Suppr超能文献

腹膜癌:放射科医生需要了解的内容。

Peritoneal Carcinosis: What the Radiologist Needs to Know.

作者信息

Reginelli Alfonso, Giacobbe Giuliana, Del Canto Maria Teresa, Alessandrella Marina, Balestrucci Giovanni, Urraro Fabrizio, Russo Gaetano Maria, Gallo Luigi, Danti Ginevra, Frittoli Barbara, Stoppino Luca, Schettini Daria, Iafrate Franco, Cappabianca Salvatore, Laghi Andrea, Grassi Roberto, Brunese Luca, Barile Antonio, Miele Vittorio

机构信息

Department of Precision Medicine, University of Campania "L. Vanvitelli", 80138 Naples, Italy.

General and Emergency Radiology Department, "Antonio Cardarelli" Hospital, 80131 Naples, Italy.

出版信息

Diagnostics (Basel). 2023 Jun 5;13(11):1974. doi: 10.3390/diagnostics13111974.

Abstract

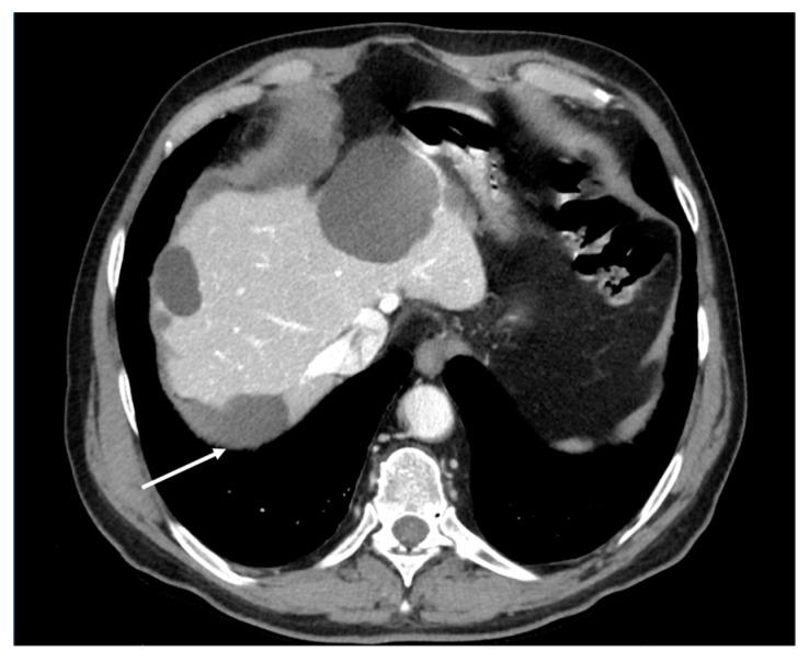
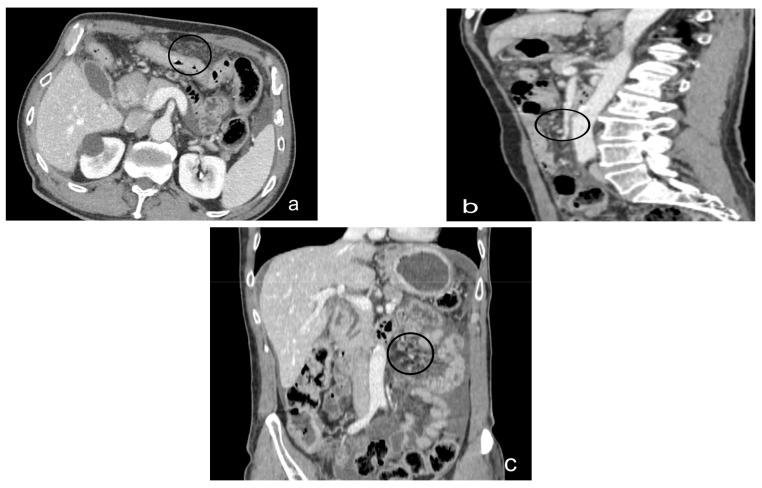
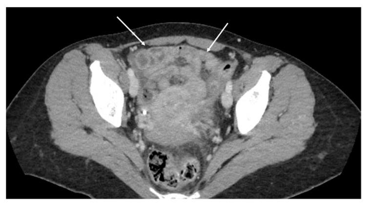
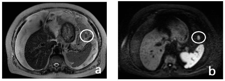
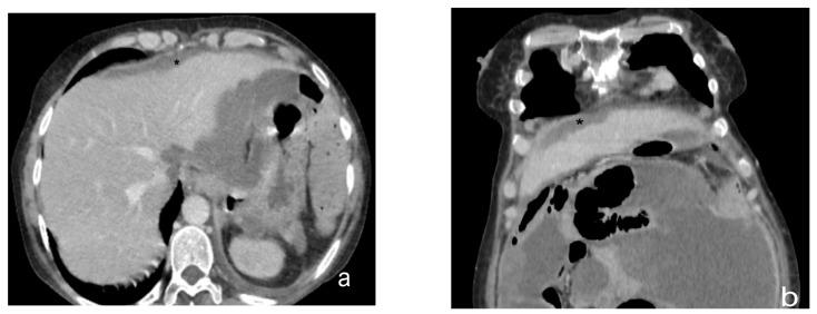
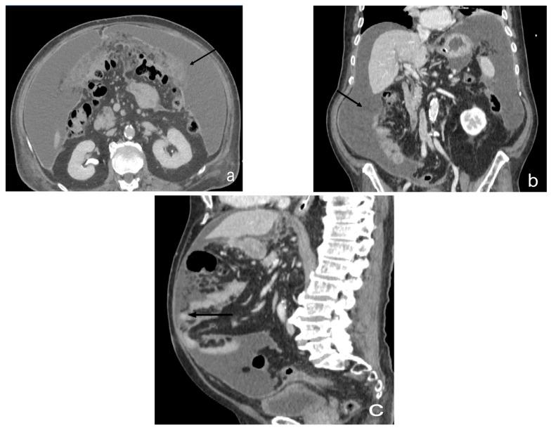
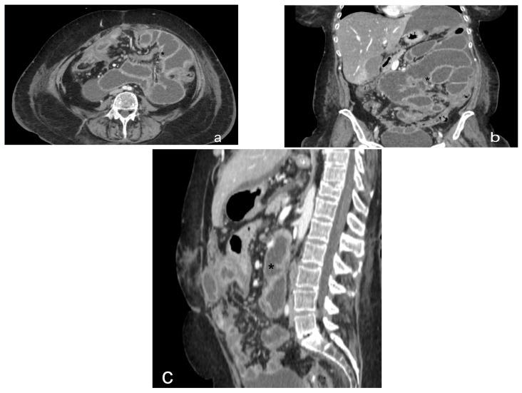
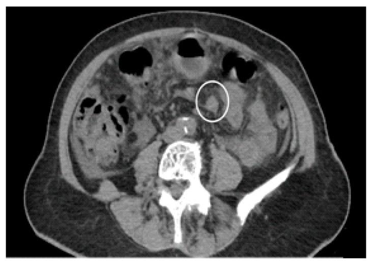
Peritoneal carcinosis is a condition characterized by the spread of cancer cells to the peritoneum, which is the thin membrane that lines the abdominal cavity. It is a serious condition that can result from many different types of cancer, including ovarian, colon, stomach, pancreatic, and appendix cancer. The diagnosis and quantification of lesions in peritoneal carcinosis are critical in the management of patients with the condition, and imaging plays a central role in this process. Radiologists play a vital role in the multidisciplinary management of patients with peritoneal carcinosis. They need to have a thorough understanding of the pathophysiology of the condition, the underlying neoplasms, and the typical imaging findings. In addition, they need to be aware of the differential diagnoses and the advantages and disadvantages of the various imaging methods available. Imaging plays a central role in the diagnosis and quantification of lesions, and radiologists play a critical role in this process. Ultrasound, computed tomography, magnetic resonance, and PET/CT scans are used to diagnose peritoneal carcinosis. Each imaging procedure has advantages and disadvantages, and particular imaging techniques are recommended based on patient conditions. Our aim is to provide knowledge to radiologists regarding appropriate techniques, imaging findings, differential diagnoses, and treatment options. With the advent of AI in oncology, the future of precision medicine appears promising, and the interconnection between structured reporting and AI is likely to improve diagnostic accuracy and treatment outcomes for patients with peritoneal carcinosis.

摘要

腹膜癌是一种以癌细胞扩散至腹膜为特征的病症,腹膜是衬于腹腔的一层薄膜。它是一种严重的病症,可由多种不同类型的癌症引发,包括卵巢癌、结肠癌、胃癌、胰腺癌和阑尾癌。腹膜癌中病变的诊断和定量对于该病症患者的管理至关重要,而影像学在这一过程中发挥着核心作用。放射科医生在腹膜癌患者的多学科管理中起着至关重要的作用。他们需要对该病症的病理生理学、潜在肿瘤以及典型的影像学表现有透彻的了解。此外,他们需要知晓鉴别诊断以及各种可用影像学方法的优缺点。影像学在病变的诊断和定量中起着核心作用,放射科医生在这一过程中起着关键作用。超声、计算机断层扫描、磁共振成像和正电子发射断层显像/计算机断层扫描(PET/CT)用于诊断腹膜癌。每种成像检查都有其优缺点,会根据患者情况推荐特定的成像技术。我们的目的是向放射科医生提供有关合适技术、影像学表现、鉴别诊断和治疗方案的知识。随着人工智能在肿瘤学中的出现,精准医学的未来似乎很有前景,结构化报告与人工智能之间的相互联系可能会提高腹膜癌患者的诊断准确性和治疗效果。

https://cdn.ncbi.nlm.nih.gov/pmc/blobs/22d2/10252296/8abe923e7520/diagnostics-13-01974-g001.jpg

文献AI研究员

20分钟写一篇综述,助力文献阅读效率提升50倍。

立即体验

用中文搜PubMed

大模型驱动的PubMed中文搜索引擎

马上搜索

文档翻译

学术文献翻译模型,支持多种主流文档格式。

立即体验