Suppr超能文献

环状 RNA circARHGEF28 通过 miR-671-5p/LGALS3BP/NF-κB 轴抑制前列腺癌的进展。

Circular RNA circARHGEF28 inhibited the progression of prostate cancer via the miR-671-5p/LGALS3BP/NF-κB axis.

机构信息

Department of Urology, Sun Yat-sen Memorial Hospital, Sun Yat-sen University, Guangzhou, China.

Guangdong Provincial Key Laboratory of Malignant Tumor Epigenetics and Gene Regulation, Sun Yat-sen Memorial Hospital, Sun Yat-sen University, Guangzhou, China.

出版信息

Cancer Sci. 2023 Jul;114(7):2907-2919. doi: 10.1111/cas.15820. Epub 2023 Apr 26.

Abstract

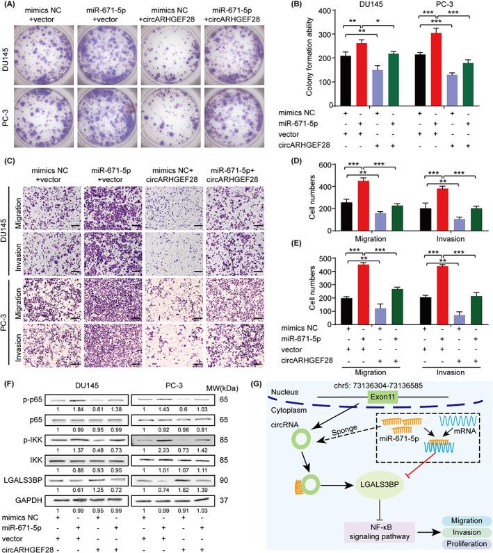
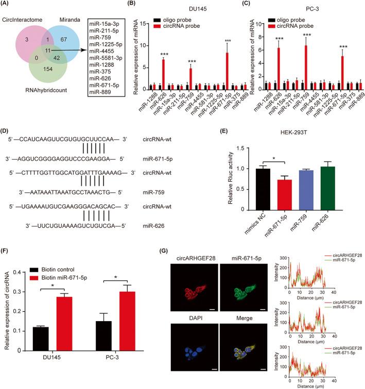
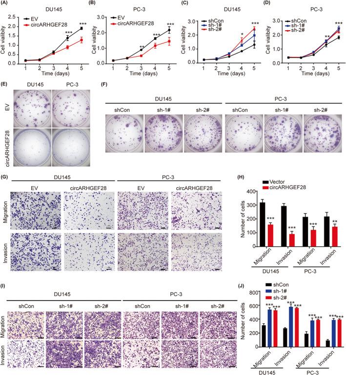
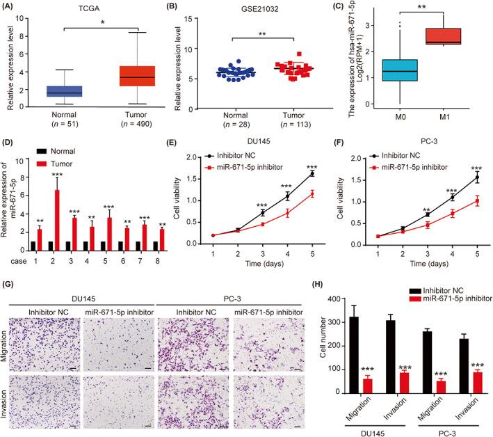
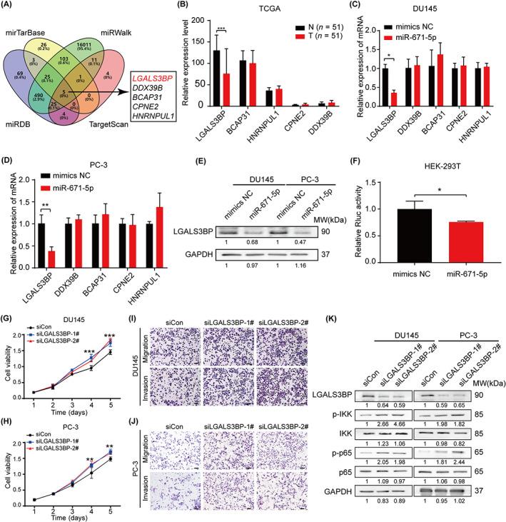
Circular RNAs (circRNAs) play crucial roles in various biological processes, including prostate cancer (PCa). However, the precise roles and mechanism of circRNAs are complicated. Hence, we studied the function of a circRNA that might be involved in the progression of PCa. In this study, we found that circARHGEF28 was frequently downregulated in PCa tissues and cell lines. Furthermore, gain- and loss-of function experiments in vitro showed that circARHGEF28 inhibited proliferation, migration, and invasion of PCa. Additionally, circARHGEF28 suppressed PCa progression in vivo. Bioinformatics analysis and RNA pull-down and capture assay found that circARHGEF28 sponged miR-671-5p in PCa cells. Importantly, qRT-PCR and dual luciferase assays found that Lectin galactoside-binding soluble 3 binding protein (LGALS3BP) was downstream of miR-671-5p, and western blot analysis further confirmed that LGALS3BP negatively regulated the nuclear factor kappa-B (NF-κB) pathway. These results demonstrated that circARHGEF28 abolished the degradation of LGALS3BP by sponging miR-671-5p, thus blocking the activation of the NF-κB pathway. Our findings revealed that circARHGEF28/miR-671-5p/LGALS3BP/NF-κB may be an important axis that regulates PCa progression.

摘要

环状 RNA(circRNAs)在包括前列腺癌(PCa)在内的各种生物过程中发挥着关键作用。然而,circRNAs 的确切作用和机制很复杂。因此,我们研究了一种可能参与 PCa 进展的 circRNA 的功能。在这项研究中,我们发现 circARHGEF28 在 PCa 组织和细胞系中经常下调。此外,体外的增益和缺失功能实验表明 circARHGEF28 抑制了 PCa 的增殖、迁移和侵袭。此外,circARHGEF28 在体内抑制了 PCa 的进展。生物信息学分析和 RNA 下拉和捕获实验发现,circARHGEF28 在 PCa 细胞中吸附了 miR-671-5p。重要的是,qRT-PCR 和双荧光素酶报告基因实验发现 Lectin galactoside-binding soluble 3 binding protein(LGALS3BP)是 miR-671-5p 的下游靶点,Western blot 分析进一步证实 LGALS3BP 负调控核因子 kappa-B(NF-κB)通路。这些结果表明 circARHGEF28 通过吸附 miR-671-5p 消除了 LGALS3BP 的降解,从而阻断了 NF-κB 通路的激活。我们的研究结果表明,circARHGEF28/miR-671-5p/LGALS3BP/NF-κB 可能是调节 PCa 进展的重要轴。

https://cdn.ncbi.nlm.nih.gov/pmc/blobs/140f/10323094/25683b690777/CAS-114-2907-g004.jpg

文献AI研究员

20分钟写一篇综述,助力文献阅读效率提升50倍。

立即体验

用中文搜PubMed

大模型驱动的PubMed中文搜索引擎

马上搜索

文档翻译

学术文献翻译模型,支持多种主流文档格式。

立即体验