Suppr超能文献

“热敏感型瞬时受体电位”(ThermoTRP)通道在癌症中的表达:对诊断和预后的影响(病理学家的实用方法)。

"ThermoTRP" Channel Expression in Cancers: Implications for Diagnosis and Prognosis (Practical Approach by a Pathologist).

机构信息

Department of Pathology and Experimental Cancer Research, Semmelweis University, 1085 Budapest, Hungary.

出版信息

Int J Mol Sci. 2023 May 22;24(10):9098. doi: 10.3390/ijms24109098.

Abstract

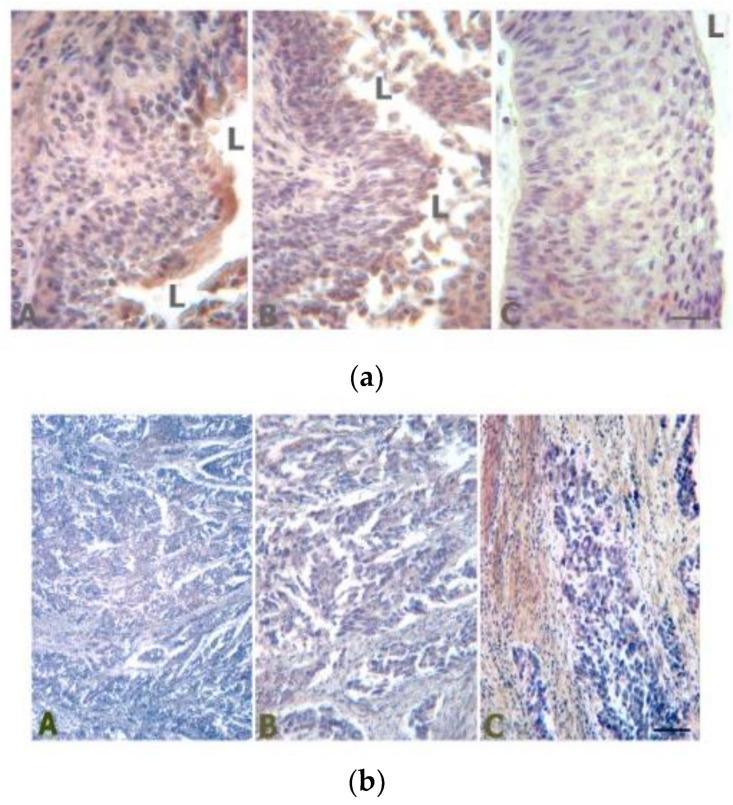
Temperature-sensitive transient receptor potential (TRP) channels (so-called "thermoTRPs") are multifunctional signaling molecules with important roles in cell growth and differentiation. Several "thermoTRP" channels show altered expression in cancers, though it is unclear if this is a cause or consequence of the disease. Regardless of the underlying pathology, this altered expression may potentially be used for cancer diagnosis and prognostication. "ThermoTRP" expression may distinguish between benign and malignant lesions. For example, TRPV1 is expressed in benign gastric mucosa, but is absent in gastric adenocarcinoma. TRPV1 is also expressed both in normal urothelia and non-invasive papillary urothelial carcinoma, but no TRPV1 expression has been seen in invasive urothelial carcinoma. "ThermoTRP" expression can also be used to predict clinical outcomes. For instance, in prostate cancer, TRPM8 expression predicts aggressive behavior with early metastatic disease. Furthermore, TRPV1 expression can dissect a subset of pulmonary adenocarcinoma patients with bad prognosis and resistance to a number of commonly used chemotherapeutic agents. This review will explore the current state of this rapidly evolving field with special emphasis on immunostains that can already be added to the armoire of diagnostic pathologists.

摘要

温度敏感瞬时受体电位 (TRP) 通道(所谓的“thermoTRPs”)是多功能信号分子,在细胞生长和分化中具有重要作用。几种“thermoTRP”通道在癌症中表现出改变的表达,尽管尚不清楚这是疾病的原因还是结果。无论潜在的病理学如何,这种改变的表达都可能被用于癌症的诊断和预后。“thermoTRP”的表达可以区分良性和恶性病变。例如,TRPV1 在良性胃黏膜中表达,但在胃腺癌中不存在。TRPV1 也在正常尿路上皮和非浸润性乳头状尿路上皮癌中表达,但在浸润性尿路上皮癌中未见 TRPV1 表达。“thermoTRP”的表达也可用于预测临床结果。例如,在前列腺癌中,TRPM8 的表达预示着具有早期转移性疾病的侵袭性行为。此外,TRPV1 的表达可以将一组具有不良预后和对许多常用化疗药物耐药的肺腺癌患者区分开来。本综述将探讨这一快速发展领域的现状,特别强调免疫组化,免疫组化已经可以添加到诊断病理学家的工具中。

https://cdn.ncbi.nlm.nih.gov/pmc/blobs/cd47/10219044/662afb0332f7/ijms-24-09098-g001.jpg

文献AI研究员

20分钟写一篇综述,助力文献阅读效率提升50倍。

立即体验

用中文搜PubMed

大模型驱动的PubMed中文搜索引擎

马上搜索

文档翻译

学术文献翻译模型,支持多种主流文档格式。

立即体验