Suppr超能文献

抑制中性粒细胞胞外诱捕网形成可减轻创伤性脑损伤后小鼠 NLRP1 依赖性神经元细胞焦亡的 STING/IRE1α 通路。

Inhibition of neutrophil extracellular trap formation attenuates NLRP1-dependent neuronal pyroptosis STING/IRE1α pathway after traumatic brain injury in mice.

机构信息

Department of Neurosurgery, Tianjin Medical University General Hospital, Tianjin, China.

Key Laboratory of Post-trauma Neuro-repair and Regeneration in Central Nervous System, Tianjin Neurological Institute, Ministry of Education, Tianjin, China.

出版信息

Front Immunol. 2023 Apr 14;14:1125759. doi: 10.3389/fimmu.2023.1125759. eCollection 2023.

Abstract

INTRODUCTION

Increased neutrophil extracellular trap (NET) formation has been reported to be associated with cerebrovascular dysfunction and neurological deficits in traumatic brain injury (TBI). However, the biological function and underlying mechanisms of NETs in TBI-induced neuronal cell death are not yet fully understood.

METHODS

First, brain tissue and peripheral blood samples of TBI patients were collected, and NETs infiltration in TBI patients was detected by immunofluorescence staining and Western blot. Then, a controlled cortical impact device was used to model brain trauma in mice, and Anti-Ly6G, DNase, and CL-amidine were given to reduce the formation of neutrophilic or NETs in TBI mice to evaluate neuronal death and neurological function. Finally, the pathway changes of neuronal pyroptosis induced by NETs after TBI were investigated by administration of peptidylarginine deiminase 4 (a key enzyme of NET formation) adenovirus and inositol-requiring enzyme-1 alpha (IRE1α) inhibitors in TBI mice.

RESULTS

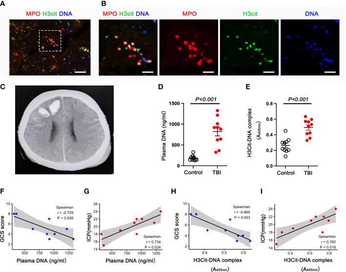
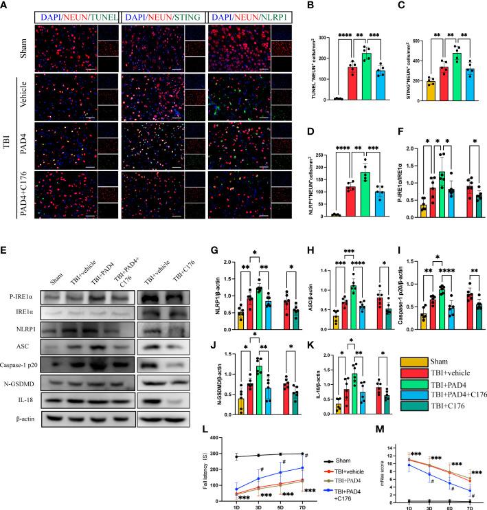
We detected that both peripheral circulating biomarkers of NETs and local NETs infiltration in the brain tissue were significantly increased and had positive correlations with worse intracranial pressure (ICP) and neurological dysfunction in TBI patients. Furthermore, the depletion of neutrophils effectively reduced the formation of NET in mice subjected to TBI. we found that degradation of NETs or inhibition of NET formation significantly inhibited nucleotide-binding oligomerization domain (NOD)-like receptor pyrin domain containing 1 (NLRP1) inflammasome-mediated neuronal pyroptosis after TBI, whereas these inhibitory effects were abolished by cyclic GMP-AMP (cGAMP), an activator of stimulating Interferon genes (STING). Moreover, overexpression of PAD4 in the cortex by adenoviruses could aggravate NLRP1-mediated neuronal pyroptosis and neurological deficits after TBI, whereas these pro-pyroptotic effects were rescued in mice also receiving STING antagonists. Finally, IRE1α activation was significantly upregulated after TBI, and NET formation or STING activation was found to promote this process. Notably, IRE1α inhibitor administration significantly abrogated NETs-induced NLRP1 inflammasome-mediated neuronal pyroptosis in TBI mice.

DISCUSSION

Our findings indicated that NETs could contribute to TBI-induced neurological deficits and neuronal death by promoting NLRP1-mediated neuronal pyroptosis. Suppression of the STING/ IRE1α signaling pathway can ameliorate NETs-induced neuronal pyroptotic death after TBI.

摘要

简介

已有研究表明,中性粒细胞胞外诱捕网(NET)的形成与创伤性脑损伤(TBI)中的脑血管功能障碍和神经功能缺损有关。然而,NET 在 TBI 诱导的神经元细胞死亡中的生物学功能和潜在机制尚不完全清楚。

方法

首先,收集 TBI 患者的脑组织和外周血样本,通过免疫荧光染色和 Western blot 检测 TBI 患者的 NET 浸润。然后,使用皮质撞击装置在小鼠中建立脑外伤模型,并给予抗 Ly6G、DNase 和 CL-amidine 以减少 TBI 小鼠中性粒细胞或 NET 的形成,以评估神经元死亡和神经功能。最后,通过给予 TBI 小鼠肽基精氨酸脱亚氨酶 4(NET 形成的关键酶)腺病毒和肌醇需求酶 1α(IRE1α)抑制剂,研究 TBI 后 NET 诱导的神经元细胞焦亡的途径变化。

结果

我们发现,TBI 患者外周血循环 NET 生物标志物和脑组织局部 NET 浸润均明显增加,且与颅内压(ICP)升高和神经功能障碍加重呈正相关。此外,中性粒细胞耗竭可有效减少 TBI 小鼠 NET 的形成。我们发现,降解 NET 或抑制 NET 形成可显著抑制 TBI 后核苷酸结合寡聚化结构域(NOD)样受体富含亮氨酸重复结构域包含蛋白 1(NLRP1)炎性小体介导的神经元细胞焦亡,而这些抑制作用可被环鸟苷酸-AMP(cGAMP)消除,cGAMP 是一种干扰素基因刺激物(STING)的激活剂。此外,通过腺病毒在皮质中过表达 PAD4 可加重 TBI 后 NLRP1 介导的神经元细胞焦亡和神经功能缺损,而在接受 STING 拮抗剂的小鼠中,这些促焦亡作用得到挽救。最后,TBI 后 IRE1α 的激活明显上调,且发现 NET 形成或 STING 激活可促进这一过程。值得注意的是,IRE1α 抑制剂给药可显著阻断 TBI 小鼠 NET 诱导的 NLRP1 炎性小体介导的神经元细胞焦亡。

讨论

我们的研究结果表明,NET 可通过促进 NLRP1 介导的神经元细胞焦亡导致 TBI 引起的神经功能缺损和神经元死亡。抑制 STING/IRE1α 信号通路可改善 TBI 后 NET 诱导的神经元细胞焦亡性死亡。

https://cdn.ncbi.nlm.nih.gov/pmc/blobs/2d5c/10152368/03cfab2faa61/fimmu-14-1125759-g001.jpg

文献AI研究员

20分钟写一篇综述,助力文献阅读效率提升50倍。

立即体验

用中文搜PubMed

大模型驱动的PubMed中文搜索引擎

马上搜索

文档翻译

学术文献翻译模型,支持多种主流文档格式。

立即体验