Suppr超能文献

邻苯二甲酸二环己酯和邻苯二甲酸二己酯给药对氧化应激诱导的大鼠肝组织病理变化的影响与血清生化和血液学参数相关。

Effects of the dicyclohexyl phthalate and di--hexyl phthalate administration on the oxidative stress-induced histopathological changes in the rat liver tissue correlated with serum biochemistry and hematological parameters.

机构信息

School of Medicine, Department of Medical Biochemistry, Koc University, Istanbul, Türkiye.

Koç University Research Center for Translational Medicine (KUTTAM), Istanbul, Türkiye.

出版信息

Front Endocrinol (Lausanne). 2023 May 19;14:1128202. doi: 10.3389/fendo.2023.1128202. eCollection 2023.

Abstract

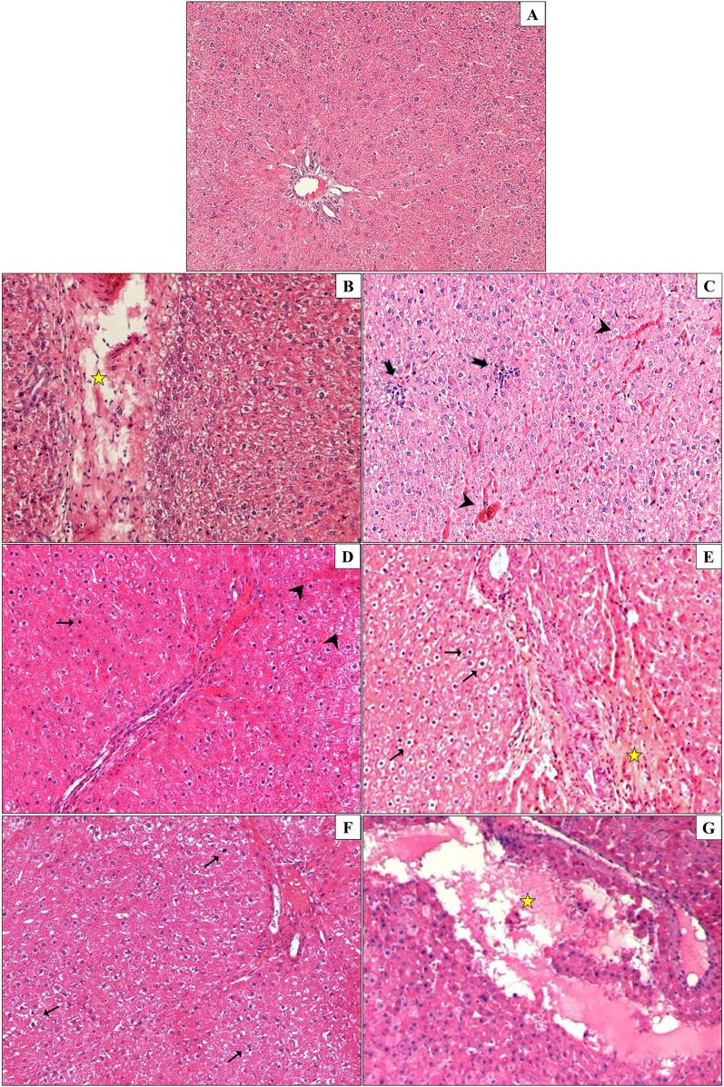
Phthalates are widely used as plasticizers in the industry and are found in cosmetics, food and drink packaging, drugs, toys, households, medical devices, pesticides, personal care products, and paints. Phthalates exert endocrine disrupting and peroxisome proliferator effects in humans and wildlife associated with the pathogenesis of various diseases, including diabetes, obesity, infertility, cardiovascular diseases, metabolic syndrome, and cancer. Since phthalates are metabolized in the liver, which regulates the body's energy metabolism, long or short-term exposure to the phthalates is associated with impaired glucose, lipid, and oxidative stress metabolisms contributing to liver toxicity. However, the impact of in-utero exposure to DHP and DCHP on liver metabolism has not been studied previously. Thus, in this study, we evaluated serum biochemistry parameters, hematological markers, histopathological changes, and oxidative and pentose phosphate pathway (PPP) metabolisms in the liver following in-utero DHP and DCHP administration, respectively, in male and female rats. We found increased relative and absolute liver weights and impaired triglyceride, alanine transaminase (ALT), lactate dehydrogenase (LDH), and alkaline phosphatase (ALP) levels upon dicyclohexyl phthalate (DCHP) and di--hexyl phthalate (DHP). Histopathological changes, including congestion, sinusoidal dilatation, inflammatory cell infiltration, cells with a pyknotic nucleus, lysis of hepatocytes, and degeneration of hepatic parenchyma have been observed in the liver samples of DHP and DCHP dose groups. Moreover, increased glutathione s-transferase (GST), glucose 6-phosphate dehydrogenase (G6PD), and glutathione reductase (GR) activities have been found in the liver samples of DHP and DCHP-treated rats associated with impaired pentose phosphate pathway (PPP) and oxidative stress metabolism. First time in the literature, we showed that in-utero exposure to DHP and DCHP causes liver damage associated with impaired oxidative stress metabolism in male and female rats. Our data may guide researchers and governments to regulate and restrict phthalates in industrial products.

摘要

邻苯二甲酸酯被广泛用作工业中的增塑剂,存在于化妆品、食品和饮料包装、药物、玩具、家庭用品、医疗器械、农药、个人护理产品和油漆中。邻苯二甲酸酯对人类和野生动物具有内分泌干扰和过氧化物酶体增殖作用,与各种疾病的发病机制有关,包括糖尿病、肥胖、不孕、心血管疾病、代谢综合征和癌症。由于邻苯二甲酸酯在肝脏中代谢,肝脏调节着身体的能量代谢,因此长期或短期暴露于邻苯二甲酸酯与葡萄糖、脂质和氧化应激代谢受损有关,导致肝毒性。然而,以前尚未研究过宫内暴露于邻苯二甲酸二己酯 (DHP) 和邻苯二甲酸二环己酯 (DCHP) 对肝脏代谢的影响。因此,在这项研究中,我们分别评估了雄性和雌性大鼠宫内给予邻苯二甲酸二己酯 (DHP) 和邻苯二甲酸二环己酯 (DCHP) 后血清生化参数、血液学标志物、组织病理学变化以及肝脏的氧化和戊糖磷酸途径 (PPP) 代谢。我们发现二环己基邻苯二甲酸酯 (DCHP) 和二--己基邻苯二甲酸酯 (DHP) 使相对和绝对肝重增加,甘油三酯、丙氨酸转氨酶 (ALT)、乳酸脱氢酶 (LDH) 和碱性磷酸酶 (ALP) 水平降低。在 DHP 和 DCHP 剂量组的肝组织样本中观察到充血、窦扩张、炎性细胞浸润、核固缩细胞、肝细胞溶解和肝实质变性等组织病理学变化。此外,在 DHP 和 DCHP 处理大鼠的肝组织样本中发现谷胱甘肽 S-转移酶 (GST)、葡萄糖 6-磷酸脱氢酶 (G6PD) 和谷胱甘肽还原酶 (GR) 活性增加,与戊糖磷酸途径 (PPP) 和氧化应激代谢受损有关。这是文献中首次表明,宫内暴露于 DHP 和 DCHP 会导致雄性和雌性大鼠的肝脏损伤,与氧化应激代谢受损有关。我们的数据可能为研究人员和政府提供指导,以规范和限制工业产品中的邻苯二甲酸酯。

https://cdn.ncbi.nlm.nih.gov/pmc/blobs/2432/10235726/9c0feade24e6/fendo-14-1128202-g001.jpg

文献AI研究员

20分钟写一篇综述,助力文献阅读效率提升50倍。

立即体验

用中文搜PubMed

大模型驱动的PubMed中文搜索引擎

马上搜索

文档翻译

学术文献翻译模型,支持多种主流文档格式。

立即体验