Suppr超能文献

NADPH 氧化酶亚基 CYBB 通过调节 Nrf2/SOD2 赋予间充质型胶质母细胞瘤对化疗和铁死亡的耐药性。

NADPH Oxidase Subunit CYBB Confers Chemotherapy and Ferroptosis Resistance in Mesenchymal Glioblastoma via Nrf2/SOD2 Modulation.

机构信息

Graduate Institute of Clinical Medicine, College of Medicine, Taipei Medical University, Taipei City 11031, Taiwan.

Department of Neurology, School of Medicine, College of Medicine, Taipei Medical University, Taipei City 11031, Taiwan.

出版信息

Int J Mol Sci. 2023 Apr 22;24(9):7706. doi: 10.3390/ijms24097706.

Abstract

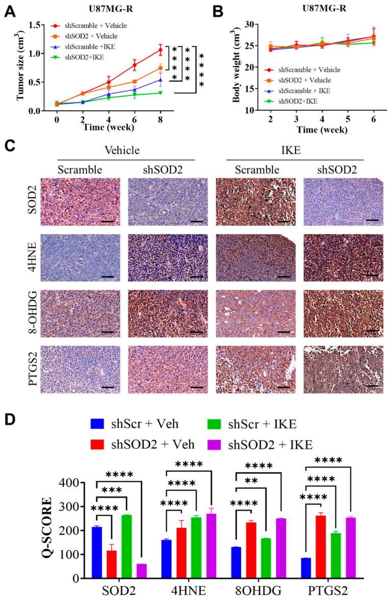
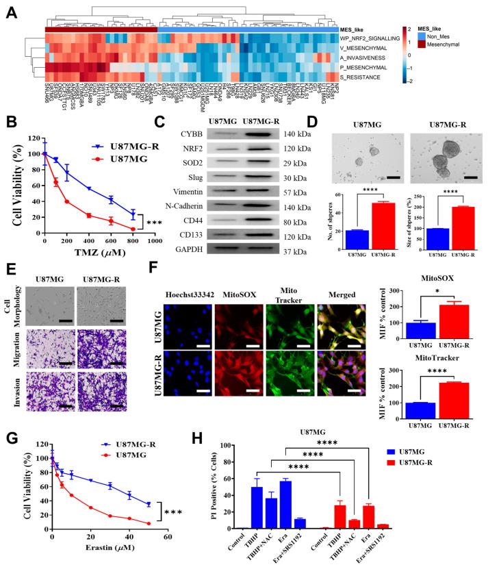
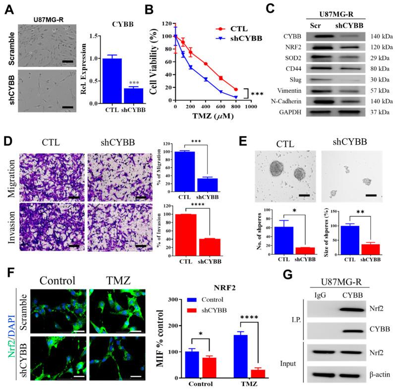
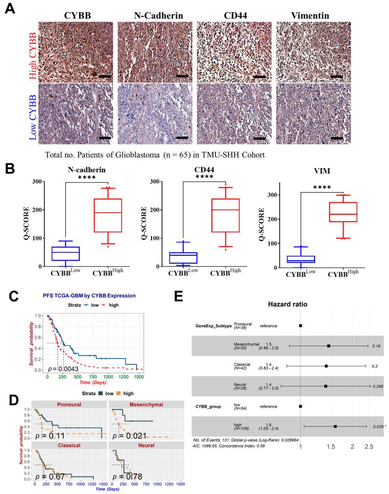
Glioblastoma multiforme (GBM) is a highly heterogeneous disease with a mesenchymal subtype tending to exhibit more aggressive and multitherapy-resistant features. Glioblastoma stem-cells derived from mesenchymal cells are reliant on iron supply, accumulated with high reactive oxygen species (ROS), and susceptible to ferroptosis. Temozolomide (TMZ) treatment is the mainstay drug for GBM despite the rapid development of resistance in mesenchymal GBM. The main interconnection between mesenchymal features, TMZ resistance, and ferroptosis are poorly understood. Herein, we demonstrated that a subunit of NADPH oxidase, CYBB, orchestrated mesenchymal shift and promoted TMZ resistance by modulating the anti-ferroptosis circuitry Nrf2/SOD2 axis. Public transcriptomic data re-analysis found that CYBB and SOD2 were highly upregulated in the mesenchymal subtype of GBM. Accordingly, our GBM cohort confirmed a high expression of CYBB in the GBM tumor and was associated with mesenchymal features and poor clinical outcome. An in vitro study demonstrated that TMZ-resistant GBM cells displayed mesenchymal and stemness features while remaining resilient to erastin-mediated ferroptosis by activating the CYBB/Nrf2/SOD2 axis. The CYBB maintained a high ROS state to sustain the mesenchymal phenotype, TMZ resistance, and reduced erastin sensitivity. Mechanistically, CYBB interacted with Nrf2 and consequently regulated SOD2 transcription. Compensatory antioxidant SOD2 essentially protected against the deleterious effect of high ROS while attenuating ferroptosis in TMZ-resistant cells. An animal study highlighted the protective role of SOD2 to mitigate erastin-triggered ferroptosis and tolerate oxidative stress burden in mice harboring TMZ-resistant GBM cell xenografts. Therefore, CYBB captured ferroptosis resilience in mesenchymal GBM. The downstream compensatory activity of CYBB via the Nrf2/SOD2 axis is exploitable through erastin-induced ferroptosis to overcome TMZ resistance.

摘要

多形性胶质母细胞瘤(GBM)是一种高度异质性疾病,其中间充质亚型往往表现出更具侵袭性和多药耐药性的特征。源自间充质细胞的胶质母细胞瘤干细胞依赖于铁供应,积累了大量的活性氧(ROS),并容易发生铁死亡。替莫唑胺(TMZ)治疗是 GBM 的主要药物,尽管间充质 GBM 迅速产生耐药性。间充质特征、TMZ 耐药性和铁死亡之间的主要联系还不清楚。在此,我们证明 NADPH 氧化酶的一个亚基 CYBB 通过调节抗铁死亡电路 Nrf2/SOD2 轴来协调间充质转移并促进 TMZ 耐药性。公共转录组数据重新分析发现,CYBB 和 SOD2 在 GBM 的间充质亚型中高度上调。相应地,我们的 GBM 队列证实 CYBB 在 GBM 肿瘤中高表达,与间充质特征和不良临床结局相关。体外研究表明,TMZ 耐药的 GBM 细胞表现出间充质和干细胞特征,同时通过激活 CYBB/Nrf2/SOD2 轴对 erastin 介导的铁死亡保持耐药性。CYBB 保持高 ROS 状态以维持间充质表型、TMZ 耐药性和降低 erastin 敏感性。在机制上,CYBB 与 Nrf2 相互作用,从而调节 SOD2 转录。补偿性抗氧化剂 SOD2 基本上可以保护免受高 ROS 的有害影响,同时减轻 TMZ 耐药细胞中的铁死亡。动物研究强调了 SOD2 的保护作用,以减轻 erastin 触发的铁死亡并耐受携带 TMZ 耐药 GBM 细胞异种移植物的小鼠中的氧化应激负担。因此,CYBB 捕获了间充质 GBM 中的铁死亡耐药性。通过 Nrf2/SOD2 轴的 CYBB 下游补偿活性可通过 erastin 诱导的铁死亡来克服 TMZ 耐药性。

https://cdn.ncbi.nlm.nih.gov/pmc/blobs/f02c/10178261/a799da7fe2f7/ijms-24-07706-g001.jpg

文献AI研究员

20分钟写一篇综述,助力文献阅读效率提升50倍。

立即体验

用中文搜PubMed

大模型驱动的PubMed中文搜索引擎

马上搜索

文档翻译

学术文献翻译模型,支持多种主流文档格式。

立即体验