Suppr超能文献

成年人类睾丸组织急性暴露于大麻素四氢大麻酚(THC)和大麻二酚(CBD)不会影响睾酮生成,也不会影响生殖细胞谱系。

The Acute Exposure of Human Adult Testis Tissue to Cannabinoids THC and CBD Does Not Impact Testosterone Production Nor Germ Cell Lineage.

作者信息

da Silva Janaina, Dochez-Arnault Juliette, Desdoits-Lethimonier Chritèle, Dejucq-Rainsford Nathalie, Gely-Pernot Aurore

机构信息

Institut National de la Santé et de la Recherche Médicale (Inserm), Ecole des Hautes Etudes en Santé Publique (EHESP), Institut de Recherche en Santé, Environnement et Travail (Irset), Université de Rennes, UMR_S1085, Rennes, France.

出版信息

World J Mens Health. 2023 Oct;41(4):928-939. doi: 10.5534/wjmh.220210. Epub 2023 Mar 7.

Abstract

PURPOSE

While an increased risk of developing germ cell tumors has been established in regular cannabis consumers, there is conflicting evidence about an association between cannabis use and testosterone levels in those regular consumers. In this context, we aimed to determine whether Δ-tetrahydrocannabinol (THC) and cannabidiol (CBD), the two major and best-studied cannabinoids present in cannabis, also the most used for therapeutic applications, can directly impact the steroidogenic function and germ cell lineage of the human adult testis.

MATERIALS AND METHODS

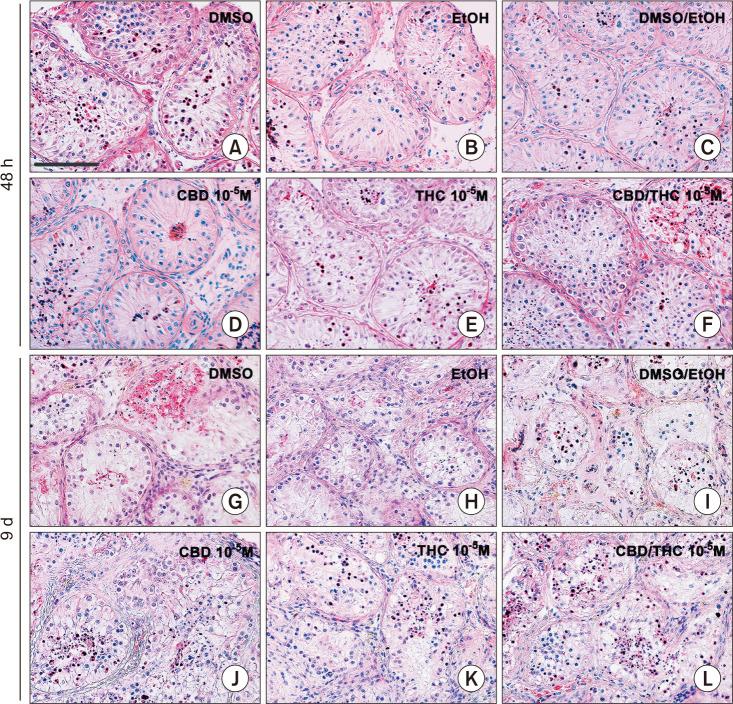
We used our well-characterized organotypic culture of human testis, in which adult testis explants were exposed to CBD, THC, or CBD/THC [ratio 1:1] from 10 to 10 M for up to either 48 hours or 9 days of culture. The testes were obtained from multi-organ donors (n=13; mean age: 55.15±5.62 y).

RESULTS

The testosterone production and the spatial distribution of Leydig cells did not change upon CBD and/or THC exposure controls after 48 hours or 9 days. The overall tissue morphology of the cannabinoids-exposed testis explants was similar to their control upon 24 hours or 9 days of exposure, a finding confirmed by morphometric analyses on short-term cultures. In line, the number of apoptotic cells was not affected by either 48 hours or 9 days of cannabinoids treatment mock. Cannabinoids had no impact on the number of proliferating cells nor on mRNA expression of genes encoding proteins involved in germ cell differentiation, meiosis, or Sertoli and Leydig functions after 24 hours exposure.

CONCLUSIONS

Altogether, these findings show an absence of acute direct effects of exposure to cannabis-derived cannabinoids THC and CBD on testicular testosterone production and germ cells . Further studies are warranted to explore an indirect impact of cannabinoids on testis functions through the hypothalamic-pituitary-testis axis, as well as the potential effects of long-term exposures.

摘要

目的

虽然已确定经常吸食大麻的人患生殖细胞肿瘤的风险增加,但关于这些经常吸食者使用大麻与睾酮水平之间的关联,证据存在矛盾。在此背景下,我们旨在确定大麻中两种主要且研究最多的大麻素,也是治疗应用中最常用的Δ-四氢大麻酚(THC)和大麻二酚(CBD),是否会直接影响成年男性睾丸的类固醇生成功能和生殖细胞谱系。

材料与方法

我们使用了特征明确的人睾丸器官型培养模型,将成年睾丸外植体暴露于浓度为10至10μM的CBD、THC或CBD/THC[比例1:1]中,培养长达48小时或9天。睾丸取自多器官捐献者(n = 13;平均年龄:55.15±5.62岁)。

结果

暴露于CBD和/或THC 48小时或9天后,睾酮生成以及睾丸间质细胞的空间分布与对照组相比没有变化。暴露24小时或9天后,暴露于大麻素的睾丸外植体的整体组织形态与对照组相似,短期培养的形态计量分析证实了这一发现。同样,48小时或9天的大麻素处理与模拟处理相比,凋亡细胞数量不受影响。暴露24小时后,大麻素对增殖细胞数量以及参与生殖细胞分化、减数分裂或支持细胞和睾丸间质细胞功能的蛋白质编码基因的mRNA表达没有影响。

结论

总之,这些发现表明,暴露于大麻衍生的大麻素THC和CBD对睾丸睾酮生成和生殖细胞没有急性直接影响。有必要进一步研究大麻素通过下丘脑-垂体-睾丸轴对睾丸功能的间接影响,以及长期暴露的潜在影响。

https://cdn.ncbi.nlm.nih.gov/pmc/blobs/7769/10523127/82cc3ac382f7/wjmh-41-928-g001.jpg

文献AI研究员

20分钟写一篇综述,助力文献阅读效率提升50倍。

立即体验

用中文搜PubMed

大模型驱动的PubMed中文搜索引擎

马上搜索

文档翻译

学术文献翻译模型,支持多种主流文档格式。

立即体验