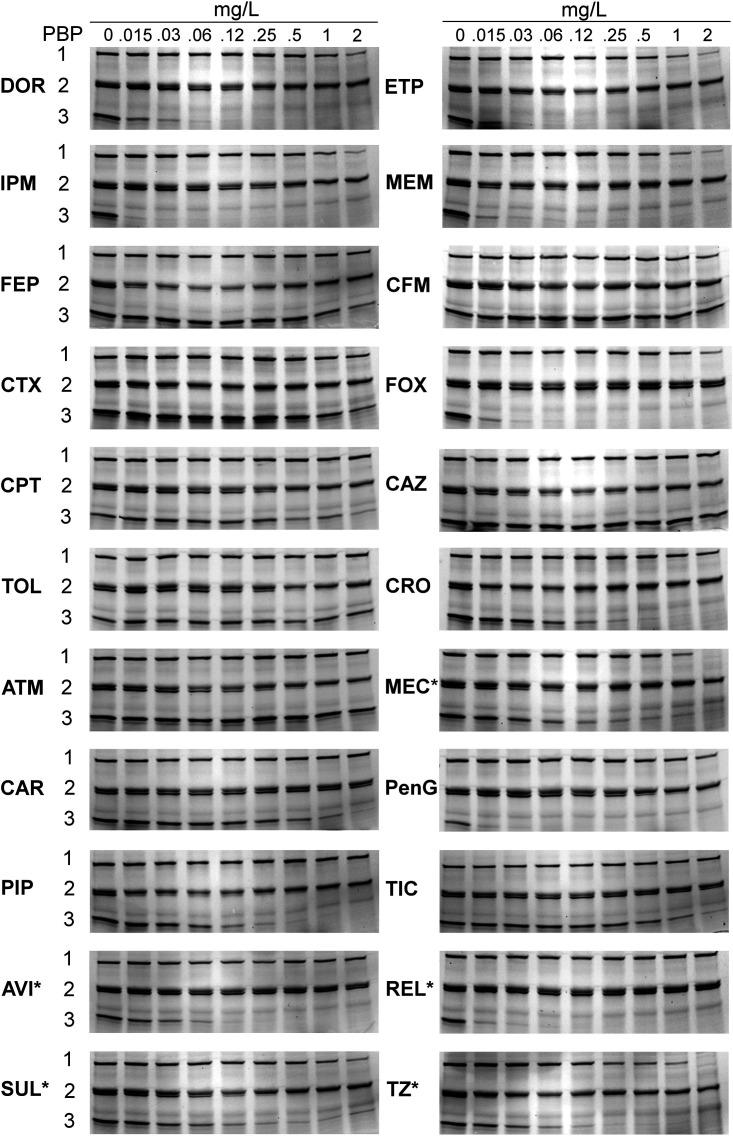
The lack of effective first-line antibiotic treatments against Neisseria gonorrhoeae, and the worldwide dissemination of resistant strains, are the main drivers of a worsening global health crisis. β-lactam antibiotics have been the backbone of therapeutic armamentarium against gonococci. However, we are lacking critical insights to design rationally optimized therapies. In the present work, we generated the first PBP-binding data set on 18 currently available and clinically relevant β-lactams and 4 β-lactamase inhibitors in two N. gonorrhoeae ATCC type collection strains, 19424 and 49226 (PBP2 type XXII and A39T change in ). PBP binding (IC) was determined via the Bocillin FL binding assay in isolated membrane preparations. Three clusters of differential PBP ICs were identified and were mostly consistent across both strains, but with quantitative differences. Carbapenems were coselective for PBP2 and PBP3 (0.01 to 0.03 mg/L). Third- and fourth-generation cephalosporins cefixime, cefotaxime, ceftazidime, cefepime, and ceftriaxone showed the lowest IC values for PBP2 (0.01 mg/L), whereas cefoxitin, ceftaroline, and ceftolozane required higher concentrations (0.04 to >2 mg/L). Aztreonam was selective for PBP2 in both strains (0.03 to 0.07 mg/L); amdinocillin bound this PBP at higher concentrations (1.33 to 2.94 mg/L). Penicillins specifically targeted PBP2 in strain ATCC 19424 (0.02 to 0.19 mg/L) and showed limited inhibition in strain ATCC 49226 (0.01 to >2 mg/L). Preferential PBP2 binding was observed by β-lactam-based β-lactamase inhibitors sulbactam and tazobactam (1.07 to 6.02 mg/L); meanwhile, diazabicyclooctane inhibitors relebactam and avibactam were selective for PBP3 (1.27 to 5.40 mg/L). This data set will set the bar for future studies that will help the rational use and translational development of antibiotics against multidrug-resistant (MDR) N. gonorrhoeae. The manuscript represents the first N. gonorrhoeae PBP-binding data set for 22 chemically different drugs in two type strains with different genetic background. We have identified three clusters of drugs according to their PBP binding ICs and highlighted the binding differences across the two strains studied. With the currently available genomic information and the PBP-binding data, we have been able to correlate the target attainment differences and the mutations that affect the drug uptake with the MIC changes. The results of the current work will allow us to develop molecular tools of great practical use for the study and the design of new rationally designed therapies capable of combating the growing MDR gonococci threat.

摘要

淋病奈瑟菌缺乏有效一线抗生素治疗,且全球耐药菌株传播,这是全球卫生危机恶化的主要驱动因素。β-内酰胺类抗生素一直是治疗淋病奈瑟菌的主要手段。然而,我们缺乏合理优化治疗的关键见解。在本工作中,我们在两个淋病奈瑟菌 ATCC 标准株 19424 和 49226(PBP2 型 XXII 和 A39T 变化)中生成了首个关于 18 种目前可用的临床相关β-内酰胺类药物和 4 种β-内酰胺酶抑制剂的 PBP 结合数据。PBP 结合(IC)通过 Bocillin FL 结合测定法在分离的膜制剂中测定。确定了三个 PBP IC 差异群,并且在两个菌株中大多数是一致的,但存在定量差异。碳青霉烯类对 PBP2 和 PBP3 的选择性强(0.01 至 0.03 mg/L)。第三代和第四代头孢菌素头孢克肟、头孢噻肟、头孢他啶、头孢吡肟和头孢曲松对 PBP2 的 IC 值最低(0.01 mg/L),而头孢西丁、头孢洛林和头孢唑兰则需要更高的浓度(0.04 至 >2 mg/L)。头孢他啶在两个菌株中均对 PBP2 具有选择性(0.03 至 0.07 mg/L);氨曲南在两个菌株中对该 PBP 的结合浓度更高(0.03 至 0.07 mg/L)。青霉素类药物在 ATCC 19424 株中特异性靶向 PBP2(0.02 至 0.19 mg/L),而在 ATCC 49226 株中抑制作用有限(0.01 至 >2 mg/L)。基于β-内酰胺的β-内酰胺酶抑制剂舒巴坦和他唑巴坦观察到优先结合 PBP2(1.07 至 6.02 mg/L);同时,二氮杂双环辛烷抑制剂雷巴坦和阿维巴坦对 PBP3 具有选择性(1.27 至 5.40 mg/L)。该数据集将为未来的研究设定基准,有助于合理使用和转化治疗对多药耐药(MDR)淋病奈瑟菌的抗生素。该研究代表了在具有不同遗传背景的两种标准株中,针对 22 种化学不同药物的淋病奈瑟菌首次 PBP 结合数据集。我们根据 PBP 结合 IC 将药物分为三组,并突出了两个研究菌株之间的结合差异。根据目前的基因组信息和 PBP 结合数据,我们能够将药物浓度差异与影响药物摄取的突变与 MIC 变化相关联。目前工作的结果将使我们能够开发具有很大实际用途的分子工具,用于研究和设计能够对抗日益增长的 MDR 淋病奈瑟菌威胁的新型合理治疗方法。

https://cdn.ncbi.nlm.nih.gov/pmc/blobs/0ec5/10269775/0bd98e7f6ebd/spectrum.00692-23-f001.jpg

文献AI研究员

20分钟写一篇综述,助力文献阅读效率提升50倍。

立即体验

用中文搜PubMed

大模型驱动的PubMed中文搜索引擎

马上搜索

文档翻译

学术文献翻译模型,支持多种主流文档格式。

立即体验