Suppr超能文献

LAG3 在胃癌中的作用:错综复杂。

LAG3 in gastric cancer: it's complicated.

机构信息

Department of Pathology, University Hospital Schleswig-Holstein, Campus Kiel, Arnold-Heller-Str. 3, Building U33, 24105, Kiel, Germany.

Department of Internal Medicine II, University Hospital Schleswig-Holstein, Campus Kiel, Arnold-Heller-Str. 3, 24105, Kiel, Germany.

出版信息

J Cancer Res Clin Oncol. 2023 Sep;149(12):10797-10811. doi: 10.1007/s00432-023-04954-1. Epub 2023 Jun 14.

Abstract

PURPOSE

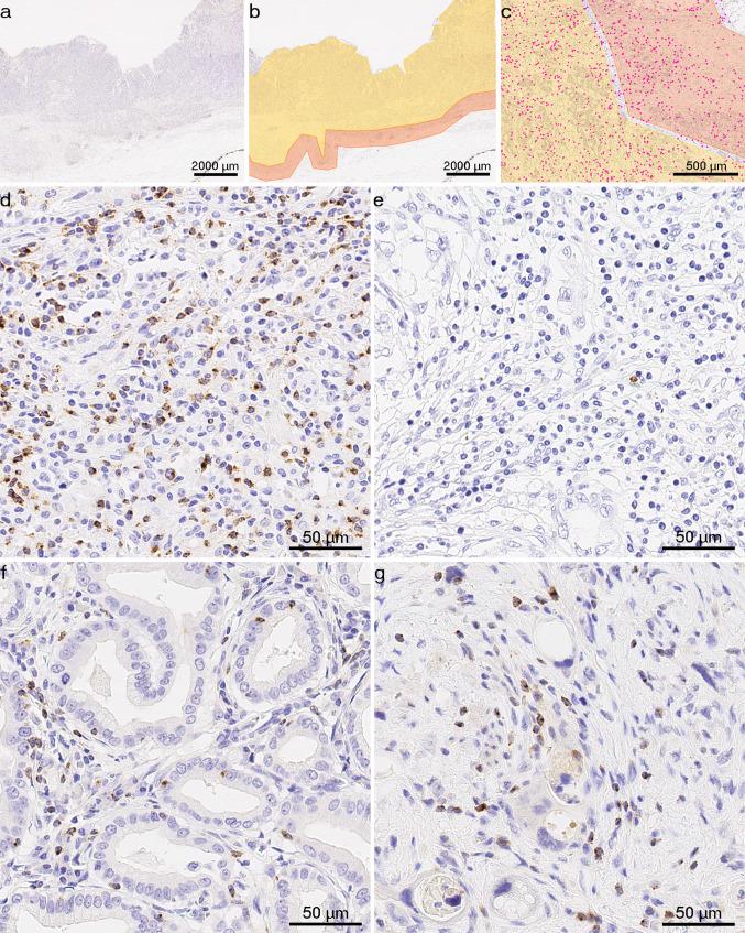
Lymphocyte activation gene 3 (LAG3) is thought to contribute to T cell exhaustion within the tumor microenvironment of solid tumors. This study aimed to analyze the spatial distribution of LAG3 + cells in relation to clinicopathological and survival data in a large set of 580 primary resected and neoadjuvantly treated gastric cancers (GC).

METHODS

LAG3 expression was evaluated in tumor center and invasive margin using immunohistochemistry and whole-slide digital image analysis. Cases were divided into LAG3-low and LAG3-high expression groups based on (1) median LAG3 + cell density, (2) cut-off values adapted to cancer-specific survival using Cutoff Finder application.

RESULTS

Significant differences in spatial distribution of LAG3 + cells were observed in primarily resected GC, but not in neoadjuvantly treated GC. LAG3 + cell density showed evident prognostic value at following cut-offs: in primarily resected GC, 21.45 cells/mm in tumor center (17.9 vs. 10.1 months, p = 0.008) and 208.50 cells/mm in invasive margin (33.8 vs. 14.7 months, p = 0.006); and in neoadjuvantly treated GC, 12.62 cells/mm (27.3 vs. 13.2 months, p = 0.003) and 123.00 cells/mm (28.0 vs. 22.4 months, p = 0.136), respectively. Significant associations were found between LAG3 + cell distribution patterns and various clinicopathological factors in both cohorts. In neoadjuvantly treated GC, LAG3 + immune cell density was found to be an independent prognostic factor of survival (HR = 0.312, 95% CI 0.162-0.599, p < 0.001).

CONCLUSION

In this study, a higher density of LAG3 + cells was associated with favorable prognosis. Current results support the need for extended analysis of LAG3. Differences in the distribution of LAG3 + cells should be considered, as they could influence clinical outcomes and treatment responses.

摘要

目的

淋巴细胞激活基因 3(LAG3)被认为有助于实体瘤肿瘤微环境中的 T 细胞耗竭。本研究旨在分析 580 例原发性切除和新辅助治疗胃癌(GC)中大量 LAG3+细胞的空间分布与临床病理和生存数据的关系。

方法

使用免疫组织化学和全切片数字图像分析评估肿瘤中心和浸润边缘的 LAG3 表达。根据(1)LAG3+细胞密度的中位数,(2)使用 Cutoff Finder 应用程序适应癌症特异性生存的截止值,将病例分为 LAG3 低表达和 LAG3 高表达组。

结果

在原发性切除的 GC 中观察到 LAG3+细胞的空间分布存在显著差异,但在新辅助治疗的 GC 中没有。LAG3+细胞密度在以下截止值下具有明显的预后价值:在原发性切除的 GC 中,肿瘤中心为 21.45 个细胞/mm(17.9 与 10.1 个月,p=0.008),浸润边缘为 208.50 个细胞/mm(33.8 与 14.7 个月,p=0.006);在新辅助治疗的 GC 中,分别为 12.62 个细胞/mm(27.3 与 13.2 个月,p=0.003)和 123.00 个细胞/mm(28.0 与 22.4 个月,p=0.136)。在两个队列中,均发现 LAG3+细胞分布模式与各种临床病理因素之间存在显著关联。在新辅助治疗的 GC 中,LAG3+免疫细胞密度被发现是生存的独立预后因素(HR=0.312,95%CI 0.162-0.599,p<0.001)。

结论

本研究中,较高密度的 LAG3+细胞与较好的预后相关。目前的结果支持对 LAG3 进行进一步分析的必要性。应考虑 LAG3+细胞分布的差异,因为它们可能影响临床结果和治疗反应。

https://cdn.ncbi.nlm.nih.gov/pmc/blobs/8a95/11797123/b4828eb17e34/432_2023_4954_Fig1_HTML.jpg

文献AI研究员

20分钟写一篇综述,助力文献阅读效率提升50倍。

立即体验

用中文搜PubMed

大模型驱动的PubMed中文搜索引擎

马上搜索

文档翻译

学术文献翻译模型,支持多种主流文档格式。

立即体验