Suppr超能文献

肺部超声评估临床稳定型囊性纤维化患儿肺部疾病严重程度:一项前瞻性横断面研究

Lung Ultrasound in the Evaluation of Lung Disease Severity in Children with Clinically Stable Cystic Fibrosis: A Prospective Cross-Sectional Study.

作者信息

Jaworska Joanna, Buda Natalia, Kwaśniewicz Piotr, Komorowska-Piotrowska Anna, Sands Dorota

机构信息

Cystic Fibrosis Department, Institute of Mother and Child, 01-211 Warsaw, Poland.

Department of Internal Medicine, Connective Tissue Diseases and Geriatrics, Medical University of Gdansk, 80-214 Gdansk, Poland.

出版信息

J Clin Med. 2023 Apr 24;12(9):3086. doi: 10.3390/jcm12093086.

Abstract

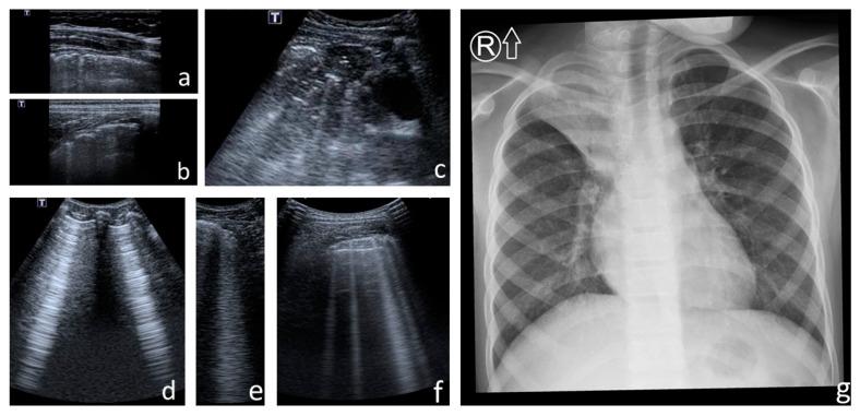
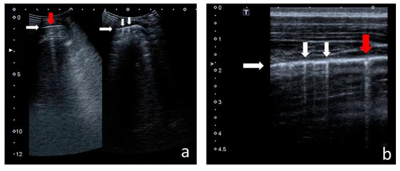
With the increasing longevity of cystic fibrosis (CF), there is a growing need to minimise exposure to ionising radiation in patients who undergo regular imaging tests while monitoring the course of the lung disease. This study aimed to define the role of lung ultrasounds (LUS) in the evaluation of lung disease severity in children with clinically stable CF. LUS was performed on 131 patients aged 5 weeks to 18 years (study group) and in 32 healthy children of an equivalent age range (control group). Additionally, an interobserver study was performed on 38 patients from the study group. In CF patients, the following ultrasound signs were identified: I-lines; Z-lines; single, numerous and confluent B-lines; Am-lines; small and major consolidations; pleural line abnormalities and small amounts of pleural fluid. The obtained results were evaluated against an original ultrasound score. LUS results were correlated with the results of chest X-ray (CXR) [very high], pulmonary function tests (PFTs) [high] and microbiological status [significant]. The interobserver study showed very good agreement between investigators. We conclude that LUS is a useful test in the evaluation of CF lung disease severity compared to routinely used methods. With appropriate standardisation, LUS is highly reproducible.

摘要

随着囊性纤维化(CF)患者寿命的延长,在对肺部疾病病程进行监测的同时,尽量减少接受常规影像学检查的患者所受电离辐射的需求日益增加。本研究旨在明确肺部超声(LUS)在评估临床病情稳定的CF患儿肺部疾病严重程度中的作用。对131例年龄在5周至18岁的患者(研究组)以及32例年龄范围相当的健康儿童(对照组)进行了LUS检查。此外,对研究组中的38例患者进行了观察者间研究。在CF患者中,识别出了以下超声征象:I线;Z线;单发、多发及融合的B线;Am线;小实变和大实变;胸膜线异常及少量胸腔积液。将获得的结果与原始超声评分进行对照评估。LUS结果与胸部X线(CXR)结果[高度相关]、肺功能测试(PFTs)结果[相关性高]以及微生物学状态[显著相关]相关。观察者间研究显示研究者之间具有很好的一致性。我们得出结论,与常规使用的方法相比,LUS在评估CF肺部疾病严重程度方面是一种有用的检查方法。通过适当的标准化,LUS具有高度可重复性。

https://cdn.ncbi.nlm.nih.gov/pmc/blobs/ae87/10179222/5df1fbca5f59/jcm-12-03086-g001.jpg

文献AI研究员

20分钟写一篇综述,助力文献阅读效率提升50倍。

立即体验

用中文搜PubMed

大模型驱动的PubMed中文搜索引擎

马上搜索

文档翻译

学术文献翻译模型,支持多种主流文档格式。

立即体验