Suppr超能文献

伴有新型冠状病毒感染的暴发性艰难梭菌结肠炎

Fulminant Clostridioides difficile Colitis With SARS-CoV-2 Infection.

作者信息

Duhan Sanchit, Keisham Bijeta, Salim Ahlaa

机构信息

Internal Medicine, Sinai Hospital of Baltimore, Baltimore, USA.

出版信息

Cureus. 2023 May 1;15(5):e38401. doi: 10.7759/cureus.38401. eCollection 2023 May.

Abstract

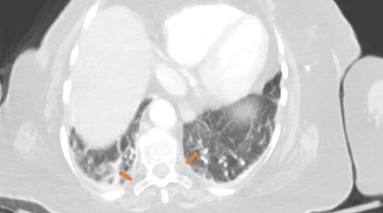
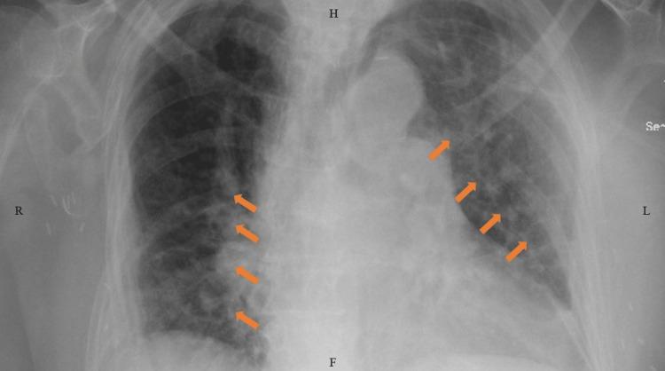
()and coronavirus disease 2019 (COVID-19) infections can have overlapping symptoms. Recently, the association and outcomes of coinfection have been studied. We present the case of an 83-year-old lady with Parkinson's disease (PD) who was admitted with pneumonia secondary to severe acute respiratory syndrome coronavirus-2 (SARS-CoV-2) infection. She was treated with empiric antibiotics ampicillin-sulbactam and azithromycin, along with antiviral therapy remdesivir and baricitinib, and dexamethasone. The patient developed severe infection with a leukemoid reaction. She was treated with intravenous metronidazole and oral vancomycin without any improvement. Before she could receive a fecal microbiota transplant, her infection progressed to fulminant colitis, and she required emergent surgery. The patient developed several complications post-surgery and succumbed to the severe illness. Our patient's multiple comorbidities and an underlying COVID-19 infection predisposed her to severe illness. This case emphasizes the long-standing discussion on antibiotic stewardship and encourages a debate on the role of immunosuppressant antiviral medications and underlying PD in predisposing patients to a severe infection.

摘要

()与2019冠状病毒病(COVID-19)感染可能有重叠症状。最近,已对合并感染的关联和结果进行了研究。我们报告一例83岁帕金森病(PD)女性患者,因严重急性呼吸综合征冠状病毒2(SARS-CoV-2)感染继发肺炎入院。她接受了经验性抗生素氨苄西林-舒巴坦和阿奇霉素治疗,同时接受了抗病毒治疗瑞德西韦和巴瑞替尼以及地塞米松治疗。患者发生了严重感染并伴有类白血病反应。她接受了静脉注射甲硝唑和口服万古霉素治疗,但无任何改善。在她能够接受粪便微生物群移植之前,感染进展为暴发性结肠炎,她需要紧急手术。患者术后出现了多种并发症,最终死于重症。我们患者的多种合并症和潜在的COVID-19感染使她易患重症。该病例强调了关于抗生素管理的长期讨论,并鼓励就免疫抑制性抗病毒药物和潜在的帕金森病在使患者易患严重感染方面的作用展开辩论。

https://cdn.ncbi.nlm.nih.gov/pmc/blobs/b464/10231867/3f11b6c0302a/cureus-0015-00000038401-i01.jpg

文献AI研究员

20分钟写一篇综述,助力文献阅读效率提升50倍。

立即体验

用中文搜PubMed

大模型驱动的PubMed中文搜索引擎

马上搜索

文档翻译

学术文献翻译模型,支持多种主流文档格式。

立即体验