Suppr超能文献

基于气管器官培养的 IBV S1 宿主蛋白相互作用的鉴定。

Identification of Host Proteins Interacting with IBV S1 Based on Tracheal Organ Culture.

机构信息

Key Laboratory of Animal Virology of Ministry of Agriculture, Zhejiang University, Hangzhou 310058, China.

出版信息

Viruses. 2023 May 22;15(5):1216. doi: 10.3390/v15051216.

Abstract

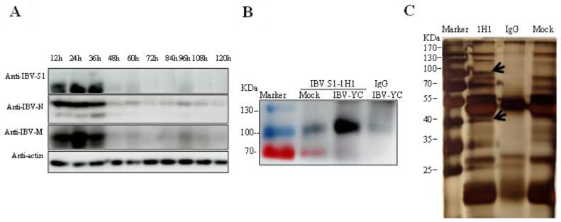
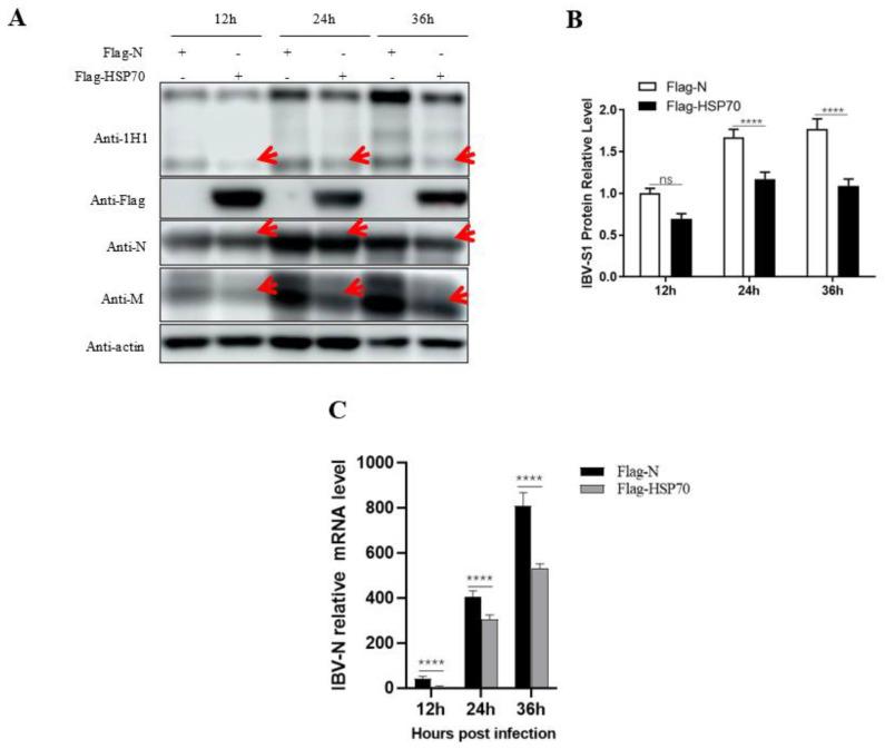
Infectious bronchitis virus (IBV) belongs to the gamma-coronavirus genus of Coronaviridae and causes serious infectious diseases in the poultry industry. However, only a few IBV strains can infect avian passage cell lines, seriously hindering the progress of basic research on IBV pathogenesis. Whereas IBV field strains can replicate in tracheal ring organ culture (TOC) without any previous adaptation in chicken embryos or primary cells. In this study, to investigate the potential use of TOC as an in vitro infection model for the study of IBV-host interaction, we first established a chicken embryo TOC culture system and carried out an investigation on the IBV replication kinetics in the system. We found that the selected strains of the IBV GI-1, GI-7, GI-13, GI-19, and GI-22 genotypes could successfully replicate in TOC and bring about damage to the infected trachea. Next, we identified host proteins of the chicken embryo trachea that interact with the IBV S1 protein by immunoprecipitation and protein mass spectrometry. A total of 127 candidate proteins were initially identified with major involvement in cell adhesion pathways and apoptosis- and autophagy-related pathways. The heat shock protein 70 (HSP70) was selected for further investigation in the interaction with IBV viral proteins. Our results showed that HSP70 interacted with IBV S1 in both TOC and CEK cells, whereas HSP70 overexpression inhibited viral replication. This study indicates that TOC is a good system for the elucidation of IBV-host interactions and HSP70 is a potential host antiviral factor.

摘要

传染性支气管炎病毒(IBV)属于冠状病毒科的γ冠状病毒属,可引起家禽业的严重传染病。然而,只有少数 IBV 株可感染禽传代细胞系,严重阻碍了 IBV 发病机制的基础研究进展。而 IBV 野毒株可在气管环器官培养(TOC)中复制,而无需在鸡胚或原代细胞中进行任何先前的适应。在这项研究中,为了研究 TOC 作为 IBV-宿主相互作用体外感染模型的潜在用途,我们首先建立了鸡胚 TOC 培养系统,并对系统中 IBV 的复制动力学进行了研究。我们发现,所选的 GI-1、GI-7、GI-13、GI-19 和 GI-22 基因型的 IBV 株能够在 TOC 中成功复制,并导致感染的气管受损。接下来,我们通过免疫沉淀和蛋白质质谱鉴定了与 IBV S1 蛋白相互作用的鸡胚气管宿主蛋白。共初步鉴定出 127 种候选蛋白,它们主要参与细胞黏附途径和凋亡及自噬相关途径。热休克蛋白 70(HSP70)被选为进一步研究与 IBV 病毒蛋白相互作用的对象。我们的结果表明,HSP70 在 TOC 和 CEK 细胞中均与 IBV S1 相互作用,而 HSP70 的过表达抑制了病毒复制。本研究表明,TOC 是阐明 IBV-宿主相互作用的良好系统,HSP70 是一种潜在的宿主抗病毒因子。

https://cdn.ncbi.nlm.nih.gov/pmc/blobs/3175/10221944/d7fb52955e66/viruses-15-01216-g001.jpg

文献AI研究员

20分钟写一篇综述,助力文献阅读效率提升50倍。

立即体验

用中文搜PubMed

大模型驱动的PubMed中文搜索引擎

马上搜索

文档翻译

学术文献翻译模型,支持多种主流文档格式。

立即体验