Suppr超能文献

Gαi1/3 介导轴突导向因子 Netrin-1-CD146 激活的信号通路和血管生成。

Gαi1/3 mediate Netrin-1-CD146-activated signaling and angiogenesis.

机构信息

Clinical Research Center of Neurological Disease, The Second Affiliated Hospital of Soochow University and North District, The Municipal Hospital of Suzhou, Gusu School, Nanjing Medical University, Suzhou, China.

The Affiliated Eye Hospital, Nanjing Medical University, Nanjing, China.

出版信息

Theranostics. 2023 Apr 17;13(7):2319-2336. doi: 10.7150/thno.80749. eCollection 2023.

Abstract

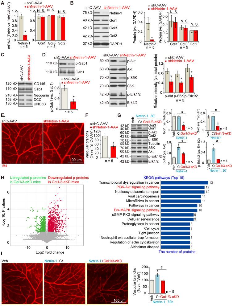
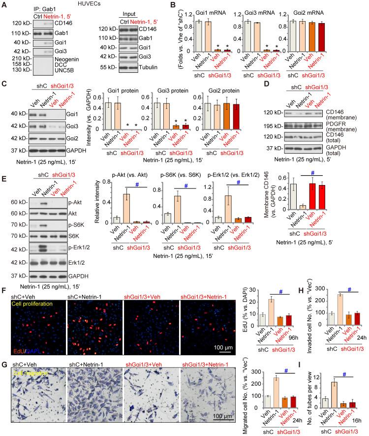
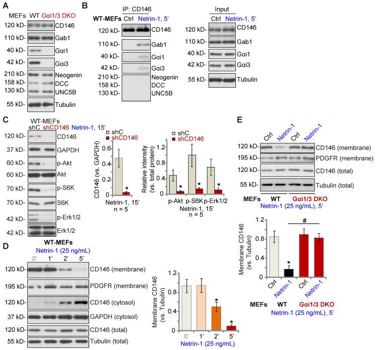
Netrin-1 binds to the high-affinity receptor CD146 to activate downstream signaling and angiogenesis. Here, we examine the role and underlying mechanisms of G protein subunit alpha i1 (Gαi1) and Gαi3 in Netrin-1-induced signaling and pro-angiogenic activity. In mouse embryonic fibroblasts (MEFs) and endothelial cells, Netrin-1-induced Akt-mTOR (mammalian target of rapamycin) and Erk activation was largely inhibited by silencing or knockout of Gαi1/3, whereas signaling was augmented following Gαi1/3 overexpression. Netrin-1 induced Gαi1/3 association with CD146, required for CD146 internalization, Gab1 (Grb2 associated binding protein 1) recruitment and downstream Akt-mTOR and Erk activation. Netrin-1-induced signaling was inhibited by CD146 silencing, Gab1 knockout, or Gαi1/3 dominant negative mutants. Netrin-1-induced human umbilical vein endothelial cell (HUVEC) proliferation, migration and tube formation were inhibited by Gαi1/3 short hairpin RNA (shRNA), but were potentiated by ectopic Gαi1/3 overexpression. , intravitreous injection of Netrin-1 shRNA adeno-associated virus (AAV) significantly inhibited Akt-mTOR and Erk activation in murine retinal tissues and reduced retinal angiogenesis. Endothelial knockdown of Gαi1/3 significantly inhibited Netrin1-induced signaling and retinal angiogenesis in mice. mRNA and protein expression were significantly elevated in retinal tissues of diabetic retinopathy (DR) mice. Importantly, silence of Netrin-1, by intravitreous Netrin-1 shRNA AAV injection, inhibited Akt-Erk activation, pathological retinal angiogenesis and retinal ganglion cells degeneration in DR mice. Lastly, Netrin-1 and CD146 expression is significantly increased in the proliferative retinal tissues of human proliferative diabetic retinopathy patients. Together, Netrin-1 induces CD146-Gαi1/3-Gab1 complex formation to mediate downstream Akt-mTOR and Erk activation, important for angiogenesis and .

摘要

轴突导向因子 Netrin-1 通过与其高亲和力受体 CD146 结合来激活下游信号通路和血管生成。在这里,我们研究了 G 蛋白亚单位α i1(Gαi1)和 Gαi3 在 Netrin-1 诱导的信号转导和促血管生成活性中的作用和潜在机制。在小鼠胚胎成纤维细胞(MEFs)和内皮细胞中,沉默或敲除 Gαi1/3 可显著抑制 Netrin-1 诱导的 Akt-mTOR(哺乳动物雷帕霉素靶蛋白)和 Erk 激活,而 Gαi1/3 过表达后信号增强。Netrin-1 诱导 Gαi1/3 与 CD146 结合,这是 CD146 内化、Gab1(Grb2 相关结合蛋白 1)募集以及下游 Akt-mTOR 和 Erk 激活所必需的。沉默 CD146、Gab1 敲除或 Gαi1/3 显性负突变体可抑制 Netrin-1 诱导的信号转导。Netrin-1 诱导的人脐静脉内皮细胞(HUVEC)增殖、迁移和管形成被 Gαi1/3 短发夹 RNA(shRNA)抑制,但 Gαi1/3 过表达可增强其作用。此外,玻璃体内注射 Netrin-1 shRNA 腺相关病毒(AAV)可显著抑制小鼠视网膜组织中 Akt-mTOR 和 Erk 的激活,并减少视网膜血管生成。内皮细胞敲低 Gαi1/3 可显著抑制 Netrin1 诱导的信号转导和小鼠视网膜血管生成。糖尿病视网膜病变(DR)小鼠视网膜组织中 Gαi1/3 mRNA 和蛋白表达显著升高。重要的是,玻璃体内注射 Netrin-1 shRNA AAV 可抑制 Akt-Erk 激活、病理性视网膜血管生成和 DR 小鼠视网膜神经节细胞变性。最后,轴突导向因子 Netrin-1 和 CD146 的表达在人类增生性糖尿病视网膜病变患者的增生性视网膜组织中显著增加。总之,Netrin-1 诱导 CD146-Gαi1/3-Gab1 复合物形成,介导下游 Akt-mTOR 和 Erk 激活,对血管生成和病理性视网膜血管生成很重要。

https://cdn.ncbi.nlm.nih.gov/pmc/blobs/5d75/10157725/82849577e49d/thnov13p2319g001.jpg

文献AI研究员

20分钟写一篇综述,助力文献阅读效率提升50倍。

立即体验

用中文搜PubMed

大模型驱动的PubMed中文搜索引擎

马上搜索

文档翻译

学术文献翻译模型,支持多种主流文档格式。

立即体验