Suppr超能文献

基于脲基的Apcin类似物作为针对癌症的Cdc20特异性抑制剂的发现。

Discovery of Ureido-Based Apcin Analogues as Cdc20-specific Inhibitors against Cancer.

作者信息

He Yiqin, Le Xiangyang, Hu Gaoyun, Li Qianbin, Chen Zhuo

机构信息

Department of Medicinal Chemistry, Xiangya School of Pharmaceutical Sciences, Central South University, Changsha 410013, China.

Hunan Key Laboratory of Organ Fibrosis, Changsha 410013, China.

出版信息

Pharmaceuticals (Basel). 2023 Feb 15;16(2):304. doi: 10.3390/ph16020304.

Abstract

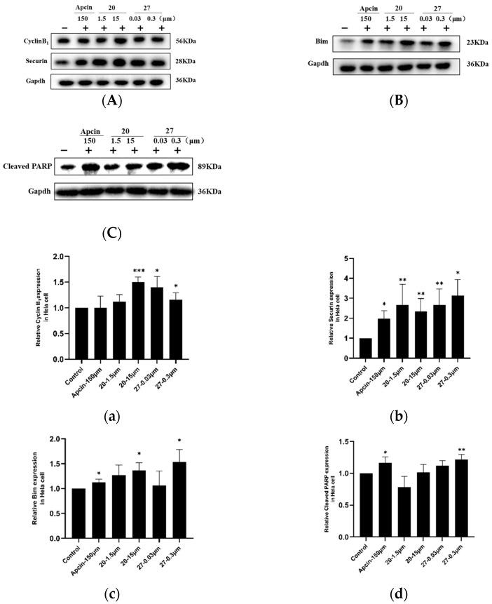
Cdc20 is a promising drug target that plays an important role in the mid-anaphase process of cellular mitosis, and Apcin is the only reported core structure of the Cdc20-specific inhibitor. Some potent Apcin derivatives were obtained in our previous research, and a structure-activity relationship was determined. In this study, we designed and synthesized a series of ureido-based Apcin derivatives. The proliferation-inhibition experiments on four cancer-cell lines showed that ureido skeleton could promote the anti-proliferation activity of purine-substituted compounds, whereas the ureido analogues with pyrimidine substitutes showed no significant improvement in the inhibitory effect compared with the original ones. Further tests confirmed that ureido-based compounds can enhance the binding affinity to Cdc20 by increasing the levels of Cdc20 downstream proteins. Compound revealed a remarkably antitumor activity pattern against Hela (IC = 0.06 ± 0.02 μM) and potent binding affinity to Cdc20. Moreover, compound induced caspase-dependent apoptosis and cell-cycle arrest at the G2/M phase, and compound induced caspase-dependent apoptosis and promoted microtubule polymerization. Finally, a molecular-docking simulation was performed for compounds and to predict the potential ligand-protein interactions with the active sites of the Cdc20 proteins.

摘要

Cdc20是一个很有前景的药物靶点,在细胞有丝分裂的中后期过程中发挥重要作用,而Apcin是唯一报道的Cdc20特异性抑制剂的核心结构。在我们之前的研究中获得了一些有效的Apcin衍生物,并确定了构效关系。在本研究中,我们设计并合成了一系列基于脲基的Apcin衍生物。对四种癌细胞系的增殖抑制实验表明,脲基骨架可促进嘌呤取代化合物的抗增殖活性,而嘧啶取代的脲基类似物与原始化合物相比,其抑制效果没有显著改善。进一步的测试证实,基于脲基的化合物可通过增加Cdc20下游蛋白的水平来增强与Cdc20的结合亲和力。化合物 对Hela显示出显著的抗肿瘤活性模式(IC = 0.06 ± 0.02 μM)以及与Cdc20的强结合亲和力。此外,化合物 诱导半胱天冬酶依赖性凋亡并使细胞周期停滞在G2/M期,化合物 诱导半胱天冬酶依赖性凋亡并促进微管聚合。最后,对化合物 和 进行了分子对接模拟,以预测与Cdc20蛋白活性位点的潜在配体-蛋白质相互作用。

https://cdn.ncbi.nlm.nih.gov/pmc/blobs/b2ef/9964651/2bddf531ddeb/pharmaceuticals-16-00304-sch001.jpg

文献AI研究员

20分钟写一篇综述,助力文献阅读效率提升50倍。

立即体验

用中文搜PubMed

大模型驱动的PubMed中文搜索引擎

马上搜索

文档翻译

学术文献翻译模型,支持多种主流文档格式。

立即体验